畜牧兽医学报 ›› 2025, Vol. 56 ›› Issue (12): 6458-6476.doi: 10.11843/j.issn.0366-6964.2025.12.047

• 基础兽医 • 上一篇    下一篇

利用小鼠模型分析黄芩素调节肠道菌群缓解葡聚糖硫酸钠诱导的结肠炎机制

王坤, 张永杰, 胡瑞莹, 郭丽阳, 陈春丽*   

  1. 东北农业大学动物医学学院, 哈尔滨 150030
  • 收稿日期:2025-03-07 发布日期:2025-12-24
  • 通讯作者: 陈春丽,主要从事兽医药理学研究,E-mail:chunli.chen@neau.edu.cn
  • 作者简介:王坤(2000-),女,河南南阳人,硕士生,主要从事兽医药理学研究,E-mail:2537511983@qq.com
  • 基金资助:
    黑龙江省自然科学基金资助项目(YQ2022C017)

Mechanism of Baicalein Alleviating Dextran Sulfate Sodium Induced Colitis by Modulating Gut Microbiota in Mouse Model

WANG Kun, ZHANG Yongjie, HU Ruiying, GUO Liyang, CHEN Chunli*   

  1. College of Veterinary Medicine, Northeast Agricultural University, Harbin 150030, China
  • Received:2025-03-07 Published:2025-12-24

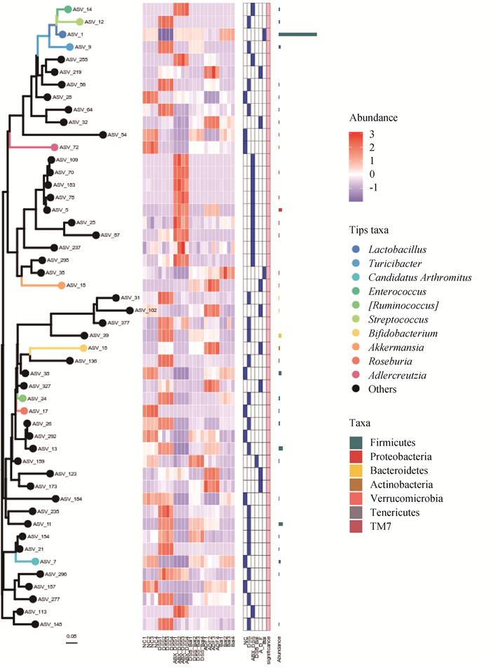
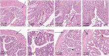
摘要: 本试验旨在研究黄芩素(baicalein,Bai)对溃疡性结肠炎(ulcerative colitis,UC)小鼠的炎症、肠道屏障以及肠道菌群的影响。将60只5周龄的BALB/c雄性小鼠适应性饲养7 d后,每组10只随机分为6组,分别为空白组(NC组),葡聚糖硫酸钠组(DSS组),混合抗生素+葡聚糖硫酸钠组(ABX+DSS组),葡聚糖硫酸钠+黄芩素组(DSS+Bai组),混合抗生素+葡聚糖硫酸钠+肠道菌群移植组(ABX+DSS+FMT组,ADF组)和黄芩素单独给药组(Bai组)。在饮用水中添加3%的葡聚糖硫酸钠(dextran sulfate sodium,DSS)复制急性溃疡性结肠炎动物模型,观察黄芩素在炎症性肠病中的治疗作用,分析黄芩素对炎症状态下肠道菌群的影响,初步探究黄芩素治疗炎症性肠病的作用机制。结果表明,黄芩素可以通过PPAR-γ/NF-κB通路帮助结肠炎小鼠缓解肠道炎症,显著下调DSS组IL-1β和TNF-α的表达(P<0.05),上调了IL-10和结肠蛋白的表达(P<0.05)。组织病理切片显示,DSS组结肠上皮细胞大量脱落,坏死崩解,肠绒毛结构模糊,隐窝缺失,黏膜层及黏膜下层有大量炎性细胞浸润,黏膜下层出现纤维化结构,黏膜层的腺体结构破坏,杯状细胞大量减少。黄芩素治疗组结肠结构完整,黏膜层及黏膜下层有炎性细胞,肠上皮脱落程度比DSS组明显减少。对肠道菌群的进一步评估发现,与DSS组相比黄芩素可以调节肠道菌群,以厚壁菌门、变形菌门为主,黄芩素给药组均能显著增加厚壁菌门的丰度,降低变形菌门丰度,促进肠道益生菌的生长,抑制致病菌,从而达到结肠炎的治疗效果。综上,黄芩素可以缓解葡聚糖硫酸钠诱导的结肠炎,通过PPAR-γ/NF-κB通路并调节肠道菌群,发挥治疗效果。

关键词: 黄芩素, 动物结肠炎, 肠道菌群, 肠道炎症, PPAR-γ/NF-κB

Abstract: This study was conducted to investigate the effects of baicalein (Bai) on inflammation, intestinal barrier and intestinal flora in mice with ulcerative colitis (UC). After 7 days of adaptive feeding, 60 BALB/c male mice aged 5 weeks were randomly divided into 6 groups: blank group (NC group), dextran sodium sulfate group (DSS group), mixed antibiotics + dextran sodium sulfate group (ABX+DSS group), dextran sodium sulfate + baicalein group (DSS+Bai group). Mixed antibiotics + dextran sodium sulfate + fecal microbiota transplantation group (ABX+DSS+FMT group, ADF group) and baicalein administration group (Bai group). Animal models of acute ulcerative colitis were replicated by dextran sulfate sodium (DSS), and the therapeutic effect of baicalein in inflammatory bowel disease was observed, and the effect of baicalein on intestinal flora in inflammatory state was analyzed, so as to explore the mechanism of baicalein in the treatment of inflammatory bowel disease. The results showed that baicalein could alleviate intestinal inflammation in colitis mice through PPAR-γ/NF-κB pathway, significantly down-regulated the expression of IL-1β and TNF-α in DSS group (P<0.001), and up-regulated the expression of IL-10 and colonic protein (P<0.001). Histopathological sections showed that colon epithelial cells in the DSS group had a large number of exfoliation, necrosis and disintegration, intestinal villi structure was blurred, crypts were missing, mucosa and submucosa were infiltrated by a large number of inflammatory cells, fibrotic structures appeared in the submucosa, glandular structures in the mucosa were destroyed, and goblet cells were greatly reduced. The colon structure of Bai treatment group was intact, there were inflammatory cells in the mucosa and submucosa, and the degree of intestinal epithelial exfoliation was significantly reduced than that of DSS group. Further evaluation of intestinal flora showed that baicalein could regulate intestinal flora compared with DSS group, mainly Firmicutes and Proteobacteria, and baicalein administration group could significantly increase the abundance of Firmicutes, reduce the abundance of Proteobacteria, promote the growth of intestinal probiotics and inhibit pathogenic bacteria, thus achieving the therapeutic effect of colitis. In conclusion, baicalein can relieve colitis induced by sodium glucan sulfate, and play a therapeutic effect by regulating intestinal flora through PPAR-γ/NF-κB pathway.

Key words: baicalein, animal colitis, intestinal flora, intestinal inflammation, PPAR-γ/NF-κB

中图分类号: