

Acta Veterinaria et Zootechnica Sinica ›› 2025, Vol. 56 ›› Issue (11): 5826-5838.doi: 10.11843/j.issn.0366-6964.2025.11.039
• Basic Veterinary Medicine • Previous Articles Next Articles
DUAN Sizhang(
), LIU Yongning, SHAN Yige, LIU Qianlin, LI Yilin, AN Jian, ZHANG Jianjun*(
)
Received:2024-10-15
Online:2025-11-23
Published:2025-11-27
Contact:
ZHANG Jianjun
E-mail:2227393976@qq.com;zhjj339@163.com
CLC Number:
DUAN Sizhang, LIU Yongning, SHAN Yige, LIU Qianlin, LI Yilin, AN Jian, ZHANG Jianjun. The Effect of Bidens pilosa on Intestinal Damage, Immune Function, and Antioxidant Capacity in Chicks Infected with Eimeria tenella[J]. Acta Veterinaria et Zootechnica Sinica, 2025, 56(11): 5826-5838.
Table 1
The primer sequence information"
| 基因 Gene | 引物序列 Primer sequences | 参考序列 Reference sequence |
| 闭锁蛋白 Occludin | 正向引物(F): 5′-CGCAGATGTCCAGCGGTTACT-3′ 反向引物(R): 5′-CAGAGCAGGATGACGATGAGGAA-3′ | NM_205128.1 |
| 闭合蛋白1 Claudin 1 | 正向引物(F): 5′-TCTTCATCATTGCAGGTCTGTC-3′ 反向引物(R): 5′-TTAACGGGTGTGAAAGGGTC-3′ | NM_001013611.2 |
| 紧密连接蛋白1 ZO-1 | 正向引物(F): 5′-CTTCAGGTGTTTCTCTTCCTCCTC-3′ 反向引物(R): 5′-CTGTGGTTTCATGGCTGGATC-3′ | XM_040680624.2 |
| 黏蛋白2 MUC-2 | 正向引物(F): 5′-TCAGGCTCCACAGTATCAAC-3′ 反向引物(R): 5′-GTGGTAGGACTGTGCTTGTA-3′ | XM_040673077.2 |
| β-肌动蛋白 β-actin | 正向引物(F): 5′-TCCCTGGAGAAGAGCTATGA-3′ 反向引物(R): 5′-ACAGGACTCCATACCCAAGA-3′ | NM_205518.2 |
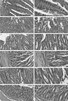
Fig. 1
Histopathological results of chicken cecum (pictures on the left line: 200×, bars=50 μm; pictures on the right line: 400×, bars=20 μm) A. Control group; B. Et group; C. 1 mL·kg-1 BP group; D. 5 mL·kg-1 BP group; E. 10 mL·kg-1 BP group; F. CCP group. The dotted arrows point to the oocyst, the black arrows point to the gametophyte, and the black outline arrows point to the goblet cell, the dashed arrows point to the epithelial cells of intestinal mucosa"
Fig. 3
Cecal gut barrier associated protein mRNA transcript levels A. Occludin mRNA transcript levels; B. Claudin-1 mRNA transcript level; C. ZO-1 mRNA transcript levels; D. MUC-2 mRNA transcript level. The same lowercase letters on the column indicate no significant difference (P>0.05), while different lowercase letters indicate significant difference (P < 0.05). The same as below"
| 1 | 李烨. 鸡球虫病的研究进展[J]. 当代畜禽养殖业, 2023, 43 (2): 40- 43. |
| LI Y . Research progress of avian coccidiosis[J]. Modern Animal Husbandry, 2023, 43 (2): 40- 43. | |
| 2 | 顾华兵, 刘向萍, 朱静, 等. 鸡球虫入侵机理, 免疫应答及防控研究进展[J]. 中国家禽, 2022, 44 (3): 90- 98. |
| GU H B , LIU X P , ZHU J , et al. Research progress on invasion mechanism, immune response and prevention and control of chicken coccidiosis[J]. China Poultry, 2022, 44 (3): 90- 98. | |
| 3 |
GEORGIEVA N V , KOINARSKI V , GADJEVA V . Antioxidant status during the course of Eimeria tenella infection in broiler chickens[J]. Vet J, 2006, 172 (3): 488- 492.
doi: 10.1016/j.tvjl.2005.07.016 |
| 4 | 酉加民, 杨茜梓, 宫嘉泰, 等. 迷迭香酸对堆型艾美耳球虫攻毒肉鸡生长性能, 免疫机能及炎症反应的影响[J]. 动物营养学报, 2023, 35 (9): 5696- 5707. |
| YOU J M , YANG X Z , GONG J T , et al. Effects of Rosmarinic acid on growth performance, immune function and inflammatory response of broilers challenged with Eimeria acervulina[J]. Chinese Journal of Animal Nutrition, 2023, 35 (9): 5696- 5707. | |
| 5 | 王琪. E. tenella 感染对球虫不同抗性鸡群体生长和盲肠微生物菌群的影响[D]. 扬州: 扬州大学, 2023. |
| WANG Q. Effect of E. tenella infection on growth and cecum microbial in different coccidium-resistant chickens[D]. Yangzhou: Yangzhou University, 2023. (in Chinese) | |
| 6 | 钱海霞. 鸡球虫抗药性特点与解决措施[J]. 吉林畜牧兽医, 2024, 45 (4): 109- 111. |
| QIAN H X . Characteristics of drug resistance in chicken coccidia and solutions[J]. Jilin Animal Husbandry and Veterinary Medicine, 2024, 45 (4): 109- 111. | |
| 7 | 王碧晴, 赵俊男, 张颖, 等. 鬼针草的药理作用研究进展[J]. 中医药导报, 2019, 25 (18): 100-103, 107. |
| WANG B Q , ZHAO J N , ZHANG Y , et al. Advances in pharmacological effects of Bidens pilosa L.[J]. Guiding Journal of Traditional Chinese Medicine and Pharmacy, 2019, 25 (18): 100-103, 107. | |
| 8 |
CHANG L T , CHANG S L , LEE Y M , et al. Cytopiloyne, a polyacetylenic glucoside, prevents type 1 diabetes in nonobese diabetic mice[J]. J Immunol, 2007, 178 (11): 6984- 6993.
doi: 10.4049/jimmunol.178.11.6984 |
| 9 |
MUCHUWETI M , MUPURE C , NDHLALA A , et al. Screening of antioxidant and radical scavenging activity of Vigna ungiculata, Bidens pilosa and Cleome gynandra[J]. Am J Food Technol, 2007, 2 (3): 161- 168.
doi: 10.3923/ajft.2007.161.168 |
| 10 |
MOYO S M , SEREM J C , BESTER M J , et al. Influence of boiling and subsequent phases of digestion on the phenolic content, bioaccessibility, and bioactivity of Bidens pilosa (Blackjack) leafy vegetable[J]. Food Chem, 2020, 311, 126023.
doi: 10.1016/j.foodchem.2019.126023 |
| 11 |
ABIODUN O , SOSANYA A , NWADIKE N , et al. Beneficial effect of Bidens pilosa L. (Asteraceae) in a rat model of colitis[J]. J Basic Clin Physiol Pharmacol, 2020, 31 (6): 20190166.
doi: 10.1515/jbcpp-2019-0166 |
| 12 | 纪璇, 周光现, 袁裕珊, 等. 白花鬼针草三种提取液成分预试及其抗氧化和抗菌活性研究[J]. 家畜生态学报, 2021, 42 (12): 79- 86. |
| JI X , ZHOU G X , YUAN Y S , et al. Preliminary test of three different extracts from Bidens alba and study on their antioxidant and antibacterial activities[J]. Journal of Domestic Animal Ecology, 2021, 42 (12): 79- 86. | |
| 13 | CHUNG C Y , YANG W C , LIANG C L , et al. Data on the effect of Cytopiloyne against Listeria monocytogenes infection in mice[J]. Data Brief, 2016, 7 (C): 995- 998. |
| 14 |
CHUNG C Y , YANG W C , LIANG C L , et al. Cytopiloyne, a polyacetylenic glucoside from Bidens pilosa, actsas a novel anticandidal agent via regulation of macrophages[J]. J Ethnopharmacol, 2016, 184, 72- 80.
doi: 10.1016/j.jep.2016.02.036 |
| 15 |
ZHOU B H , WANG H W , WANG X Y , et al. Eimeria tenella: effects of diclazuril treatment on microneme genes expression in second-generation merozoites and pathological changes of caeca in parasitized chickens[J]. Exp Parasitol, 2010, 125 (3): 264- 270.
doi: 10.1016/j.exppara.2010.01.022 |
| 16 |
DKHIL M A , THAGFAN F A , MORAD M Y , et al. Biosynthesized silver nanoparticles have anticoccidial and jejunum-protective effects in mice infected with Eimeria papillata[J]. Environ Sci Pollut Res Int, 2023, 30 (15): 44566- 44577.
doi: 10.1007/s11356-023-25383-0 |
| 17 | HAN M , HU W , CHEN T , et al. Anticoccidial activity of natural plants extracts mixture against Eimeria tenella: An in vitro and in vivo study[J]. Front Vet Sci, 2022, 9, 1- 14. |
| 18 |
CUI N , WANG X , WANG Q , et al. Effect of dual infection with Eimeria tenella and subgroup J avian leukosis virus on the cecal microbiome in specific-pathogen-free chicks[J]. Front Vet Sci, 2017, 4, 177.
doi: 10.3389/fvets.2017.00177 |
| 19 | MACDONALD S E , DIEMEN P M V , MARTINEAU H , et al. Impact of Eimeria tenella coinfection on campylobacter jejuni colonization of the chicken[J]. Infect Immun, 2019, 87 (2): e00772- 18. |
| 20 |
MOORE R J . Necrotic enteritis predisposing factors in broiler chickens[J]. Avian Pathol, 2016, 45 (3): 275- 281.
doi: 10.1080/03079457.2016.1150587 |
| 21 |
MACDONALD S E , NOLAN M J , HARMAN K , et al. Effects of Eimeria tenella infection on chicken caecal microbiome diversity, exploring variation associated with severity of pathology[J]. PLoS One, 2017, 12 (9): e0184890.
doi: 10.1371/journal.pone.0184890 |
| 22 | CHANG C L T , CHUNG C Y , KUO C H , et al. Beneficial effect of Bidens pilosa on body weight gain, food conversion ratio, gut bacteria and coccidiosis in chickens[J]. PLoS One, 2016, 11 (1): 141- 146. |
| 23 |
SHANDUKANI P D , TSHIDINO S C , MASOKO P , et al. Antibacterial activity and in situ efficacy of Bidens pilosa Linn and Dichrostachys cinerea Wight et Arn extracts against common diarrhoea-causing waterborne bacteria[J]. BMC Complement Altern Med, 2018, 18 (1): 171.
doi: 10.1186/s12906-018-2230-9 |
| 24 | 吴洪亚. 乳铁蛋白缓解黄曲霉毒素M1诱导的肠道物理屏障损伤的机制研究[D]. 北京: 中国农业科学院, 2023. |
| WU H Y. The mechanism of lactoferrin in alleviating intestinal physical barrier injury induced by aflatoxin M1[D]. Beijing: Chinese Academy of Agricultural Sciences, 2023. (in Chinese) | |
| 25 |
ULLUWISHEWA D , ANDERSON R C , MCNABB W C , et al. Regulation of tight junction permeability by intestinal bacteria and dietary components[J]. J Nutr, 2011, 141 (5): 769- 776.
doi: 10.3945/jn.110.135657 |
| 26 |
AL-SADI R , KHATIB K , GUO S , et al. Occludin regulates macromolecule flux across the intestinal epithelial tight junction barrier[J]. Am J Physiol Gastrointest Liver Physiol, 2011, 300 (6): G1054- G1064.
doi: 10.1152/ajpgi.00055.2011 |
| 27 |
GADDE U , OH S T , LEE Y S , et al. The effects of direct-fed microbial supplementation, as an alternative to antibiotics, on growth performance, intestinal immune status, and epithelial barrier gene expression in broiler chickens[J]. Probiotics Antimicrob Proteins, 2017, 9 (4): 397- 405.
doi: 10.1007/s12602-017-9275-9 |
| 28 | 张艳冰, 许笑, 古少鹏, 等. 柔嫩艾美耳球虫感染对雏鸡肠道紧密连接相关蛋白表达的影响[J]. 中国兽医科学, 2020, 50 (6): 746- 752. |
| ZHANG Y B , XU X , GU S P , et al. Effects of Eimeria tenella challenge on the expression of tight junction related protein in broiler chicken gut[J]. Veterinary Science in China, 2020, 50 (6): 746- 752. | |
| 29 |
GADDE U D , OH S , LEE Y , et al. RETRACTED: Dietary Bacillus subtilis-based direct-fed microbials alleviate LPS-induced intestinal immunological stress and improve intestinal barrier gene expression in commercial broiler chickens[J]. Res Vet Sci, 2017, 114, 236- 243.
doi: 10.1016/j.rvsc.2017.05.004 |
| 30 | 焦宇洲, 于江旭, 高东阳, 等. 益生菌调控肠道屏障功能预防家禽球虫病的研究进展[J]. 微生物学报, 2021, 61 (5): 1064- 1072. |
| JIAO Y Z , YU J X , GAO D Y , et al. Advances in prevention of chicken coccidiosis by probiotics regulating intestinal barrier[J]. Acta Microbiologica Sinica, 2021, 61 (5): 1064- 1072. | |
| 31 |
KHATLAB A D S , DEL VESCO A P , RODRIGUES OLIVEIRA NETO A , et al. Dietary supplementation with free methionine or methionine dipeptide improves environment intestinal of broilers challenged with Eimeria spp.[J]. J Anim Sci, 2019, 97 (12): 4746- 4760.
doi: 10.1093/jas/skz339 |
| 32 |
MEMON F U , YANG Y , LV F , et al. Effects of probiotic and Bidens pilosa on the performance and gut health of chicken during induced Eimeria tenella infection[J]. J Appl Microbiol, 2021, 131 (1): 425- 434.
doi: 10.1111/jam.14928 |
| 33 |
WAITITU S M , YITBAREK A , MATINI E , et al. Effect of supplementing direct-fed microbials on broiler performance, nutrient digestibilities, and immune responses[J]. Poult Sci, 2014, 93 (3): 625- 635.
doi: 10.3382/ps.2013-03575 |
| 34 |
ALAGBE E O , SCHULZE H , ADEOLA O . Growth performance, nutrient digestibility, intestinal morphology, cecal mucosal cytokines and serum antioxidant responses of broiler chickens to dietary enzymatically treated yeast and coccidia challenge[J]. J Anim Sci Biotechnol, 2023, 14 (1): 57.
doi: 10.1186/s40104-023-00846-z |
| 35 |
ABDEL-TAWAB H , ABDEL-BAKI A S , EL-MALLAH A M , et al. In vivo and in vitro anticoccidial efficacy of Astragalus membranaceus against Eimeria papillata infection[J]. J King Saud Univ Sci, 2020, 32 (3): 2269- 2275.
doi: 10.1016/j.jksus.2020.03.016 |
| 36 | 梁友萍, 房春林, 古小彬. 中草药防治鸡球虫病的研究概况[J]. 动物医学进展, 2024, 45 (5): 109- 113. |
| LIANG Y P , FANG C L , GU X B . Research status of Chinese herbal medicines against chicken coccidiosis[J]. Progress in Veterinary Medicine, 2024, 45 (5): 109- 113. | |
| 37 |
王贺, 郭志廷, 李建喜, 等. 常山散对雏鸡感染柔嫩艾美耳球虫不同发育阶段的防治效果[J]. 畜牧兽医学报, 2024, 55 (3): 1278- 1289.
doi: 10.11843/j.issn.0366-6964.2024.03.039 |
|
WANG H , GUO Z T , LI J X , et al. Effect of Radix dichroa powder on the control of Eimeria tenella infection in chick at different developmental stages[J]. Acta Veterinaria et Zootechnica Sinica, 2024, 55 (3): 1278- 1289.
doi: 10.11843/j.issn.0366-6964.2024.03.039 |
|
| 38 | 李玲秀. 茶多酚与茶皂素对隐性感染球虫的肉鸡生长, 免疫力及抗氧化性能的影响[D]. 合肥: 安徽农业大学, 2014. |
| LI L X. The influence of tea polyphenols and tea saponin on growth, immunity and antioxidant ability of broilers with coccidium latent infection[D]. Hefei: Anhui Agricultural University, 2014. (in Chinese) | |
| 39 |
CHANG L Y , DI K Q , XU J , et al. Effect of natural garlic essential oil on chickens with artificially infected Eimeria tenella[J]. Vet Parasitol, 2021, 300, 109614.
doi: 10.1016/j.vetpar.2021.109614 |
| 40 | 关学敏, 张艳英, 李佩国, 等. 雏鸡感染柔嫩艾美耳球虫后血清IgG含量的动态变化[J]. 河北科技师范学院学报, 2009, 23 (4): 50- 53. |
| GUAN X M , ZHANG Y Y , LI P G , et al. Dynamic changes of immunoglobulin IgG in serum of chicks infected with Eimeria tenella[J]. Journal of Hebei Normal University of Science & Technology, 2009, 23 (4): 50- 53. | |
| 41 |
FORTUOSO B F , BALDISSERA M D , SOUZA C F , et al. Impairment of the phosphotransfer network and performance in broiler chickens experimentally infected by Eimeria spp.: The role of the oxidative stress[J]. Parasitol Int, 2019, 70, 16- 22.
doi: 10.1016/j.parint.2019.01.004 |
| 42 |
IDRIS M , ABBAS R Z , MASOOD S , et al. The potential of antioxidant rich essential oils against avian coccidiosis[J]. Worlds Poult Sci J, 2017, 73 (1): 89- 104.
doi: 10.1017/S0043933916000787 |
| 43 | KAUSHAL J , MEHANDIA S , SINGH G , et al. Catalase enzyme: Application in bioremediation and food industry[J]. Biocatal Agric Biotechnol, 2018 (16): 192- 199. |
| 44 | 杨莎莎. 氧化应激在Eimeria tenella宿主细胞线粒体调亡途径中的作用和机制[D]. 太原: 山西农业大学, 2016. |
| YANG S S. The effect and mechanism of oxidative stress on mitochondria-mediated apoptosis in Eimeria tenella host cells[D]. Taiyuan: Shanxi Agricultural University, 2016. (in Chinese) | |
| 45 |
YADAV S , TENG P Y , SOUZA DOS SANTOS T , et al. The effects of different doses of curcumin compound on growth performance, antioxidant status, and gut health of broiler chickens challenged with Eimeria species[J]. Poult Sci, 2020, 99 (11): 5936- 5945.
doi: 10.1016/j.psj.2020.08.046 |
| 46 |
ABDELHADY A Y , EL-SAFTY S A , HASHIM M , et al. Comparative evaluation of single or combined anticoccidials on performance, antioxidant status, immune response, and intestinal architecture of broiler chickens challenged with mixed Eimeria species-ScienceDirect[J]. Poult Sci, 2021, 100 (6): 101162.
doi: 10.1016/j.psj.2021.101162 |
| 47 |
ZHENG Y W , ZHANG J Y , ZHOU H B , et al. Effects of dietary pyrroloquinoline quinone disodium supplementation on inflammatory responses, oxidative stress, and intestinal morphology in broiler chickens challenged with lipopolysaccharide[J]. Poult Sci, 2020, 99 (11): 5389- 5398.
doi: 10.1016/j.psj.2020.08.007 |
| [1] | SHAN Yige, LIU Yongning, ZHOU Shuang, LIU Qianlin, LI Yilin, DUAN Sizhang, AN Jian, ZHANG Jianjun. Prokaryotic Expression and Immune Efficacy Evaluation of RON2L2ecto Protein from Eimeria tenella [J]. Acta Veterinaria et Zootechnica Sinica, 2025, 56(11): 5649-5659. |
| [2] | ZHANG Beiwen, LI Hongxi, WENG Chengzhen, HUANG Xinxin, LI Xiaobing, QIU Longxin, CHEN Hongbo. The Mechanism of Bidens pilosa L. in the Treatment of Bacterial Diarrhea in Poultry based on Network Pharmacological Analysis and Experimental Verification [J]. Acta Veterinaria et Zootechnica Sinica, 2025, 56(11): 5683-5696. |
| [3] | WANG Lele, WANG Liyue, CAI Weimin, KANG Xilong, FENG Qianqian, ZHANG Zhizhi, FAN Xuelian, ZHU Yu, LIU Dandan, XU Jinjun, PAN Zhiming, TAO Jianping. Immunoprotective Efficacy of Recombinant Protein rEnApiAP2 against Coccidia in Chicken [J]. Acta Veterinaria et Zootechnica Sinica, 2024, 55(4): 1716-1727. |
| [4] | WANG He, GUO Zhiting, LI Jianxi, ZHANG Jingyan, WANG Lei, ZHANG Kang, SUN Jiwen, SHANG Xiaofen, MA Yonghua. Effect of Radix dichroa Powder on the Control of Eimeria tenella Infection in Chick at Different Developmental Stages [J]. Acta Veterinaria et Zootechnica Sinica, 2024, 55(3): 1278-1289. |
| [5] | Junli NI, Xinchao LIU, Dong SUN, Siyun FANG, Dingai WANG, Hanqin SHEN, Zhuanqiang YAN, Nanshan QI, Mingfei SUN, Youfang GU. Construction, Expression and Preliminary Functional Analysis of the Eukaryotic Plasmid ET Seven, a 7-valent Multiepitope Chimeric Recombinant Antigen of Chicken Coccidia [J]. Acta Veterinaria et Zootechnica Sinica, 2024, 55(11): 5159-5172. |
| [6] | JIAO Yuzhou, YANG Huanhuan, LU Yao, SHI Congcong, XU Xiaojuan, CAI Xuwang. Effect of Enterococcus faecium on Growth Performance and Intestinal Barrier of Broilers Infected with Eimeria tenella [J]. Acta Veterinaria et Zootechnica Sinica, 2022, 53(4): 1210-1219. |
| [7] | LIANG Shanshan, ZHU Shunhai, ZHAO Qiping, HUANG Bing, DONG Hui, YU Yu, WANG Qingjie, YU Shuilan, WANG Haixia, HAN Hongyu. Preliminary Study on the Function of Elongation Factor 1α of Eimeria tenella [J]. Acta Veterinaria et Zootechnica Sinica, 2020, 51(12): 3111-3121. |
| [8] | JIANG Sha, WU Xiaoling, QIU Yan, LU Ju, FU Jinbao. Effects of Different Beak-Trimming Methods on Growth Performance and Immune Function in Chicks [J]. Acta Veterinaria et Zootechnica Sinica, 2019, 50(12): 2545-2553. |
| [9] | ZHANG Jin, LI Qinghe, ZHENG Maiqing, LIU Ranran, CUI Huanxian, WEN Jie, ZHAO Guiping. Analysis of Regulatory T Cells Changes in Chicks Infected with Salmonella [J]. ACTA VETERINARIA ET ZOOTECHNICA SINICA, 2019, 50(11): 2302-2308. |
| [10] | LUAN Ya-nan,GE Ming,LI Guang-xing,XIE Wan-qiu,YANG Gui-jun,ZHANG Rui-li. The Expression and Location of chMDA5 in Chick Immune Organs [J]. ACTA VETERINARIA ET ZOOTECHNICA SINICA, 2016, 47(7): 1480-1487. |
| [11] | YU Zhi-qiang,ZHOU Ying,ZHENG Shi-min. Development of Ulcerative Colitis Models Induced by 2,4,6-trinitrobenzene Sulfonic Acid in Chicks [J]. ACTA VETERINARIA ET ZOOTECHNICA SINICA, 2015, 46(9): 1686-1691. |
| [12] | TANG Juan,XIAO Ke,ZHENG Xin-ting,ZHU Dai-yun,WANG Wei,WANG Jing,YANG Zhi,SUN Peng-peng,WANG Yan-hong,WANG Xiao-yi,PENG Ke-mei. Effect of Boric Acid on the Morphology of African Ostrich Chicks Lung [J]. ACTA VETERINARIA ET ZOOTECHNICA SINICA, 2015, 46(12): 2291-2298. |
| [13] | ZHU Dai-yun, WANG Lei, CHEN Min, ZHENG Xin-ting, PENG Ke-mei. Effect of Additional Boron on Tibias Osteogenesis of African Ostrich Chicks [J]. ACTA VETERINARIA ET ZOOTECHNICA SINICA, 2013, 44(9): 1462-1467. |
| [14] | LIU Yong-Xiang, YANG Jian-Ping, JIANG Dong-Feng, LIU Yan-Li, XU Qiu-Liang. Effects of Dietary Conjugated Linoleic Acid on the Duodenumal Mucosal Immunity Response and Lipid Peroxidation of Broiler Chicks Infected with E.aceruvlina [J]. ACTA VETERINARIA ET ZOOTECHNICA SINICA, 2012, 43(9): 1463-1470. |
| [15] | TANG Li;WEI Lan;PENG Kemei;CHEN Zhengli;FANG Jing;DENG Tianhuai;PAN Kangcheng;HE Min. Effect of Newcastle Disease Viruses on Morphology and the GABA Expression of Hypothalamus-pituitary-adrenocortical Axis in Ostrich Chicks [J]. ACTA VETERINARIA ET ZOOTECHNICA SINICA, 2011, 42(10): 1426-1431. |
| Viewed | ||||||
|
Full text |
|
|||||
|
Abstract |
|
|||||