

Acta Veterinaria et Zootechnica Sinica ›› 2025, Vol. 56 ›› Issue (9): 4176-4190.doi: 10.11843/j.issn.0366-6964.2025.09.005
• Review • Previous Articles Next Articles
					
													ZHANG Zixuan1(
), YU Wenjing1(
), WANG Zhonghua2, DONG Xusheng1,*(
), HOU Qiuling1,*(
)
												  
						
						
						
					
				
Received:2025-03-14
															
							
															
							
															
							
																	Online:2025-09-23
															
							
																	Published:2025-09-30
															
						Contact:
								DONG Xusheng, HOU Qiuling   
																	E-mail:2998007582@qq.com;yuwenjing0224@163.com;751265512@qq.com;houql@sdau.edu.cn
																					CLC Number:
ZHANG Zixuan, YU Wenjing, WANG Zhonghua, DONG Xusheng, HOU Qiuling. Advancements in Evaluation Techniques for Mammary Development and Its Application in Dairy Cattle[J]. Acta Veterinaria et Zootechnica Sinica, 2025, 56(9): 4176-4190.
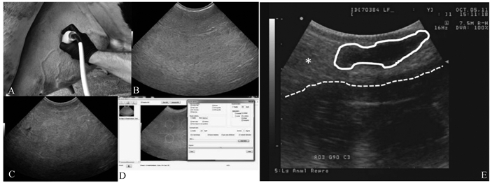
Fig. 4
Ultrasound detection images[75, 89] A. Ultrasound detection of mammary parenchyma; B. Ultrasound image of the right posterior mammary gland of a cow on day 75 of lactation; C. Ultrasound image of the right posterior mammary gland of a cow on day 7 of dry milking; D. Echotexture analysis of the mammary ultrasound image; E. Ultrasound image of mammary gland of calf at 8 weeks of age. White circle. Mammary parenchyma (hypoechoic); asterisks. Mammary fat pads (hyperechoic); dotted line. Marking of the body wall"
														Fig. 5
Mammary vein frequency Doppler examination of cows[75] A. Blood flow characteristics of the mammary veins of cows on day 14 of lactation; B. Blood flow characteristics of the mammary veins of cows on day 35 of dry milking; C. Distance, diameter, and cross-sectional area of the mammary veins from the surface of the skin; D. Mammary localization position of the Doppler imaging probe"
														Table 1
Studies related to the assessment of mammary gland development by imaging technology detection"
| 年份 Year  |  方法 Methodology  |  物种 Species  |  研究结果 Finding  |  参考文献 Reference  |  
| 1986 | CT | 奶牛 | 使用CT证明生长激素会促进初情期小母牛PAR的生长速度 | [ |  
| 1997 | CT | 奶牛 | 使用CT评估奶牛乳腺发育情况,发现生长激素和间歇生长模式对小母牛的乳腺发育没有相加性的影响 | [ |  
| 1999 | CT | 奶牛 | 使用CT评估4月龄前奶牛补充叶酸后的乳腺发育情况,发现叶酸补充剂仅能提高断奶后5周内犊牛的增重 | [ |  
| 2001 | CT | 山羊 | 使用CT评估山羊乳腺解剖结构,对山羊乳腺进行可视化分析 | [ |  
| 1990 | MRI | 山羊 | 使用MRI评估山羊PAR体积以及乳腺内液体成分, 发现山羊第二次泌乳期的产奶量明显高于第一次 | [ |  
| 2010 | MRI | 奶牛 | 使用MRI结合质谱评估奶牛泌乳早期和晚期的代谢组学,为缓解奶牛泌乳早期的应激反应提供新思路 | [ |  
| 2001 | B超 | 奶牛 | 使用B超评估奶牛挤奶后的乳腺状态,指出应生产中应谨慎增加挤奶次数 | [ |  
| 2004 | B超 | 奶牛 | 使用B超评估乳腺组织结构,发现初产奶牛的乳腺分泌组织百分比与产奶量高度相关 | [ |  
| 2011 | B超 | 奶牛 | 使用B超评估奶牛乳池及导管等乳腺相关发育情况,将乳腺内部结构可视化 | [ |  
| 2017 | B超 | 奶牛 | 使用B超评估初情期前不同生长速度的小母牛的乳腺实质成分 | [ |  
| 2019 | B超 | 绵羊 | 使用B超评估泌乳初期不同产奶量母羊的乳腺超声特征 | [ |  
| 2020 | B超 | 奶牛 | 使用B超检测干奶牛的乳池体积,对此阶段的乳腺情况进行了详细评估 | [ |  
| 2021 | B超 | 绵羊 | 证实B超可预测羔羊的生长速度,用于识别生长较快的非乳用羔羊 | [ |  
| 2022 | B超 | 奶牛 | 证明B超可预测奶牛的每日产奶量及生产阶段 | [ |  
| 2023 | B超 | 奶牛 | 使用B超检测放牧奶牛的乳腺发育情况,发现补充粗蛋白对其乳腺发育 无显著影响  |  [ |  
| 2023 | B超 | 奶牛 | 证明B超可有效地评估奶牛乳腺导管及MFP的发育情况,可用于预测奶牛未来的产奶量 | [ |  
| 2023 | B超 | 奶牛 | 使用B超可有效的辨别评估奶牛乳腺的不同发育阶段 | [ |  
| 2024 | B超 | 奶牛 | 开发出一种极性转换分析方式,进一步提高了B超技术识别PAR的准确性 | [ |  
| 2004 | 多普勒 | 奶牛 | 使用多普勒对不同生产阶段奶牛的乳腺血流速度进行了评估 | [ |  
| 2010 | 多普勒 | 奶牛 | 使用多普勒超声有效地检测出泌乳期前12周荷斯坦奶牛乳房血流的变化,证明其应用的可靠性 | [ |  
| 2012 | 多普勒 | 奶牛 | 使用多普勒检测干奶牛和泌乳牛的乳腺静脉血流速度,发现泌乳期奶牛乳腺静脉血流速度显著高于干奶牛 | [ |  
| 2012 | 多普勒 | 奶牛 | 使用多普勒对奶牛整个泌乳期的乳腺静脉直径血流速度、血流量进行了检测,表明催乳素在生产中可适当应用以增加奶牛产奶量 | [ |  
| 2013 | 多普勒 | 奶牛 | 使用多普勒评估奶牛产前9天至产后300天乳腺静脉肌膈静脉血流量,证明泌乳对乳腺静脉和肌膈静脉血流量有不同的影响 | [ |  
| 2017 | 多普勒 | 绵羊 | 使用多普勒对两种不同生长速度的羔羊血流动力学进行了评估,强调适当而精确的营养管理对羔羊乳腺发育的重要性 | [ |  
| 2024 | 多普勒 | 奶牛 | 使用多普勒评估了奶牛泌乳期的乳腺血流;证明妊娠晚期限制营养会降低产奶量和乳腺血流量 | [ |  
| 2004 | 三维超声 | 奶牛 | 使用三维超声观察到泌乳奶牛乳腺实质、导管及乳池情况 | [ |  
| 2011 | 三维超声 | 奶牛 | 使用三维超声观察到泌乳期2-4月龄奶牛2的乳池和乳腺导管的清晰图像 | [ |  
| 2009 | B超和多普勒 | 绵羊 | 分别使用B超和多普勒,评估妊娠期母羊乳腺实质及胚胎囊泡和 胎儿血管血流量,作为绵羊妊娠的诊断方法  |  [ |  
| 2023 | B超和多普勒 | 奶牛 | 分别使用B超和多普勒,评估泌乳晚期到下一个泌乳期早期的乳腺的实质和静脉血流量,发现静脉血流和乳房回声参数与产奶量和体细胞数显著相关 | [ |  
| 2023 | B超和多普勒 | 奶牛 | 乳腺静脉血流和乳腺回声纹理参数与每日产奶量和乳汁体细胞计数显著关联,证明乳腺超声检查可作为评估乳腺健康的实用工具 | [ |  
| 2018 | 多普勒和三维超声 | 山羊 | 分别使用多普勒和三维成像对乳腺实质中血管及血流方向、速度进行了可视化观察,可用于诊断山羊乳腺的生理和病理变化 | [ |  
| 1 | 王乃健, 于春凤, 管圣昌, 等. 我国奶牛高效养殖现状、存在问题与对策建议[J]. 中国乳业, 2025 (2): 61- 65. | 
| WANG N J , YU C F , GUAN S C , et al. Current status, challenges, and strategic recommendations for high-efficiency dairy farming in China[J]. China Dairy, 2025 (2): 61- 65. | |
| 2 | 刘长全. 中国奶业发展的现实困境、重大问题与对策思路[J]. 黑龙江社会科学, 2024 (4): 51- 61. | 
| LIU C Q . Prevailing constraints, critical challenges, and strategic pathways for China's dairy industry development[J]. Social Sciences in Heilongjiang, 2024 (4): 51- 61. | |
| 3 | 粘新. 中国奶业: 以破局思维探寻发展新路[N]. 中国食品报, 2024-07-09. | 
| NIAN X. China's Dairy Industry: Catalyzing Paradigm Shifts through Transformative Framework Innovation[N]. China Food Newspaper, 2024-07-09. (in Chinese) | |
| 4 | DE VRIES A , MARCONDES M I . Review: Overview of factors affecting productive lifespan of dairy cows[J]. Animal, 2020, 14 (S1): s155- s164. | 
| 5 |  
											  CAPUCO A V ,  CHOUDHARY R K .  Symposium review: Determinants of milk production: Understanding population dynamics in the bovine mammary epithelium[J]. J Dairy Sci, 2020, 103 (3): 2928- 2940. 
																							 doi: 10.3168/jds.2019-17241  | 
										
| 6 |  
											  CAPUCO A V ,  ELLIS S E .  Comparative aspects of mammary gland development and homeostasis[J]. Annu Rev Anim Biosci, 2013, 1, 179- 202. 
																							 doi: 10.1146/annurev-animal-031412-103632  | 
										
| 7 |  
											  JASWAL S ,  JENA M K ,  ANAND V , et al.  Critical review on physiological and molecular features during bovine mammary gland development: recent advances[J]. Cells, 2022, 11 (20): 3325. 
																							 doi: 10.3390/cells11203325  | 
										
| 8 | COWIN P , WYSOLMERSKI J . Molecular mechanisms guiding embryonic mammary gland development[J]. Cold Spring Harb Perspect Biol, 2010, 2 (6): a003251. | 
| 9 |  
											  MACIAS H ,  HINCK L .  Mammary gland development[J]. Wiley Interdiscip Rev Dev Biol, 2012, 1 (4): 533- 557. 
																							 doi: 10.1002/wdev.35  | 
										
| 10 |  
											  OFTEDAL O T ,  DHOUAILLY D .  Evo-devo of the mammary gland[J]. J Mammary Gland Biol Neoplasia, 2013, 18, 105- 120. 
																							 doi: 10.1007/s10911-013-9290-8  | 
										
| 11 |  
											  GEIGER A J ,  PARSONS C L M ,  AKERS R M .  Feeding a higher plane of nutrition and providing exogenous estrogen increases mammary gland development in Holstein heifer calves[J]. J Dairy Sci, 2016, 99 (9): 7642- 7653. 
																							 doi: 10.3168/jds.2016-11283  | 
										
| 12 |  
											  MEYER M J ,  CAPUCO A V ,  ROSS D A , et al.  Developmental and nutritional regulation of the prepubertal heifer mammary gland: Ⅰ. Parenchyma and fat pad mass and composition[J]. J Dairy Sci, 2006, 89 (11): 4289- 4297. 
																							 doi: 10.3168/jds.S0022-0302(06)72475-4  | 
										
| 13 |  
											  MEYER M J ,  CAPUCO A V ,  ROSS D A , et al.  Developmental and nutritional regulation of the prepubertal bovine mammary gland: Ⅱ. Epithelial cell proliferation, parenchymal accretion rate, and allometric growth[J]. J Dairy Sci, 2006, 89 (11): 4298- 4304. 
																							 doi: 10.3168/jds.S0022-0302(06)72476-6  | 
										
| 14 |  
											  WILLIAMS J M ,  DANIEL C W .  Mammary ductal elongation: differentiation of myoepithelium and basal lamina during branching morphogenesis[J]. Dev Biol, 1983, 97 (2): 274- 290. 
																							 doi: 10.1016/0012-1606(83)90086-6  | 
										
| 15 |  
											  RAUNER G ,  LEVIAV A ,  MAVOR E , et al.  Development of foreign mammary epithelial morphology in the stroma of immunodeficient mice[J]. PLoS One, 2013, 8 (6): e68637. 
																							 doi: 10.1371/journal.pone.0068637  | 
										
| 16 |  
											  INMAN J L ,  ROBERTSON C ,  MOTT J D , et al.  Mammary gland development: cell fate specification, stem cells and the microenvironment[J]. Development, 2015, 142 (6): 1028- 1042. 
																							 doi: 10.1242/dev.087643  | 
										
| 17 |  
											  DANIEL C W ,  ROBINSON S D .  Regulation of mammary growth and function by TGF-beta[J]. Mol Reprod Dev, 1992, 32 (2): 145- 151. 
																							 doi: 10.1002/mrd.1080320210  | 
										
| 18 | FATA J E , WERB Z , BISSELL M J . Regulation of mammary gland branching morphogenesis by the extracellular matrix and its remodeling enzymes[J]. Breast Cancer Res, 2004, 6 (1): 1- 11. | 
| 19 |  
											  WISEMAN B S ,  STERNLICHT M D ,  LUND L R , et al.  Site-specific inductive and inhibitory activities of MMP-2 and MMP-3 orchestrate mammary gland branching morphogenesis[J]. J Cell Biol, 2003, 162 (6): 1123- 1133. 
																							 doi: 10.1083/jcb.200302090  | 
										
| 20 |  
											  LOCHTER A ,  GALOSY S ,  MUSCHLER J , et al.  Matrix metalloproteinase stromelysin-1 triggers a cascade of molecular alterations that leads to stable epithelial-to-mesenchymal conversion and a pre-malignant phenotype in mammary epithelial cells[J]. J Cell Biol, 1997, 139 (7): 1861- 1872. 
																							 doi: 10.1083/jcb.139.7.1861  | 
										
| 21 |  
											  ANDERSON S M ,  RUDOLPH M C ,  MCMANAMAN J L , et al.  Key stages in mammary gland development. Secretory activation in the mammary gland: it's not just about milk protein synthesis![J]. Breast Cancer Res, 2007, 9 (1): 204. 
																							 doi: 10.1186/bcr1653  | 
										
| 22 |  
											  KARAYAZI ATıCı Ö ,  GOVINDRAJAN N ,  LOPETEGUI-GONZÁLEZ I , et al.  Prolactin: A hormone with diverse functions from mammary gland development to cancer metastasis[J]. Semin Cell Dev Biol, 2021, 114, 159- 170. 
																							 doi: 10.1016/j.semcdb.2020.10.005  | 
										
| 23 |  
											  CAPUCO A V ,  WOOD D L ,  BALDWIN R , et al.  Mammary cell number, proliferation, and apoptosis during a bovine lactation: relation to milk production and effect of bST[J]. J Dairy Sci, 2001, 84 (10): 2177- 2187. 
																							 doi: 10.3168/jds.S0022-0302(01)74664-4  | 
										
| 24 |  
											  HUGHES K .  Comparative mammary gland postnatal development and tumourigenesis in the sheep, cow, cat and rabbit: Exploring the menagerie[J]. Semin Cell Dev Biol, 2021, 114, 186- 195. 
																							 doi: 10.1016/j.semcdb.2020.09.010  | 
										
| 25 | CAPUCO A V , ELLIS S E , HALE S A , et al. Lactation persistency: insights from mammary cell proliferation studies[J]. J Anim Sci, 2003, 81 (Suppl 3): 18- 31. | 
| 26 |  
											  LEITNER G ,  MERIN U ,  LAVI Y , et al.  Aetiology of intramammary infection and its effect on milk composition in goat flocks[J]. J Dairy Res, 2007, 74 (2): 186- 193. 
																							 doi: 10.1017/S0022029906002299  | 
										
| 27 |  
											  HOLST B D ,  HURLEY W L ,  NELSON D R .  Involution of the bovine mammary gland: histological and ultrastructural changes[J]. J Dairy Sci, 1987, 70 (5): 935- 944. 
																							 doi: 10.3168/jds.S0022-0302(87)80097-8  | 
										
| 28 |  
											  LUND L R ,  R∅MER J ,  THOMASSET N , et al.  Two distinct phases of apoptosis in mammary gland involution: proteinase-independent and -dependent pathways[J]. Development, 1996, 122 (1): 181- 193. 
																							 doi: 10.1242/dev.122.1.181  | 
										
| 29 |  
											  SUTHERLAND K D ,  LINDEMAN G J ,  VISVADER J E .  The molecular culprits underlying precocious mammary gland involution[J]. J Mammary Gland Biol Neoplasia, 2007, 12 (1): 15- 23. 
																							 doi: 10.1007/s10911-007-9034-8  | 
										
| 30 |  
											  SOBERON F ,  VAN AMBURGH M E .  Effects of preweaning nutrient intake in the developing mammary parenchymal tissue[J]. J Dairy Sci, 2017, 100 (6): 4996- 5004. 
																							 doi: 10.3168/jds.2016-11826  | 
										
| 31 |  
											  LIMA J A ,  RUAS J R ,  VASCONCELOS A C , et al.  Effects of bovine mammary gland biopsy and increased milking frequency on post-procedure udder health, histology, and milk yield[J]. Animal, 2016, 10 (5): 838- 846. 
																							 doi: 10.1017/S1751731115002426  | 
										
| 32 |  
											  KNIGHT C ,  HILLERTON J ,  TEVERSON R , et al.  Biopsy of the bovine mammary gland[J]. Br Vet J, 1992, 148 (2): 129- 132. 
																							 doi: 10.1016/0007-1935(92)90104-9  | 
										
| 33 |  
											  KASRAEIAN S ,  ALLISON D C ,  AHLMANN E R , et al.  A comparison of fine-needle aspiration, core biopsy, and surgical biopsy in the diagnosis of extremity soft tissue masses[J]. Clin Orthop Relat Res, 2010, 468 (11): 2992- 3002. 
																							 doi: 10.1007/s11999-010-1401-x  | 
										
| 34 |  
											  DALEY V L ,  DYE C ,  BOGERS S H , et al.  Bovine mammary gland biopsy techniques[J]. J Vis Exp, 2018 (142) 
																							 doi: 10.3791/58602  | 
										
| 35 |  
											  FARR V C ,  STELWAGEN K ,  CATE L R , et al.  An improved method for the routine biopsy of bovine mammary tissue[J]. J Dairy Sci, 1996, 79 (4): 543- 549. 
																							 doi: 10.3168/jds.S0022-0302(96)76398-1  | 
										
| 36 |  
											  WENG X ,  MONTEIRO A ,  GUO J , et al.  Repeated mammary tissue collections during lactation do not alter subsequent milk yield or composition[J]. J Dairy Sci, 2017, 100 (10): 8422- 8425. 
																							 doi: 10.3168/jds.2017-12889  | 
										
| 37 |  
											  CAPUCO A V ,  SMITH J J ,  WALDO D R , et al.  Influence of prepubertal dietary regimen on mammary growth of Holstein heifers[J]. J Dairy Sci, 1995, 78 (12): 2709- 2725. 
																							 doi: 10.3168/jds.S0022-0302(95)76902-8  | 
										
| 38 |  
											  PETITCLERC D ,  DUMOULIN P ,  RINGUET H , et al.  Plane of nutrition and folic acid supplementation between birth and four months of age on mammary development of dairy heifers[J]. Can J Anim Sci, 1999, 79 (2): 227- 234. 
																							 doi: 10.4141/A97-091  | 
										
| 39 |  
											  SUD S ,  TUCKER H ,  MEITES J .  Estrogen-progesterone requirements for udder development in ovariectomized heifers[J]. J Dairy Sci, 1968, 51 (2): 210- 214. 
																							 doi: 10.3168/jds.S0022-0302(68)86954-1  | 
										
| 40 |  
											  BROWN E G ,  VANDEHAAR M J ,  DANIELS K M , et al.  Effect of increasing energy and protein intake on mammary development in heifer calves[J]. J Dairy Sci, 2005, 88 (2): 595- 603. 
																							 doi: 10.3168/jds.S0022-0302(05)72723-5  | 
										
| 41 |  
											  AKERS R M .  A 100-Year Review: Mammary development and lactation[J]. J Dairy Sci, 2017, 100 (12): 10332- 10352. 
																							 doi: 10.3168/jds.2017-12983  | 
										
| 42 |  
											  TUCKER H A .  Quantitative estimates of mammary growth during various physiological states: a review[J]. J Dairy Sci, 1987, 70 (9): 1958- 1966. 
																							 doi: 10.3168/jds.S0022-0302(87)80238-2  | 
										
| 43 |  
											  CAPUCO A V ,  AKERS R M ,  SMITH J J .  Mammary growth in Holstein cows during the dry period: quantification of nucleic acids and histology[J]. J Dairy Sci, 1997, 80 (3): 477- 487. 
																							 doi: 10.3168/jds.S0022-0302(97)75960-5  | 
										
| 44 | VANG A L , DOREA J R R , HERNANDEZ L L . Graduate student literature review: Mammary gland development in dairy cattle-Quantifying growth and development[J]. J Dairy Sci, 2004, 107 (12): 11611- 11620. | 
| 45 |  
											  VAILATI-RIBONI M ,  BUCKTROUT R E ,  ZHAN S , et al.  Higher plane of nutrition pre-weaning enhances Holstein calf mammary gland development through alterations in the parenchyma and fat pad transcriptome[J]. BMC Genomics, 2018, 19 (1): 900. 
																							 doi: 10.1186/s12864-018-5303-8  | 
										
| 46 |  
											  CONNOR E ,  WOOD D ,  SONSTEGARD T , et al.  Chromosomal mapping and quantitative analysis of estrogen-related receptor alpha-1, estrogen receptors alpha and beta and progesterone receptor in the bovine mammary gland[J]. J Endocrinol, 2005, 185 (3): 593- 603. 
																							 doi: 10.1677/joe.1.06139  | 
										
| 47 |  
											  MURNEY R ,  STELWAGEN K ,  WHEELER T T , et al.  Activation of signal transducer and activator of transcription 5 (STAT5) is linked to β1-integrin protein abundance in unilaterally milked bovine mammary glands[J]. J Dairy Sci, 2015, 98 (5): 3133- 3142. 
																							 doi: 10.3168/jds.2014-9003  | 
										
| 48 |  
											  MURNEY R ,  STELWAGEN K ,  WHEELER T T , et al.  The effects of milking frequency on insulin-like growth factor I signaling within the mammary gland of dairy cows[J]. J Dairy Sci, 2015, 98 (8): 5422- 5428. 
																							 doi: 10.3168/jds.2015-9425  | 
										
| 49 |  
											  BERRY S D ,  JOBST P M ,  ELLIS S E , et al.  Mammary epithelial proliferation and estrogen receptor alpha expression in prepubertal heifers: effects of ovariectomy and growth hormone[J]. J Dairy Sci, 2003, 86 (6): 2098- 2105. 
																							 doi: 10.3168/jds.S0022-0302(03)73799-0  | 
										
| 50 |  
											  DAI W ,  WANG Q ,  ZOU Y , et al.  Comparative proteomic analysis of the lactating and nonlactating bovine mammary gland[J]. J Dairy Sci, 2017, 100 (7): 5928- 5935. 
																							 doi: 10.3168/jds.2016-12366  | 
										
| 51 |  
											  OSIŃSKA E ,  WICIK Z ,  GODLEWSKI M M , et al.  Comparison of stem/progenitor cell number and transcriptomic profile in the mammary tissue of dairy and beef breed heifers[J]. J Appl Genet, 2014, 55 (3): 383- 395. 
																							 doi: 10.1007/s13353-014-0213-1  | 
										
| 52 | HOLLAND M S , HOLLAND R E . The cellular perspective on mammary gland development: stem/progenitor cells and beyond[J]. J Dairy Sci, 2005, 88 (Suppl 1): E1- 8. | 
| 53 |  
											  CRAVERO D ,  MARTIGNANI E ,  MIRETTI S , et al.  Bovine CD49 positive-cell subpopulation remarkably increases in mammary epithelial cells that retain a stem-like phenotype[J]. Res Vet Sci, 2015, 102, 1- 6. 
																							 doi: 10.1016/j.rvsc.2015.07.003  | 
										
| 54 |  
											  CAPUCO A V .  Identification of putative bovine mammary epithelial stem cells by their retention of labeled DNA strands[J]. Exp Biol Med (Maywood), 2007, 232 (10): 1381- 1390. 
																							 doi: 10.3181/0703-RM-58  | 
										
| 55 |  
											  MOTYL T ,  BIERŁA J B ,  KOZŁOWSKI M , et al.  Identification, quantification and transcriptional profile of potential stem cells in bovine mammary gland[J]. Livest Sci, 2011, 136 (2-3): 136- 149. 
																							 doi: 10.1016/j.livsci.2010.08.011  | 
										
| 56 |  
											  ESSELBURN K M ,  HILL T M ,  BATEMAN H G , et al.  Examination of weekly mammary parenchymal area by ultrasound, mammary mass, and composition in Holstein heifers reared on 1 of 3 diets from birth to 2 months of age[J]. J Dairy Sci, 2015, 98 (8): 5280- 5293. 
																							 doi: 10.3168/jds.2014-9061  | 
										
| 57 |  
											  CAPUCO A V ,  CHOUDHARY R K ,  DANIELS K M , et al.  Bovine mammary stem cells: cell biology meets production agriculture[J]. Animal, 2012, 6 (3): 382- 393. 
																							 doi: 10.1017/S1751731111002369  | 
										
| 58 |  
											  MORAN C ,  QUIRKE J F ,  PRENDIVILLE D J , et al.  The effect of estradiol, trenbolone acetate, or zeranol on growth rate, mammary development, carcass traits, and plasma estradiol concentrations of beef heifers[J]. J Anim Sci, 1991, 69 (11): 4249- 4258. 
																							 doi: 10.2527/1991.69114249x  | 
										
| 59 |  
											  LAMMERS B P ,  HEINRICHS A J ,  KENSINGER R S .  The effects of accelerated growth rates and estrogen implants in prepubertal Holstein heifers on estimates of mammary development and subsequent reproduction and milk production[J]. J Dairy Sci, 1999, 82 (8): 1753- 1764. 
																							 doi: 10.3168/jds.S0022-0302(99)75406-8  | 
										
| 60 |  
											  FERNANDEZ G ,  ALVAREZ P ,  SAN PRIMITIVO F , et al.  Factors affecting variation of udder traits of dairy ewes[J]. J Dairy Sci, 1995, 78 (4): 842- 849. 
																							 doi: 10.3168/jds.S0022-0302(95)76696-6  | 
										
| 61 | CEDDEN F , KAYA S , DASKIRAN I . Somatic cell, udder and milk yield in goat[J]. Revue de Medecine Veterinaire, 2008, 159 (4): 237- 242. | 
| 62 |  
											  UPADHYAY D ,  PATEL B ,  KERKETTA S , et al.  Study on udder morphology and its relationship with production parameters in local goats of Rohilkhand region of India[J]. Indian J Anim Res, 2014, 48 (6): 615- 619. 
																							 doi: 10.5958/0976-0555.2014.00042.9  | 
										
| 63 |  
											  WHITLOCK B K ,  VANDEHAAR M J ,  SILVA L F , et al.  Effect of dietary protein on prepubertal mammary development in rapidly growing dairy heifers[J]. J Dairy Sci, 2002, 85 (6): 1516- 1525. 
																							 doi: 10.3168/jds.S0022-0302(02)74221-5  | 
										
| 64 | RAMOS J S , GOMES V , MATAZO M P , et al. Effect of the type of milking on mammary gland examination in Saanen goats[J]. Arquivos do Instituto Biológico, 2020, 87, e0802018. | 
| 65 | DONOHO H R. The association of immature bovine udder evaluations and subsequent milk and butterfat production[D]. Columbus: The Ohio State University, 1955. | 
| 66 |  
											  SWETT W W ,  BOOK J H ,  MATTHEWS C A , et al.  Evaluation of mammary-gland development in Holstein and Jersey calves as a measure of potential producing capacity[M]. US Department of Agriculture, 1955.
																							 doi: 10.22004/ag.econ.156866  | 
										
| 67 |  
											  CW S .  The cells of human colostrum. I. In vitro studies of morphology and functions[J]. Pediatr Res, 1968, 2, 103- 109. 
																							 doi: 10.1203/00006450-196803000-00005  | 
										
| 68 | CRAGO S , PRINCE S , PRETLOW T , et al. Human colostral cells. I. Separation and characterization[J]. Clin Exp Immunol, 1979, 38 (3): 585- 597. | 
| 69 |  
											  THOMAS E ,  ZEPS N ,  CREGAN M , et al.  14-3-3σ (sigma) regulates proliferation and differentiation of multipotent p63-positive cells isolated from human breastmilk[J]. Cell Cycle, 2011, 10 (2): 278- 284. 
																							 doi: 10.4161/cc.10.2.14470  | 
										
| 70 |  
											  MARTIGNANI E ,  CRAVERO D ,  MIRETTI S , et al.  Bovine mammary stem cells: new perspective for dairy science[J]. Vet Q, 2014, 34 (1): 52- 58. 
																							 doi: 10.1080/01652176.2014.894262  | 
										
| 71 |  
											  CREGAN M D ,  FAN Y ,  APPELBEE A , et al.  Identification of nestin-positive putative mammary stem cells in human breastmilk[J]. Cell Tissue Res, 2007, 329, 129- 136. 
																							 doi: 10.1007/s00441-007-0390-x  | 
										
| 72 | BARBAGIANNI M S , GOULETSOU P G . Modern imaging techniques in the study and disease diagnosis of the mammary glands of animals[J]. Vet Sci, 2023, 10 (2): 83. | 
| 73 | ALSTRUP A K O , WINTERDAHL M . Imaging techniques in large animals[J]. ScandJ Lab Anim Sci, 2009, 36 (1): 55- 66. | 
| 74 |  
											  SøRENSEN M T ,  SEJRSEN K ,  FOLDAGER J .  Estimation of pubertal mammary development in heifers by computed tomography[J]. J Dairy Sci, 1987, 70 (2): 265- 270. 
																							 doi: 10.3168/jds.S0022-0302(87)80006-1  | 
										
| 75 | THEMISTOKLEOUS K S , PAPADOPOULOS I , PANOUSIS N , et al. Udder ultrasonography of dairy cows: investigating the relationship between echo-texture, blood flow, omatic cell count and milk yield during dry period and lactation[J]. Animals (Basel), 2023, 13 (11): 1779. | 
| 76 |  
											  FRANZ S ,  HOFMANN-PARISOT M M ,  BAUMGARTNER W .  Evaluation of three-dimensional ultrasonography of the bovine mammary gland[J]. Am J Vet Res, 2004, 65 (8): 1159- 1163. 
																							 doi: 10.2460/ajvr.2004.65.1159  | 
										
| 77 | PROKOP M , WAAIJER A , KREUZER S . CT angiography ofthe carotid arteries[J]. JBR-BTR, 2004, 87 (1): 23- 29. | 
| 78 |  
											  CARSTENS G ,  GLASER D ,  BYERS F , et al.  Effects of bovine somatotropin treatment and intermittent growth pattern on mammary gland development in heifers[J]. J Anim Sci, 1997, 75 (9): 2378- 2388. 
																							 doi: 10.2527/1997.7592378x  | 
										
| 79 |  
											  FOWLER P A ,  KNIGHT C H ,  CAMERON G G , et al.  Use of magnetic resonance imaging in the study of goat mammary glands in vivo[J]. J Reprod Fertil, 1990, 89 (1): 359- 366. 
																							 doi: 10.1530/jrf.0.0890359  | 
										
| 80 |  
											  MÜLLER-SCHIMPFLE M ,  STOLL P ,  STERN W , et al.  Do mammography, sonography, and MR mammography have a diagnostic benefit compared with mammography and sonography?[J]. AJR Am J Roentgenol, 1997, 168 (5): 1323- 1329. 
																							 doi: 10.2214/ajr.168.5.9129436  | 
										
| 81 |  
											  FRIEDRICH M .  MRI of the breast: state of the art[J]. Eur Radiol, 1998, 8 (5): 707- 725. 
																							 doi: 10.1007/s003300050463  | 
										
| 82 |  
											  KLEIN M S ,  ALMSTETTER M F ,  SCHLAMBERGER G , et al.  Nuclear magnetic resonance and mass spectrometry-based milk metabolomics in dairy cows during early and late lactation[J]. J Dairy Sci, 2010, 93 (4): 1539- 1550. 
																							 doi: 10.3168/jds.2009-2563  | 
										
| 83 | MESGARAN S D, POMIES D, RÖTTGEN V, et al. Milk intake, body anatomy and composition in calves[M]. Methods in Cattle Physiology and Behavior Research-Recommendations from the Smartcow Consortium, 2020. PUBLISSO. DOI: 10.5680/mcpb009. | 
| 84 |  
											  CARUOLO E ,  MOCHRIE R .  Ultrasonograms of lactating mammary glands[J]. J Dairy Sci, 1967, 50 (2): 225- 230. 
																							 doi: 10.3168/jds.S0022-0302(67)87392-2  | 
										
| 85 |  
											  CARTEE R E ,  IBRAHIM A K ,  MCLEARY D .  B-mode ultrasonography of the bovine udder and teat[J]. J Am Vet Med Assoc, 1986, 188 (11): 1284- 1287. 
																							 doi: 10.2460/javma.1986.188.11.1284  | 
										
| 86 |  
											  VANG A L ,  BRESOLIN T ,  FRIZZARINI W S , et al.  Longitudinal analysis of bovine mammary gland development[J]. J Mammary Gland Biol Neoplasia, 2023, 28 (1): 11. 
																							 doi: 10.1007/s10911-023-09534-0  | 
										
| 87 |  
											  ALBINO R L ,  GUIMARãES S E F ,  DANIELS K M , et al.  Technical note: Mammary gland ultrasonography to evaluate mammary parenchymal composition in prepubertal heifers[J]. J Dairy Sci, 2017, 100 (2): 1588- 1591. 
																							 doi: 10.3168/jds.2016-11668  | 
										
| 88 |  
											  NISHIMURA M ,  YOSHIDA T ,  EL-KHODERY S , et al.  Ultrasound imaging of mammary glands in dairy heifers at different stages of growth[J]. J Vet Med Sci, 2011, 73 (1): 19- 24. 
																							 doi: 10.1292/jvms.09-0503  | 
										
| 89 |  
											  FELICIANO M A R ,  USCATEGUI R A R ,  MARONEZI M C , et al.  Ultrasonography methods for predicting malignancy in canine mammary tumors[J]. PLoS One, 2017, 12 (5): e0178143. 
																							 doi: 10.1371/journal.pone.0178143  | 
										
| 90 |  
											  HAMPER U M ,  DEJONG M R ,  CASKEY C I , et al.  Power Doppler imaging: clinical experience and correlation with color Doppler US and other imaging modalities[J]. Radiographics, 1997, 17 (2): 499- 513. 
																							 doi: 10.1148/radiographics.17.2.9084086  | 
										
| 91 |  
											  BRANT W E ,  HELMS C A .  Fundamentals of diagnostic radiology[J]. JAMA, 1994, 272 (4): 319- 320. 
																							 doi: 10.1001/jama.1994.03520040081049  | 
										
| 92 |  
											  GINTHER O J .  Ultrasonic imaging and animal reproduction[M]. (No Title), 1995. 
																							 doi: 10.1111/j.2042-3292.1995.tb01250.x  | 
										
| 93 |  
											  BARBAGIANNI M S ,  GOULETSOU P G ,  VALASI I , et al.  Ultrasonographic findings in the ovine udder during lactogenesis in healthy ewes or ewes with pregnancy toxaemia[J]. J Dairy Res, 2015, 82 (3): 293- 303. 
																							 doi: 10.1017/S0022029915000382  | 
										
| 94 |  
											  PICCIONE G ,  ARCIGLI A ,  ASSENZA A , et al.  Pulsed wave-Doppler ultrasonographic evaluation of the mammary blood flow in the ewe[J]. Acta Veterinaria Brno, 2004, 73 (1): 23- 27. 
																							 doi: 10.2754/avb200473010023  | 
										
| 95 | CADAR M , MIREŞAN V , LUJERDEAN A , et al. Mammary gland histological structure in relation with milk production in sheep[J]. Sci Papers Anim Sci Biotechnol, 2012, 45 (2): 146. | 
| 96 |  
											  BRAUN U ,  FORSTER E .  B-mode and colour Doppler sonographic examination of the milk vein and musculophrenic vein in dry cows and cows with a milk yield of 10 and 20 kg[J]. Acta Vet Scand, 2012, 54 (1): 1- 5. 
																							 doi: 10.1186/1751-0147-54-1  | 
										
| 97 |  
											  FASULKOV I ,  KARADAEV M ,  VASILEV N , et al.  Three-dimensional ultrasonography of the mammary gland in lactating cows[J]. Am J Vet Res, 2004, 65 (8): 1159- 1163. 
																							 doi: 10.2460/ajvr.2004.65.1159  | 
										
| 98 |  
											  SEJRSEN K ,  FOLDAGER J ,  SORENSEN M T , et al.  Effect of exogenous bovine somatotropin on pubertal mammary development in heifers[J]. J Dairy Sci, 1986, 69 (6): 1528- 1535. 
																							 doi: 10.3168/jds.S0022-0302(86)80569-0  | 
										
| 99 |  
											  GONZÁLEZ-ROMANO N ,  ARENCIBIA A ,  DE LOS MONTEROS A E , et al.  Anatomical evaluation of the caprine mammary gland by computed tomography, radiology and histology[J]. Anat Histol, Embryol, 2000, 29 (1): 25- 30. 
																							 doi: 10.1046/j.1439-0264.2000.00230.x  | 
										
| 100 |  
											  FOWLER P ,  KNIGHT C ,  CAMERON G , et al.  In-vivo studies of mammary development in the goat using magnetic resonance imaging (MRI)[J]. Reproduction, 1990, 89 (1): 367- 375. 
																							 doi: 10.1530/jrf.0.0890367  | 
										
| 101 |  
											  NEIJENHUIS F ,  KLUNGEL G ,  HOGEVEEN H .  Recovery of cow teats after milking as determined by ultrasonographic scanning[J]. J Dairy Sci, 2001, 84 (12): 2599- 2606. 
																							 doi: 10.3168/jds.S0022-0302(01)74714-5  | 
										
| 102 | STRZETELSKI J , BILIK K , NIWIŃSKA B , et al. Ultrasound evaluation of the mammary gland tissue structure in preparturient heifers[J]. J Anim Feed Sci, 2004, 13 (Suppl 2): 7- 10. | 
| 103 |  
											  NISHIMURA M ,  YOSHIDA T ,  EL-KHODERY S , et al.  Ultrasound imaging of mammary glands in dairy heifers at different stages of growth[J]. J Vet Medl Sci, 2011, 73 (1): 19- 24. 
																							 doi: 10.1292/jvms.09-0503  | 
										
| 104 |  
											  ALBINO R ,  GUIMARãES S ,  DANIELS K , et al.  Mammary gland ultrasonography to evaluate mammary parenchymal composition in prepubertal heifers[J]. J Dairy Sci, 2017, 100 (2): 1588- 1591. 
																							 doi: 10.3168/jds.2016-11668  | 
										
| 105 |  
											  MURAWSKI M ,  SCHWARZ T ,  JAMIESON M , et al.  Echotextural characteristics of the mammary gland during early lactation in two breeds of sheep varying in milk yields[J]. Anim Reprod, 2019, 16, 853- 858. 
																							 doi: 10.21451/1984-3143-AR2019-0025  | 
										
| 106 | BONELLI F, ORSETTI C, TURINI L, et al. Mammary cistern size during the dry period in healthy dairy cows: A preliminary study for an ultrasonographic valuation. Animals. 10: 2082[Z]. 2020. | 
| 107 |  
											  HASLIN E ,  CORNER-THOMAS R A ,  KENYON P R , et al.  Associations among mammary ultrasound measurements, milk yield of non-dairy ewe lambs and the growth of their single lambs[J]. Animals, 2021, 11 (7): 2052. 
																							 doi: 10.3390/ani11072052  | 
										
| 108 |  
											  THEMISTOKLEOUS K S ,  SAKELLARIOU N ,  KIOSSIS E .  A deep learning algorithm predicts milk yield and production stage of dairy cows utilizing ultrasound echotexture analysis of the mammary gland[J]. Comp Electron Agr, 2022, 198, 106992. 
																							 doi: 10.1016/j.compag.2022.106992  | 
										
| 109 |  
											  CASTRO M ,  DEVRIES T ,  MACHADO A , et al.  Expression of enzymes involved in the urea cycle and muscle and mammary gland development of Holstein×Gyr heifers in a rotational grazing system supplemented with increasing protein levels[J]. J Dairy Sci, 2023, 106 (10): 6951- 6960. 
																							 doi: 10.3168/jds.2022-22969  | 
										
| 110 |  
											  VANG A L ,  BRESOLIN T ,  FRIZZARINI W S , et al.  Longitudinal analysis of bovine mammary gland development[J]. J Mammary Gland Biol Neoplasia, 2023, 28 (1): 11. 
																							 doi: 10.1007/s10911-023-09534-0  | 
										
| 111 |  
											  SEIBT K D ,  SCHEU T ,  KOCH C , et al.  Ultrasound characterization of mammary gland development in heifer calves fed at two different levels until weaning[J]. Anat, Histol, Embryol, 2023, 52 (3): 500- 511. 
																							 doi: 10.1111/ahe.12907  | 
										
| 112 |  
											  OLIVEIRA D A ,  BRESOLIN T ,  COELHO S G , et al.  A polar transformation augmentation approach for enhancing mammary gland segmentation in ultrasound images[J]. Computers and Electronics in Agriculture, 2024, 220, 108825. 
																							 doi: 10.1016/j.compag.2024.108825  | 
										
| 113 | PICCIONE G , ARCIGLI A , FAZIO F , et al. Pulsed wave-doppler ultrasonographic evaluation of mammary blood flows speed in cows during different productive periods[J]. Acta Scientiae Veterinariae, 2004, 32 (3): 171- 175. | 
| 114 |  
											  GÖTZE A ,  HONNENS A ,  FLACHOWSKY G , et al.  Variability of mammary blood flow in lactating Holstein-Friesian cows during the first twelve weeks of lactation[J]. J Dairy Sci, 2010, 93 (1): 38- 44. 
																							 doi: 10.3168/jds.2008-1781  | 
										
| 115 |  
											  BRAUN U ,  FORSTER E .  B-mode and colour Doppler sonographic examination of the milk vein and musculophrenic vein in dry cows and cows with a milk yield of 10 and 20 kg[J]. Acta Vet Scand, 2012, 54 (1): 15. 
																							 doi: 10.1186/1751-0147-54-15  | 
										
| 116 |  
											  RIZZO A ,  MUTINATI M ,  MINOIA G , et al.  The impact of oxytocin on the hemodynamic features of the milk vein in dairy cows: A color Doppler investigation[J]. Res Vet Sci, 2012, 93 (2): 983- 988. 
																							 doi: 10.1016/j.rvsc.2012.01.016  | 
										
| 117 |  
											  BRAUN U ,  FORSTER E ,  BLEUL U , et al.  B-mode and colour Doppler ultrasonography of the milk vein and musculophrenic vein in eight cows during lactation[J]. Res Vet Sci, 2013, 94 (1): 138- 143. 
																							 doi: 10.1016/j.rvsc.2012.07.034  | 
										
| 118 | DANTAS A , SIQUEIRA E R , FERNANDES S , et al. Mammary artery Doppler ultrasonography of Brazilian Bergamasca dairy ewe lambs under the influence of two different feeding plans[J]. Pesquisa Veterinária Brasileira, 2017, 37 (2): 179- 182. | 
| 119 |  
											  REDIFER C A ,  WICHMAN L G ,  RATHERT-WILLIAMS A R , et al.  Nutrient restriction during late gestation reduces milk yield and mammary blood flow in lactating primiparous beef females[J]. J Anim Sci, 2024, 102, skae016. 
																							 doi: 10.1093/jas/skae016  | 
										
| 120 |  
											  FRANZ S ,  HOFMANN-PARISOT M M ,  BAUMGARTNER W .  Evaluation of three-dimensional ultrasonography of the bovine mammary gland[J]. Am J Vet Res, 2004, 65 (8): 1159- 1163. 
																							 doi: 10.2460/ajvr.2004.65.1159  | 
										
| 121 |  
											  GANAIE B A ,  KHAN M ,  ISLAM R , et al.  Evaluation of different techniques for pregnancy diagnosis in sheep[J]. Small Ruminant Res, 2009, 85 (2-3): 135- 141. 
																							 doi: 10.1016/j.smallrumres.2009.09.003  | 
										
| 122 |  
											  THEMISTOKLEOUS K S ,  PAPADOPOULOS I ,  PANOUSIS N , et al.  Udder ultrasonography of dairy cows: Investigating the relationship between echotexture, blood flow, somatic cell count and milk yield during dry period and lactation[J]. Animals, 2023, 13 (11): 1779. 
																							 doi: 10.3390/ani13111779  | 
										
| 123 |  
											  THEMISTOKLEOUS K S ,  PAPADOPOULOS I ,  PANOUSIS N , et al.  Colour Doppler study of blood flow in the portal vein in relation to blood flow in the milk vein, milk yield and body condition of dairy cows during dry period and lactation[J]. Res Vet Sci, 2023, 162, 104955. 
																							 doi: 10.1016/j.rvsc.2023.104955  | 
										
| 124 |  
											  FASULKOV I ,  KARADAEV M ,  VASILEV N , et al.  Application of colour Doppler and three-dimensional (3D) ultrasonography for visualization of mammary gland structures in goats[J]. Small Ruminant Res, 2018, 162, 43- 47. 
																							 doi: 10.1016/j.smallrumres.2018.03.003  | 
										
| [1] | ZHENG Hao, LUO Fang, SONG Chenglei, TAO Jinzhong. Screening Potential Plasma Biomarkers of Non-pregnant Dairy Cows after Artificial Insemination Based on Metabolomics Technology [J]. Acta Veterinaria et Zootechnica Sinica, 2025, 56(7): 3252-3264. | 
| [2] | FU Yu, YANG Zhuo, ZHENG Hao, SUN Guohan, SHEN Wenjuan, HAN Xiaohong, TAO Jinzhong. Correlation between Related Factors in Peripheral Plasma and Pregnancy Status of Dairy Cows in Early Breeding Period [J]. Acta Veterinaria et Zootechnica Sinica, 2025, 56(6): 2790-2800. | 
| [3] | ZHANG Junxing, SHENG Hui, HAN Liyun, ZHANG Hailiang, ZHANG Yi, CAI Bei, MA Yun, WANG Yachun. The Impact of Health Events on Important Economic Traits in Holstein Lactating Cows [J]. Acta Veterinaria et Zootechnica Sinica, 2025, 56(5): 2203-2218. | 
| [4] | QIAO Yarui, MIAO Yuhang, HUANG Qian, ZHOU Xuezhang. Research on the Biological Characteristics of Enterococcus faecalis in Dairy Cow Mastitis in Ningxia [J]. Acta Veterinaria et Zootechnica Sinica, 2025, 56(5): 2325-2339. | 
| [5] | FAN Manting, HUANG Ruoting, SHE Yuanhang, GUO Jianchao, LIU Jianying, GUO Yongqing. Research Progress on the Application of Omics Technology in the Pathogenesis and Diagnosis of Mastitis in Dairy Cows [J]. Acta Veterinaria et Zootechnica Sinica, 2025, 56(3): 1076-1088. | 
| [6] | ZHANG Shiqi, ZHENG Nan, WANG Jiaqi, ZHAO Shengguo. Effect of Dietary NFC/NDF Ratio on the Metabolic Flux of Microbial Urea Nitrogen in the Rumen of Dairy Cows [J]. Acta Veterinaria et Zootechnica Sinica, 2025, 56(3): 1302-1312. | 
| [7] | WANG Jing, GUAN Shuwen, ZHAO Xiaobo, WANG Linwei, GUO Gang, JIANG Linshu. The Protective Effect of Bamboo Leaf Flavonoids on H2O2-induced Pyroptosis in Bovine Mammary Epithelial Cells [J]. Acta Veterinaria et Zootechnica Sinica, 2025, 56(1): 281-294. | 
| [8] | Rui SHI, Shanshan LI, Hailiang ZHANG, Haibo LU, Qingxia YAN, Yi ZHANG, Shaohu CHEN, Yachun WANG. Genotype by Environment Interaction of Fertility Traits for the Holstein Cattle in China [J]. Acta Veterinaria et Zootechnica Sinica, 2024, 55(9): 3968-3977. | 
| [9] | Ruowei WANG, Xiyao XU, Xiaona TANG, Chunmei WANG, Feng ZHAO. Connective Tissue Growth Factor Regulates the Growth and Differentiation of Cows Mammary Epithelial Cells in Vitro [J]. Acta Veterinaria et Zootechnica Sinica, 2024, 55(8): 3446-3459. | 
| [10] | Xinrui ZHANG, Yu FU, Sijia MA, Zhuo YANG, Jinzhong TAO. Physiological Regulation and Feeding Management of Periparturient Dairy Cows [J]. Acta Veterinaria et Zootechnica Sinica, 2024, 55(6): 2325-2333. | 
| [11] | Hang ZHANG, Peipei ZHANG, Baigao YANG, Xiaoyi FENG, Yifan NIU, Zhou YU, Jianhua CAO, Pengcheng WAN, Xueming ZHAO. Combination of IGF1, CoQ10 and MT Alleviated the Effects of Heat Stress on Bovine IVF Blastocysts [J]. Acta Veterinaria et Zootechnica Sinica, 2024, 55(6): 2474-2485. | 
| [12] | XIANG Hui, GUI Linsen, YANG Di, WEI Shihao, GONG Yanbin, SHI Yuangang, MA Yun, DAN Xingang. Research Progress on the Estrus Synchronization-fixed-timed Artificial Insemination Technology in Dairy Cows [J]. Acta Veterinaria et Zootechnica Sinica, 2024, 55(4): 1412-1422. | 
| [13] | ZHANG Xinrui, FU Yu, YANG Zhuo, SHEN Wenjuan, TAO Jinzhong. Study of Early Pregnancy Diagnostic Proteins in Dairy Cows [J]. Acta Veterinaria et Zootechnica Sinica, 2024, 55(2): 451-460. | 
| [14] | Qiaoli YANG, Fugang LI, Guojun YAN, Qiang LIU, Gang GUO, Cong WANG. Effects of Folic Acid and Cobalamin on Lactation Performance, Nutrient Digestion and Hepatic Lipid Content in Dairy Cows during Perinatal Period [J]. Acta Veterinaria et Zootechnica Sinica, 2024, 55(11): 5114-5123. | 
| [15] | Guohan SUN, Hao ZHENG, Zhuo YANG, Wenjuan SHEN, Jinzhong TAO. Effects and Regulation Methods of Progesterone on Reproduction in Dairy Cows During Estrus and Early Pregnancy [J]. Acta Veterinaria et Zootechnica Sinica, 2024, 55(10): 4241-4249. | 
| Viewed | ||||||
| 
										Full text | 
									
										 | 
								|||||
| 
										Abstract | 
									
										 | 
								|||||