Acta Veterinaria et Zootechnica Sinica ›› 2026, Vol. 57 ›› Issue (1): 564-568.doi: 10.11843/j.issn.0366-6964.2026.01.049

• RESEARCH NOTES • Previous Articles    

Development and Evaluation of the Multienzyme Isothermal Rapid Amplification Assays for Detection of Streptococcus suis and Its Three Serovars

HU Zhangyu(), ZHANG Yongqing(), CHEN Yilian, XU Fazhi, CHANG Xinyue, FANG Fugui, LI Liang, SUN Pei, LIU Xuelan()   

  1. College of Veterinary Medicine,Anhui Agricultural University,Hefei 230036,China
  • Received:2024-12-12 Online:2026-01-23 Published:2026-01-26
  • Contact: LIU Xuelan E-mail:2951231612@qq.com;zhangyongqing0401@163.com;liuxuelan203@163.com

Abstract:

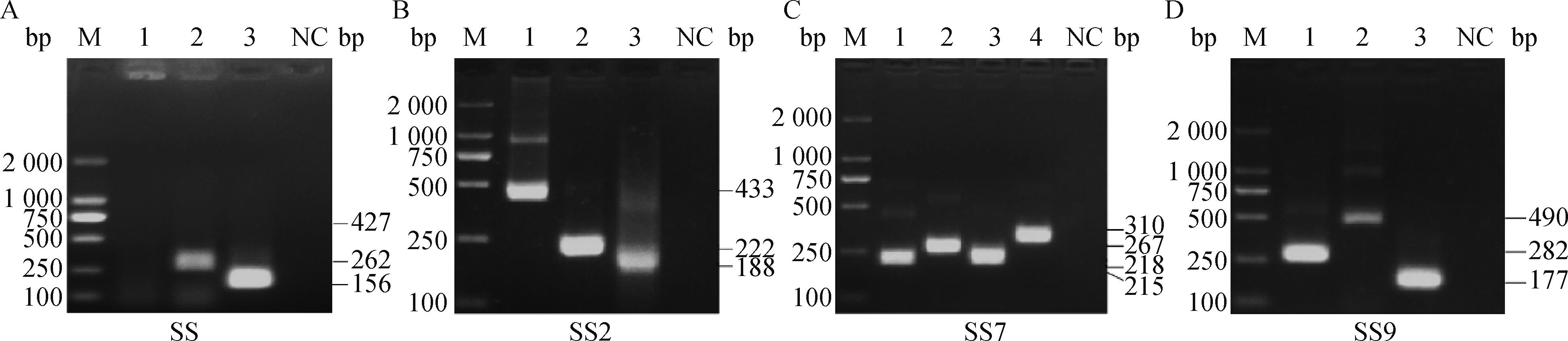
Streptococcus suis (SS) is one of the important pathogens causing serious economic losses in the pig farming industry. Here, we developed a novel rapid detection method for detecting SS and serovars 2, 7 and 9 based on multienzyme isothermal rapid amplification (MIRA) technology. The MIRA assays were validated for detection of SS and it serovars within 5 to 30 min at 20-41 ℃, with relative higher specificity and sensitivity. There are 100% agreement between our MIRA and PCR methods in the detection of clinical samples. Our results showed that the MIRA was a useful diagnostic method for rapid diagnosis of SS infection.

Key words: Streptococcus suis, serovars, MIRA, rapid detection

CLC Number: