

Acta Veterinaria et Zootechnica Sinica ›› 2025, Vol. 56 ›› Issue (10): 5072-5083.doi: 10.11843/j.issn.0366-6964.2025.10.027
• Preventive Veterinary Medicine • Previous Articles Next Articles
HE Yanyan1,2(
), CHEN Lingbo1, WEI Tian1, TENG Zhidong1, ZHANG Yun1, ZHANG Mingyang1, MA Wenqian1, JING Xiaoqi2, GUO Huichen1, MU Suyu1,*(
), SUN Shiqi1,*(
)
Received:2025-01-10
Online:2025-10-23
Published:2025-11-01
Contact:
MU Suyu, SUN Shiqi
E-mail:160631841@qq.com;mutou6633937@126.com;sunshiqi@caas.cn
CLC Number:
HE Yanyan, CHEN Lingbo, WEI Tian, TENG Zhidong, ZHANG Yun, ZHANG Mingyang, MA Wenqian, JING Xiaoqi, GUO Huichen, MU Suyu, SUN Shiqi. Prokaryotic Expression of Porcine Soluble CD40L Trimer Protein and Evaluation of Its Immune Effect against Foot-and-Mouth Disease Virus-Like Particles Vaccine[J]. Acta Veterinaria et Zootechnica Sinica, 2025, 56(10): 5072-5083.
Table 2
Primers used for cytokine gene expression assay by real-time RT-PCR"
| 引物名称 Primer name | 引物序列(5′→3′) Primer sequence |
| IL-2 F | GTTATGCTTTCTCAGAGCAACCC |
| IL-2 R | GCTAAATTTAGCACCTGCTCCAC |
| IL-4 F | TGACGGTCATTCTCTTCTGCCTC |
| IL-4 R | AGGAGAGTGTGTTGAGGTGCTG |
| IL-12 F | ACCTCCCTAGGGCCTCACCAG |
| IL-12 R | GGCCTTGTGAAGTTCACTGTTC |
| IFN-γ F | ATGTTGGCTCTTCAGTTCTG |
| IFN-γ R | CATCTGAGTTATCTGCATTC |
| GAPDHF | CGAGACAAGATGGTGAAGGTC |
| GAPDHR | CATTGATGGCTACAATATCCACT |
Fig. 2
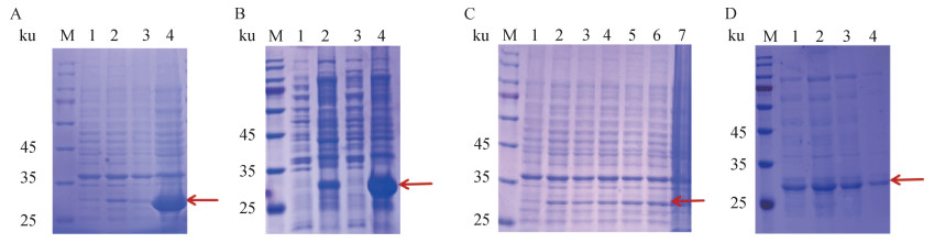
>Optimization of pig 5B CD40L protein expression condition A. Optimization of protein expression temperature (M. Protein molecular weight standard; 1.2. Before and after induction at 16 ℃; 3, 4. Before and after induction at 37 ℃); B. Soluble expression of the target protein (M. Protein molecular weight standard; 1.2. Precipitation and supernatant after ultrasound at 37 ℃; 3, 4. Precipitation and supernatant after ultrasonic treatment at 16 ℃; C. Optimization of inducer IPTG concentration (M. Protein molecular weight standard; 1-7.0, 0.1, 0.2, 0.3, 0.4, 0.5, 0.6 mmol·L-1; D. Optimization of bacterial density OD600 nm value (M. Protein molecular weight standard; The values of 1 to 4.OD600 nm are 1.1, 0.9, 0.7, and 0.5 respectively"
Fig. 6
Gate-setting strategy of B cells and detection of 5B CD40L bioactivity in vitro A. B-cell sorting strategy (using the dual parameter characteristics of forward scattering angle (FSC-A) and side scattering angle (SSC-A) to conduct an initial screening of the lymphocyte population, and further identifying B-cell subgroups through anti-CD21 antibody labeling); B. The flow cytometry scatter plot presents the co-expression characteristics of the co-stimulatory molecules CD80 and CD86 on the surface of CD21+ B lymphocytes in the 5B CD40L treatment group; C. Quantitative analysis of five independent experiments showed (n=5), there was a dose-dependent difference in the average fluorescence intensity of CD80/CD86 in CD21+ B lymphocytes of the test group, and the data are presented as the ${\bar x}$±s. ns. No difference, *. P < 0.05, **. P < 0.01, ***. P < 0.001, ****. P < 0.000 1, the same as below"
| 1 |
KARPUSASM,HSUY M,WANGJ H,et al.2 A crystal structure of an extracellular fragment of human CD40 ligand[J].Structure,1995,3(10):1031-1039.
doi: 10.1016/S0969-2126(01)00239-8 |
| 2 |
ELGUETAR,BENSONM J,DE VRIESV C,et al.Molecular mechanism and function of CD40/CD40L engagement in the immune system[J].Immunol Rev,2009,229(1):152-172.
doi: 10.1111/j.1600-065X.2009.00782.x |
| 3 |
TAKADAY K,SHIMODAM,MAVERAKISE,et al.Soluble CD40L activates soluble and cell-surface integrin αvβ3, α5β1, and α4β1 by binding to the allosteric ligand-binding site (site 2)[J].J Biol Chem,2021,296,100399.
doi: 10.1016/j.jbc.2021.100399 |
| 4 |
JOHNSONS,ZHANY,SUTHERLANDR M,et al.Selected Toll-like receptor ligands and viruses promote helper-independent cytotoxic T cell priming by upregulating CD40L on dendritic cells[J].Immunity,2009,30(2):218-227.
doi: 10.1016/j.immuni.2008.11.015 |
| 5 | CLARKL B,FOYT M,NOELLER J.CD40 and its ligand[J].Adv Immunol,1996,63,43-78. |
| 6 |
SCHNABELCL,FLETEMEYERB,LVBKES,et al.CD154 Expression indicates T Cell activation following tetanus toxoid vaccination of horses[J].Front Immunol,2022,13,805026.
doi: 10.3389/fimmu.2022.805026 |
| 7 |
VAN KOOTENC,BANCHEREAUJ.CD40-CD40 ligand[J].J Leukoc Biol,2000,67(1):2-17.
doi: 10.1002/jlb.67.1.2 |
| 8 |
GRAFD,MVLLERS,KORTHÄUERU,et al.A soluble form of TRAP (CD40 ligand) is rapidly released after T cell activation[J].Eur J Immunol,1995,25(6):1749-1754.
doi: 10.1002/eji.1830250639 |
| 9 |
CONLEYM E,DOBBSA K,FARMERD M,et al.Primary B cell immunodeficiencies: comparisons and contrasts[J].Annu Rev Immunol,2009,27,199-227.
doi: 10.1146/annurev.immunol.021908.132649 |
| 10 | BISHOPG A,MOOREC R,XIEP,et al.TRAF proteins in CD40 signaling[J].Adv Exp Med Biol,2007,597,131-151. |
| 11 |
HASSANG S,STAGGJ,MOURADW.Role of CD154 in cancer pathogenesis and immunotherapy[J].Cancer Treat Rev,2015,41(5):431-440.
doi: 10.1016/j.ctrv.2015.03.007 |
| 12 |
ZACCARDCR,WATKINSSC,KALINSKIP,et al.CD40L induces functional tunneling nanotube networks exclusively in dendritic cells programmed by mediators of type 1 immunity[J].J Immunol,2015,194(3):1047-1056.
doi: 10.4049/jimmunol.1401832 |
| 13 |
GUPTAS,TERMINIJ M,RIVASY,et al.A multi-trimeric fusion of CD40L and gp100 tumor antigen activates dendritic cells and enhances survival in a B16-F10 melanoma DNA vaccine model[J].Vaccine,2015,33(38):4798-4806.
doi: 10.1016/j.vaccine.2015.07.081 |
| 14 |
SUNL,LIY,ZHANGY,et al.Adaptation and attenuation of duck Tembusu virus strain Du/CH/LSD/110128 following serial passage in chicken embryos[J].Clin Vaccine Immunol,2014,21(8):1046-1053.
doi: 10.1128/CVI.00154-14 |
| 15 |
KWAS,SADAGOPALS,SHENX,et al.CD40L-adjuvanted DNA/modified vaccinia virus Ankara simian immunodeficiency virus (SIV) vaccine enhances protection against neutralization-resistant mucosal SIV infection[J].J Virol,2015,89(8):4690-4695.
doi: 10.1128/JVI.03527-14 |
| 16 |
LIUS A,HAQUEM,STANFIELDB,et al.A recombinant fusion protein consisting of West Nile virus envelope domain Ⅲ fused in-frame with equine CD40 ligand induces antiviral immune responses in horses[J].Vet Microbiol,2017,198,51-58.
doi: 10.1016/j.vetmic.2016.12.008 |
| 17 | 贺艳艳,郭慧琛,孙世琪,等.猪CD40L的可溶表达及其生物学活性检测[J].中国兽医科学,2025,55(3):389-395. |
| HEY Y,GUOH C,SUNS Q,et al.Soluble expression and biological activity detection of CD40L in porcine[J].Chinese Journal of Veterinary Sciences,2025,55(3):389-395. | |
| 18 |
IDRISSH T,NAISMITHJ H.TNF alpha and the TNF receptor superfamily: structure-function relationship(s)[J].Microsc Res Tech,2000,50(3):184-195.
doi: 10.1002/1097-0029(20000801)50:3<184::AID-JEMT2>3.0.CO;2-H |
| 19 |
MORRISA E,REMMELER L Jr,KLINKER,et al.Incorporation of an isoleucine zipper motif enhances the biological activity of soluble CD40L (CD154)[J].J Biol Chem,1999,274(1):418-423.
doi: 10.1074/jbc.274.1.418 |
| 20 | 任丽华,罗新,董虎,等.CpG和poly Ⅰ: C增强口蹄疫病毒样颗粒疫苗免疫效果的研究[J].中国兽医科学,2024,54(07):859-865. |
| RENL H,LUOX,DONGH,et al.Research on the enhancement of the immune effect of foot-and-mouth disease virus-like particle vaccine by CpG and poly Ⅰ: C[J].Chinese Journal of Veterinary Sciences,2024,54(07):859-865. | |
| 21 | SAADATM,GANDOMKARM,BAHREINIPOURA,et al.Evaluation of the designed multi-epitope protein of Brucella melitensis in guinea pigs[J].Iran J Basic Med Sci,2021,24(6):833-841. |
| 22 |
NAGASHIMAH,AOKAY,SAKOMURAY,et al.Matrix metalloproteinase 2 is suppressed by rapidil, a CD40-CD40 ligand pathway inhibitor, in human abdominal aortic aneurysm wall[J].J Vasc Surg,2004,39(2):447-53.
doi: 10.1016/j.jvs.2003.07.005 |
| 23 |
BROUWERP J M,ANTANASIJEVICA,RONKA J,et al.Lassa virus glycoprotein nanoparticles elicit neutralizing antibody responses and protection[J].Cell Host Microbe,2022,30(12):1759-1772.
doi: 10.1016/j.chom.2022.10.018 |
| 24 |
CYSTERJ G,ALLENC D C.B cell responses: Cell interaction dynamics and decisions[J].Cell,2019,177(3):524-540.
doi: 10.1016/j.cell.2019.03.016 |
| 25 |
WOOLAVERR A,WANGX,DOLLINY,et al.TRAF2 deficiency in B cells impairs CD40-induced isotype switching that can be rescued by restoring NF-κB1 activation[J].J Immunol,2018,201(11):3421-3430.
doi: 10.4049/jimmunol.1800337 |
| 26 |
BANCZYKD,KALIESK,NACHBARL,et al.Activated CD4+ T cells enter the splenic T-cell zone and induce autoantibody-producing germinal centers through bystander activation[J].Eur J Immunol,2014,44(1):93-102.
doi: 10.1002/eji.201343811 |
| 27 |
KORNUTAC A,LANGELLOTTIC A,BIDARTJ E,et al.A plasmid encoding the extracellular domain of CD40 ligand and MontanideTM GEL01 as adjuvants enhance the immunogenicity and the protection induced by a DNA vaccine against BoHV-1[J].Vaccine,2021,39(6):1007-1017.
doi: 10.1016/j.vaccine.2020.11.071 |
| 28 |
PUJOLJ,BOUILLENNEF,FARNIRF,et al.Generation of a soluble recombinant trimeric form of bovine CD40L and its potential use as a vaccine adjuvant in cows[J].Vet Immunol Immunopathol,2015,168(1-2):1-13.
doi: 10.1016/j.vetimm.2015.09.011 |
| 29 |
SÁNCHEZ RAMOSO,GONZÁLEZ POSEA,GÓMEZ-PUERTAS,et al.Avian CD154 enhances humoral and cellular immune responses induced by an adenovirus vector-based vaccine in chickens[J].Comp Immunol Microbiol Infect Dis,2011,34(3):259-265.
doi: 10.1016/j.cimid.2010.12.001 |
| 30 |
KWAS,LAIL,GANGADHARAS,et al.CD40L-adjuvanted DNA/modified vaccinia virus Ankara simian immunodeficiency virus SIV239 vaccine enhances SIV-specific humoral and cellular immunity and improves protection against a heterologous SIVE660 mucosal challenge[J].J Virol,2014,88(17):9579-9589.
doi: 10.1128/JVI.00975-14 |
| 31 |
ROUSSETF,GARCIAE,BANCHEREAUJ.Cytokine-induced proliferation and immunoglobulin production of human B lymphocytes triggered through their CD40 antigen[J].J Exp Med,1991,173(3):705-710.
doi: 10.1084/jem.173.3.705 |
| [1] | WANG Ziyi, RU Yi, LU Bingzhou, YANG Yang, ZHAO Longhe, LI Yajun, LI Jianbin, LI Minggui, MA Kun, LENG Feifan, HAO Rongzeng, ZHENG Haixue. Prolyl Oligopeptidase Promotes the Replication of Foot and Mouth Disease Virus in PK15 Cells [J]. Acta Veterinaria et Zootechnica Sinica, 2025, 56(9): 4593-4603. |
| [2] | XUE Xiaoxiao, MENG Lingzhai, WANG Suyan, YU Mengmeng, CHEN Yuntong, QI Xiaole, LI Liuan, YU Xiaoxue, GAO Yulong. Study on Immune Effect of Subtype B Attenuated Avian Metapneumovirus Disease Vaccine on Commercial Layer Chickens [J]. Acta Veterinaria et Zootechnica Sinica, 2025, 56(8): 3958-3966. |
| [3] | Huancheng LIAO, Zhengwang SHI, Juncong LUO, Wanying WANG, Lu FENG, Jing ZHOU, Fan ZHANG, Xintai SHI, Hong TIAN. Preparation of Monoclonal Antibody against Cathay Topotype of FMDV Type O and Development of Double Antibody Sandwich ELISA for Cathay Topotype of FMDV Type O [J]. Acta Veterinaria et Zootechnica Sinica, 2024, 55(9): 4012-4020. |
| [4] | WANG Jiali, YANG Fan, SHAO Wenhua, HUANG Mengyao, CAO Weijun, PU Xiuying, ZHANG Wei, ZHENG Haixue. Construction of Tollip Knockout Pig Kidney Cell Line [J]. Acta Veterinaria et Zootechnica Sinica, 2024, 55(4): 1810-1818. |
| [5] | Kaiheng DONG, Shulun HUANG, Fengjuan LI, Kun LI, Guo LIU, Qiang ZHANG, Huifang BAO, Hongxuan LI, Zengjun LU, Xiaoli ZHANG. Screening and Identification of the Antigenic Epitope of Pig Neutralizing Antibodies against Foot-and-mouth Disease Virus Serotype Asia 1 [J]. Acta Veterinaria et Zootechnica Sinica, 2024, 55(11): 5211-5221. |
| [6] | Pinghua LI, Shulun HUANG, Keqiang ZHANG, Feng LIU, Pu SUN, Dong LI, Huifang BAO, Yimei CAO, Xingwen BAI, Xueqing MA, Kun LI, Hong YUAN, Zaixin LIU, Zengjun LU. Rescue and Immunogenicity Analysis of Recombinant Foot-and-Mouth Disease Virus with the Chimera of G-H Loop Gene of the Epidemic Strain [J]. Acta Veterinaria et Zootechnica Sinica, 2024, 55(11): 5222-5229. |
| [7] | Zhuangzhuang XU, Suyan WANG, Yuntong CHEN, Tao ZHANG, Mengmeng YU, Lingzhai MENG, Wenrui FAN, Xiaole QI, Yulong GAO. Evaluation of the Immune Efficacy of Attenuated Strain of Subtype B Avian Metapneumovirus Disease on Commercial Broilers [J]. Acta Veterinaria et Zootechnica Sinica, 2024, 55(10): 4597-4604. |
| [8] | ZHOU Guangqing, LIU Xiaoqing, SHI Xijuan, YANG Dapeng, YUAN Ligang, CHANG Huiyun. Establishment of a Rapid Detection SA-ELISA Method for Anti Foot-and-Mouth Disease Virus [J]. Acta Veterinaria et Zootechnica Sinica, 2023, 54(5): 2020-2029. |
| [9] | XUAN Ting, YANG Kaiyi, CAI Jinshuang, GENG Yan, LI Yufeng. Analysis of the Immune Characteristics of the Six Recombinant Proteins of Glaesserella parasuis in Mice [J]. Acta Veterinaria et Zootechnica Sinica, 2023, 54(5): 2073-2082. |
| [10] | LI Shuo, ZHANG Yun, BAI Manyuan, ZHAO Ruichong, SONG Hetao, MU Suyu, TENG Zhidong, DONG Hu, MA E'ning, SUN Shiqi, GUO Huichen, YIN Shuanghui. Immunogenicity Evaluation of Biomineralized Foot-and-mouth Disease Virus-like Particles Vaccine [J]. Acta Veterinaria et Zootechnica Sinica, 2023, 54(4): 1598-1607. |
| [11] | LI Rang, WENG Xiang, LI Quanxiao, WU Daocheng, CAO Hui, ZHANG Ailian. Analysis of Emulsifying Method and Stability of Foot-and-mouth Disease Vaccine Combined with Crude Polysaccharides from Cultivated Artemisia rupestris L. [J]. Acta Veterinaria et Zootechnica Sinica, 2023, 54(4): 1608-1615. |
| [12] | GUO Zijing, CHEN Fei, ZHANG Zhixiong, BAI Ling, ZHANG Zhidong, LI Yanmin. Effects of Interleukin-10 on T Cell Proliferation and Its Expression of TNF-α, IFN-γ and IL-2 in Mice Infected with Foot-and-Mouth Disease Virus [J]. Acta Veterinaria et Zootechnica Sinica, 2023, 54(2): 694-705. |
| [13] | CHEN Wenzhe, ZHANG Xiangle, GU Fengxing, ZHAO Zhenxiang, LI Kangli, XUE Zhaoning, ZHENG Haixue, ZHANG Xiaoli, ZHU Zixiang. Evaluation of the Antiviral Effect of Porcine GRK2 against Foot-and-mouth Disease Virus [J]. Acta Veterinaria et Zootechnica Sinica, 2023, 54(10): 4350-4361. |
| [14] | YIN Dejing, WU Yan, YUE Jun, YANG Peng, CHEN Jing, WANG Hui, ZHANG Shuangxiang, WANG Kaigong, CHENG Zhentao. Construction of Eukaryotic Expression Vector of N-terminal Gene of LppA Protein of Mycoplasma Mycoides subsp.Capri and Analysis of Its Immune Efficacy in Mice [J]. Acta Veterinaria et Zootechnica Sinica, 2022, 53(3): 847-856. |
| [15] | HAN Weijian, ZHANG Junjuan, ZHANG Yiming, WANG Jiaxin, LI Limin. Cytokine Responses of Bone Marrow-derived Mast Cells to FMDV-VLPs via Mannose Receptors [J]. Acta Veterinaria et Zootechnica Sinica, 2022, 53(11): 3917-3926. |
| Viewed | ||||||
|
Full text |
|
|||||
|
Abstract |
|
|||||