

Acta Veterinaria et Zootechnica Sinica ›› 2025, Vol. 56 ›› Issue (11): 5758-5769.doi: 10.11843/j.issn.0366-6964.2025.11.033
• Preventive Veterinary Medicine • Previous Articles Next Articles
GUO Sen(
), LI Huixin, HAN Zongxi, SUN Junfeng*(
), XIA Changyou*(
)
Received:2025-02-06
Online:2025-11-23
Published:2025-11-27
Contact:
SUN Junfeng, XIA Changyou
E-mail:guosen333@126.com;sunjunfeng@caas.cn;xiachangyou@caas.cn
CLC Number:
GUO Sen, LI Huixin, HAN Zongxi, SUN Junfeng, XIA Changyou. Expression and Immunogenicity Analysis of the Fusion Protein Composed of IBV S1 Protein Neutralizing Epitope and Avian IgY Fc Fragment[J]. Acta Veterinaria et Zootechnica Sinica, 2025, 56(11): 5758-5769.
Table 1
B cell neutralizing epitopes of IBV S1 protein that have been reported"
| 毒株(登录号) Virus (Accession Number) | 中和表位序列 Neutralizing epitope sequences | S1蛋白中位置 Position in S1 protein | 参考文献 References |
| D207 (CAA41067.1) | NTYVYYYQSALRPPNGWHLQGGAYAVVNSTNYTN NAGSAEH CTVGV | 24—61 | [ |
| IRISAMKNGTLFYNLTVS FHLYQTQTAQSGYYNFNLSFLSQFVYKASDFMYGSYH | 132—149 | ||
| PSCSFRPETINSGLWFNSLSVSLAYGPLQGGCKQSVFSGR ATCCYAYSYNGPIACKGVYAGELQTNFECGL | 291—398 | ||
| VTSCPYVSYGRFCIEPDGSLKM | 546—567 | ||
| Australian T strain (AY775779.1) | NYVYYYQSAFRPSGGWHLHGGAYAVVNVSQETSNAGS | 25—61 | [ |
| RIAAMKQGGNGPSDLFY | 134—150 | ||
| QTYQTQTAQSGYYNFNFSFLSGFVYKEFNFMYGSYHPK CNFRPENINNGLWFNSLSVSLAYGPLQGGCKQSVFHGRATCC YAYSYLGPRLCKGVYSGELTQQFECG | 298—404 | ||
| SAIBk (DQ288927) | DNYVYYYQSAFRPPNGWHLQGGAYAVVNSINKTNNAGAASECS VGVPFNYTNGNDVGYNNSASSVAMTAPLPGMSWSRTQFCTAH CNFSDFTVFVTHCFANSCPLTGRIEANHIRISAMRNGSLFYN | 24—150 | [ |
| QGGVQSILTYQTQTAQSGYYNFNLSFLSSFVYKESDYMYGSYHP ACNFRLETINNGLWFNSLSVSLAYGPLQGGCKQSVFSSRATCCYA YSYNGPRACKGVYAGELRQNFE | 290—400 | ||
| STSENVTSCPYVSYGRFCIQPDGSIKQIVPQELENFVAPL LNVTENVLIPNSFNLTVTDEYIQTR | 544—608 | ||
| M41 (DQ834384.1) | SVYLNGDLVYTSNETTDVTSAGVYFKAGGPITYKVMREVKA LAYFVNGTAQDVILCDGSPRGLLACQYNTGNFSDGFYPFIN | 166—247 | [ |
| SGGKLVGILTSRNET | 501—515 | ||
| NCPYVSYGKFCIKPDGSIATIVP | 545—567 | ||
| YTSNETTDVTS | 175—185 | [ | |
| IQTATEP | 409—415 | [ | |
| TAPSSGMALSSSQFCT | 84—99 | ||
| DSSSYVYYYQSAFRPPNGWHLHGGAYAVVN | 22—51 | ||
| VicS (U29519.1) | QYNTGNFSDGLYPFTN | 245—260 | [ |
| NCPYVSYGKFCIKPDGSIST | 566—584 | ||
| SGGKLVGILTSRNET | 518—532 | ||
| GSQAIENQFYIKLTNGS | 532—537 | ||
| QX(L1138) (KY933090.1) | YVYYYQSAFRPPNGWHLQGGAYAVVNSTN | 25—54 | [ |
| TVGVIKDVYNQSVASI | 67—82 | ||
| AY837465 | AMTVPPAGMSWSVS | 83—96 | |
| M41-CK(Mass) (MK728875.1) | VNQQFVVSGGKL | 494—505 | |
| IBV-Gray (L14069.1) | GYNYGNFSDGFYPFTN | 240—255 | [ |
| QX(Sczy3) (JF732903) | PPQGMAW | 87—93 | [ |
| IQTRTEP | 412—418 | ||
| CR88121 (JN542567.1) | NETNNAGSVSDCTAGT | 54—69 | [ |
| VSNASPNSGGVD | 279—290 | ||
| HPKCNFRPENI | 328—338 | ||
| YC181031 | IQTRTEP | 416—422 | [ |
| LDTSGSIDIFVVQGEYGLTYYKVNPCEDVNQQFVVSGGKLVGIL | 465—509 | ||
| QFVVSGGNIVGMLTSRNETGSEQVENQFYVKLTNSSHRRKRSID QNVTSCSYVSYGRFCIEPDGSLKK | 504—571 |
Table 2
Primers used in this study"
| 引物 Primers | 引物序列(5′→3′) Primers sequences |
| B1-F | AAGAATTGTGCGGCCGC |
| B2-F | AAGAATTGTGCGGCCGC |
| B1-R1 | CCATGGTGGCCTCGAGCTA$\underline{{\rm{GTGGTGATGGTGATGGTG}}}$actacaaaactgtgacttagacc |
| B2-R1 | CCATGGTGGCCTCGAGCTA$\underline{{\rm{GTGGTGATGGTGATGGTG}}}$gctattggttaacttaacataaaactgg |
| B1-R2 | GGAGCCACCGCCACCAGAGCCACCACCGCCactacaaaactgtgacttagaccaag |
| B2-R2 | GGAGCCACCGCCACCAGAGCCACCACCGCCgctattggttaacttaacataaaactgg |
| CHINy-F | CTGGTGGCGGTGGCTCCGGCGGTGGTGGCTCTGCCTCTCCTACCAGCC |
| CHINy-R | CCATGGTGGCCTCGAGTTACTA$\underline{{\rm{GTGGTGATGGTGATGGTG}}}$CTTGCCTGCCTGCTTC |
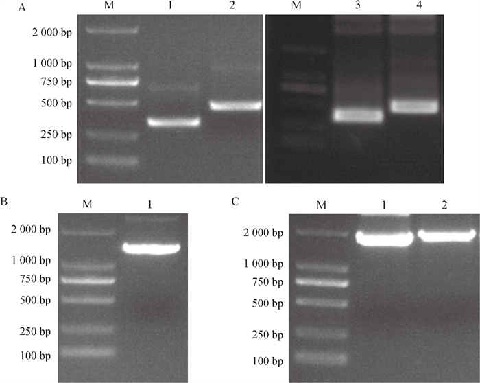
Fig. 2
Amplification of target fragments A. Amplification of the B1-His, B2-His, B1-(G4S)3 and B2-(G4S)3 fragments (M. DNA marker; 1. B1-His fragment; 2. B2-His fragment; 3. B1-(G4S)3 fragment; 4. B2-(G4S)3 fragment); B. Amplification of the (G4S)3-IgY Fc-His fragment[M. DNA marker; 1. (G4S)3-IgY Fc-His fragment]; C. Amplification of the B1-Fc-His、B2-Fc-His fragments (M. DNA marker; 1. B1-Fc-His fragment; 2. B2-Fc-His fragment)"
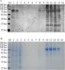
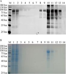
Fig. 5
Identification the purification effect of B1-Fc via Western blot(A)and SDS-PAGE(B) M. DNA marker; 1. Supernatant; 2. Flow through fluid; 3-7. 10 mmol ·L-1 imidazole wash solution; 8-9. 50 mmol ·L-1 imidazole wash solution; 10-13. 250 mmol ·L-1 imidazole wash solution; 14. Blank supernatant"
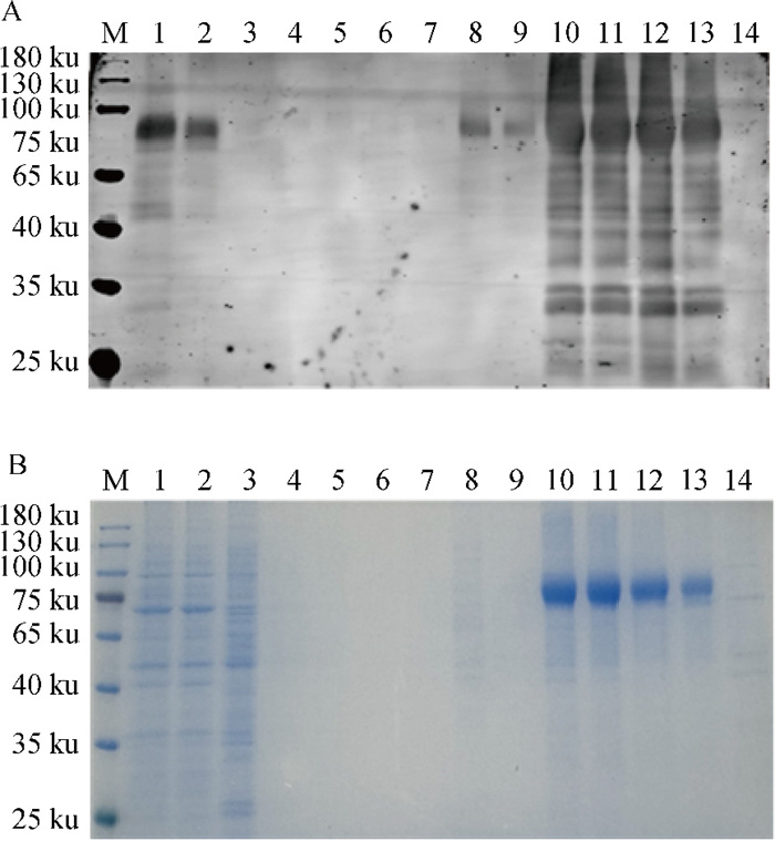
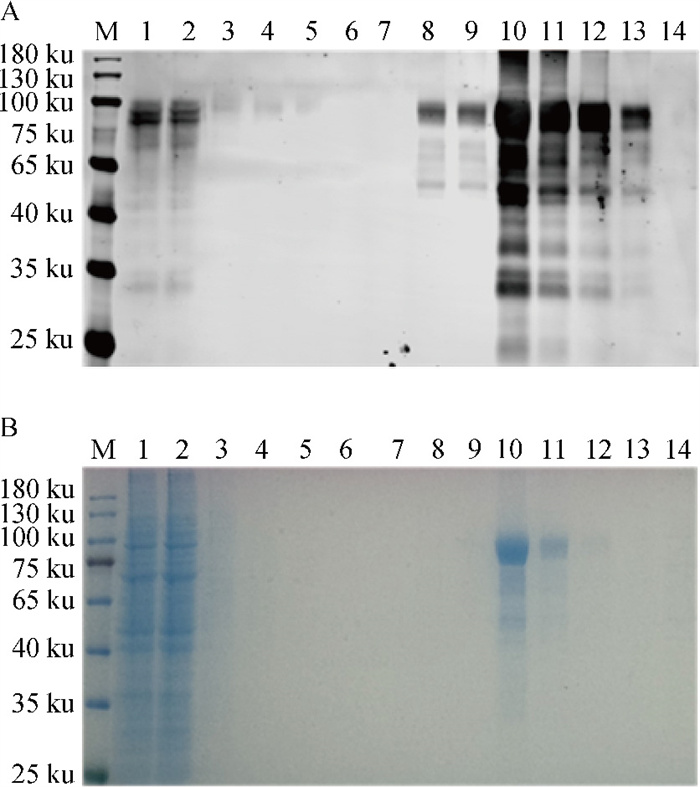
Fig. 6
Identification the purification effect of B2-Fc via Western blot(A)and SDS-PAGE(B) M. DNA marker; 1. Supernatant; 2. Flow through fluid; 3-7. 10 mmol ·L-1 imidazole wash solution; 8-9. 50 mmol ·L-1 imidazole wash solution; 10-13. 250 mmol ·L-1 imidazole wash solution; 14. Blank supernatant"
| 1 | 李慧昕,韩宗玺,刘胜旺.中国传染性支气管炎病毒的流行和疫苗[J].中国科学: 生命科学,2023,53(12):1733-1744. |
| LIH X,HANZ X,LIUS W.Epidemic and vaccine of avian infectious bronchitis virus in China[J].Scientia Sinica Vitae,2023,53(12):1733-1744. | |
| 2 |
JACKWOODM W,HALLD,HANDELA.Molecular evolution and emergence of avian gammacoronaviruses[J].Infect Genet Evol,2012,12(6):1305-1311.
doi: 10.1016/j.meegid.2012.05.003 |
| 3 | ZHANGX,GUOM,ZHAOJ,et al.Avian infectious bronchitis in China: Epidemiology, vaccination, and control[J].Avian Dis,2021,65(4):652-656. |
| 4 |
SEOS H,PEIJ,BRILESW E,et al.Adoptive transfer of infectious bronchitis virus primed alphabeta T cells bearing CD8 antigen protects chicks from acute infection[J].Virology,2000,269(1):183-189.
doi: 10.1006/viro.2000.0211 |
| 5 |
PEIJ,BRILESW E,COLLISSONE W.Memory T cells protect chicks from acute infectious bronchitis virus infection[J].Virology,2003,306(2):376-384.
doi: 10.1016/S0042-6822(02)00059-4 |
| 6 |
QINY,TENGQ,FENGD,et al.Development of a nanoparticle multiepitope DNA vaccine against virulent infectious bronchitis virus challenge[J].J Immunol,2022,208(6):1396-1405.
doi: 10.4049/jimmunol.2100909 |
| 7 | CARONL F.Etiology and immunology of infectious bronchitis virus[J].Revista Brasileira de Ciência Avícola,2010,12(2):115-119. |
| 8 | HULSWITR J,DE HAANC A,BOSCHB J.Coronavirus spike protein and tropism changes[J].Adv Virus Res,2016,96,29-57. |
| 9 |
ZHAOR,SUNJ,QIT,et al.Recombinant Newcastle disease virus expressing the infectious bronchitis virus S1 gene protects chickens against Newcastle disease virus and infectious bronchitis virus challenge[J].Vaccine,2017,35(18):2435-2442.
doi: 10.1016/j.vaccine.2017.03.045 |
| 10 |
ZHANGX,CALVERTR A,SUTTONB J,et al.IgY: a key isotype in antibody evolution[J].Biol Rev Camb Philos Soc,2017,92(4):2144-2156.
doi: 10.1111/brv.12325 |
| 11 |
BOWMANK A,KAPLONEKP,MCNAMARAR P.Understanding Fc function for rational vaccine design against pathogens[J].mBio,2024,15(1):e0303623.
doi: 10.1128/mbio.03036-23 |
| 12 |
RICHELE,WAGNERJ T,KLESSINGS,et al.Antigen-dependent modulation of immune responses to antigen-Fc fusion proteins by Fc-effector functions[J].Front Immunol,2023,14,1275193.
doi: 10.3389/fimmu.2023.1275193 |
| 13 |
ZHAOB,ZHANGX,KRUMMENACHERC,et al.Immunization with Fc-based recombinant Epstein-Barr virus gp350 elicits potent neutralizing humoral immune response in a BALB/c mice model[J].Front Immunol,2018,9,932.
doi: 10.3389/fimmu.2018.00932 |
| 14 | TOROH.Global control of infectious bronchitis requires replacing live attenuated vaccines by alternative technologies[J].Avian Dis,2021,65(4):637-642. |
| 15 |
KANTA,KOCHG,VAN ROOZELAARD J,et al.Location of antigenic sites defined by neutralizing monoclonal antibodies on the S1 avian infectious bronchitis virus glycopolypeptide[J].J Gen Virol,1992,73(3):591-596.
doi: 10.1099/0022-1317-73-3-591 |
| 16 |
TANL,WENG,YUANY,et al.Development of a recombinant thermostable Newcastle disease virus (NDV) vaccine express infectious bronchitis virus (IBV) multiple epitopes for protecting against IBV and NDV challenges[J].Vaccines,2020,8(4):564.
doi: 10.3390/vaccines8040564 |
| 17 |
TANL,ZHANGY,LIUF,et al.Infectious bronchitis virus poly-epitope-based vaccine protects chickens from acute infection[J].Vaccine,2016,34(44):5209-5216.
doi: 10.1016/j.vaccine.2016.09.022 |
| 18 |
TIANL,WANGH N,LUD,et al.The immunoreactivity of a chimeric multi-epitope DNA vaccine against IBV in chickens[J].Biochem Biophys Res Commun,2008,377(1):221-225.
doi: 10.1016/j.bbrc.2008.09.125 |
| 19 |
DINGM D,WANGH N,CAOH P,et al.Development of a multi-epitope antigen of S protein-based ELISA for antibodies detection against infectious bronchitis virus[J].Biosci Biotechnol Biochem,2015,79(8):1287-1295.
doi: 10.1080/09168451.2015.1025692 |
| 20 | BANDEF,ARSHADS S,HAIR BEJOM,et al.Prediction and in silico identification of novel B-cells and T-cells epitopes in the S1-spike glycoprotein of M41 and CR88 (793/B) infectious bronchitis virus serotypes for application in peptide vaccines[J].Adv Bioinformatics,2016,2016,5484972. |
| 21 | 彭莉,张焕东,李忠斐.禽传染性支气管炎病毒S1蛋白单克隆抗体制备及其中和抗原表位的鉴定[J].中国兽医学报,2023,43(12):2425-2431. |
| PENGL,ZHANGH D,LIZ F.Preparation of monoclonal antibody against S1 protein of avian infectious bronchitis virus and identification of its epitopes[J].Chinese Journal of Veterinary Science,2023,43(12):2425-2431. | |
| 22 |
IGNJATOVICJ,SAPATSS.Identification of previously unknown antigenic epitopes on the S and N proteins of avian infectious bronchitis virus[J].Arch Virol,2005,150(9):1813-1831.
doi: 10.1007/s00705-005-0541-x |
| 23 |
SIVESS,KEEPS,BICKERTONE,et al.Revealing novel-strain-specific and shared epitopes of infectious bronchitis virus spike glycoprotein using chemical linkage of peptides onto scaffolds precision epitope mapping[J].Viruses,2023,15(11):2279.
doi: 10.3390/v15112279 |
| 24 |
WANGL,PARRR L,KINGD J,et al.A highly conserved epitope on the spike protein of infectious bronchitis virus[J].Arch Virol,1995,140(12):2201-2213.
doi: 10.1007/BF01323240 |
| 25 |
ZOUN,XIAJ,WANGF,et al.Two novel neutralizing antigenic epitopes of the s1 subunit protein of a QX-like avian infectious bronchitis virus strain Sczy3 as revealed using a phage display peptide library[J].Vet Immun Immunopathol,2015,168(1-2):49-55.
doi: 10.1016/j.vetimm.2015.08.008 |
| 26 |
ELDEMERYF,JOINERK S,TOROH,et al.Protection against infectious bronchitis virus by spike ectodomain subunit vaccine[J].Vaccine,2017,35(43):5864-5871.
doi: 10.1016/j.vaccine.2017.09.013 |
| 27 |
LUM,DRAVIDP,ZHANGY,et al.A safe and highly efficacious measles virus-based vaccine expressing SARS-CoV-2 stabilized prefusion spike[J].Proc Natl Acad Sci U S A,2021,118(12):e2026153118.
doi: 10.1073/pnas.2026153118 |
| 28 |
ZHOUT,POUMBOURIOSP,LANGERC,et al.Enhanced stability of the SARS CoV-2 spike glycoprotein following modification of an alanine cavity in the protein core[J].PLoS Pathog,2023,19(5):e1010981.
doi: 10.1371/journal.ppat.1010981 |
| 29 |
MILLETJ K,JAIMESJ A,WHITTAKERG R.Molecular diversity of coronavirus host cell entry receptors[J].FEMS Microbiol Rev,2021,45(3):fuaa057.
doi: 10.1093/femsre/fuaa057 |
| 30 |
YOUR,LIUK,HUANGM,et al.Identification and comparison of the sialic acid-binding domain characteristics of avian coronavirus infectious bronchitis virus spike protein[J].J Virol,2023,97(5):e0048923.
doi: 10.1128/jvi.00489-23 |
| [1] | ZHAO Huiyu, LEI Yinuo, XING Qianru, ZHANG Shan, ZHANG Guangzhi, JIANG Hui, SHEN Qingchun, DING Jiabo, JIANG Shijin, FAN Xuezheng. Preparation of Clostridium perfringens α Toxin-ferritin Nanoparticle Antigens and Evaluation of Its Immunogenicity in Mice [J]. Acta Veterinaria et Zootechnica Sinica, 2025, 56(9): 4626-4637. |
| [2] | ZHAO Jingyu, LI Dan, ZHANG Bing, ZHANG Qianyi, ZHANG Jinhua, SONG Yafen, YANG Chenghuai. Genome Sequencing and Pathogenicity Analysis of Infectious Bronchitis Virus M41 Strain [J]. Acta Veterinaria et Zootechnica Sinica, 2025, 56(8): 3967-3975. |
| [3] | LIU Yuxin, CHEN Si, GAO Yang, GU Deyuan, PENG Haitao, ZHANG Dong, ZHANG Ru, XU Huihui, LIU Yaqiao, YANG Yanling. Proteomic Analysis and Immunogenicity Evaluation of Outer Membrane Vesicles of Brucella melitensis [J]. Acta Veterinaria et Zootechnica Sinica, 2025, 56(7): 3378-3389. |
| [4] | ZHAO Yunhai, ZHANG Yangyang, MA Haiyun, WANG Qing, HE Xiaoxiao, LIU Kai, ZHANG Yuting, LIU Yudong, YANG Yongning, WU Xiaochun, XING Xiaoyong, QUAN Guomei, ZHANG Zhixiong, BAO Shijun. Prokaryotic Expression and Adhesion Characteristics of Molecular Chaperone Dnak of Mycoplasma bovis [J]. Acta Veterinaria et Zootechnica Sinica, 2025, 56(6): 2868-2878. |
| [5] | ZHANG Yue, RU Yi, HAO Rongzeng, YANG Rui, ZHAO Longhe, LI Yajun, YANG Yang, ZHANG Rong, JIANG Chenghui, ZHENG Haixue. Preparation and Immunogenicity Evaluation of African Swine Fever Virus H108R Protein [J]. Acta Veterinaria et Zootechnica Sinica, 2025, 56(3): 1344-1354. |
| [6] | LEI Yinuo, ZHAO Huiyu, XING Qianru, XU Guoshun, ZHANG Guangzhi, ZHANG Shan, JIANG Hui, SHEN Qingchun, DING Jiabo, WEI Yingyi, FAN Xuezheng. Soluble Expression of Clostridium septicum Alpha Toxin Mutants and Their Immunological Evaluation in Mice [J]. Acta Veterinaria et Zootechnica Sinica, 2025, 56(10): 5148-5158. |
| [7] | ZENG Yan, OU Xianglong, YAN Xiaoyang, LIU Can, LIAO Yonghong. Prokaryotic Expression and Immunogenicity Analysis of OmpD and LppB of Actinobacillus pleuropneumoniae [J]. Acta Veterinaria et Zootechnica Sinica, 2025, 56(1): 343-352. |
| [8] | XIONG Ting, HE Xianming, ZHAO Xiya, ZHUANG Tingting, HUANG Meizhen, LIANG Shijin, YU Chuanzhao, LIANG Xuejing, CHEN Ruiai. Whole Genome Analysis of Three Predominant Epidemic Strains of Chicken Infectious Bronchitis Virus and Their Pathogenicity [J]. Acta Veterinaria et Zootechnica Sinica, 2024, 55(5): 2109-2122. |
| [9] | LÜ Yadi, YANG Jie, XIE Wenting, XU Ting, CHEN Ruiai. Construction and Evaluation of the Immune Effect of Recombinant Genotype Ⅶ NDV Strain Co-expressing Membrane-bound and Water-soluble HA Protein of Avian Influenza Virus H9N2 [J]. Acta Veterinaria et Zootechnica Sinica, 2024, 55(5): 2123-2134. |
| [10] | XU Zhenyu, DENG Xiaoyu, WANG Yueli, SUN Can, WU Aodi, CAO Jian, YI Jihai, WANG Yong, WANG Zhen, CHEN Chuangfu. Biological Characteristics of Brucella abortus A19ΔBtpA Deletion Strain and Its Immunogenicity Study [J]. Acta Veterinaria et Zootechnica Sinica, 2024, 55(5): 2135-2145. |
| [11] | YU Qisheng, ZHU Qing, ZHOU Qun, SONG Xin, ZHANG Jiaqi, CHEN Taoyun, XU Lin, ZHANG Chaohui, ZHANG Bin. Expression of BCoV Spike Protein by Baculovirus Expression System and Its Immunogenicity in Mice [J]. Acta Veterinaria et Zootechnica Sinica, 2024, 55(2): 640-648. |
| [12] | ZHANG Gaofeng, WEI Jiayang, FENG Helong, LI Li, ZENG Zhe, TIAN Guangming, NIE Renfeng, LUO Qingping, WEN Guoyuan, WEI Hongbo, SHANG Yu. Effects of Biomineralization on the Biological Characteristics and Immunogenicity of the LaSota Strain of Newcastle Disease Virus [J]. Acta Veterinaria et Zootechnica Sinica, 2024, 55(12): 5663-5671. |
| [13] | Pinghua LI, Shulun HUANG, Keqiang ZHANG, Feng LIU, Pu SUN, Dong LI, Huifang BAO, Yimei CAO, Xingwen BAI, Xueqing MA, Kun LI, Hong YUAN, Zaixin LIU, Zengjun LU. Rescue and Immunogenicity Analysis of Recombinant Foot-and-Mouth Disease Virus with the Chimera of G-H Loop Gene of the Epidemic Strain [J]. Acta Veterinaria et Zootechnica Sinica, 2024, 55(11): 5222-5229. |
| [14] | Qi ZHANG, Ningning DONG, Xiaomei TAN, Zhengwang SHI, Na LI, Wenqi ZHU, Aoxing TANG, Chuanfeng LI, Jie ZHU, Guangqing LIU, Yan SU, Chunchun MENG. Fusion Expression of African Swine Fever Virus p30 Protein and CRM197 and Evaluation of Its Immunogenicity in Mice [J]. Acta Veterinaria et Zootechnica Sinica, 2024, 55(11): 5230-5237. |
| [15] | Mei LI, Suyu MU, Hu DONG, Shuo LI, Songjia PAN, Huichen GUO, Shiqi SUN. Isolation, Purification and Immunogenicity Evaluation of Senecavirus A Intact Particle and Empty Capsid [J]. Acta Veterinaria et Zootechnica Sinica, 2024, 55(10): 4562-4570. |
| Viewed | ||||||
|
Full text |
|
|||||
|
Abstract |
|
|||||