

Acta Veterinaria et Zootechnica Sinica ›› 2025, Vol. 56 ›› Issue (9): 4626-4637.doi: 10.11843/j.issn.0366-6964.2025.09.040
• Preventive Veterinary Medicine • Previous Articles Next Articles
					
													ZHAO Huiyu1,2(
), LEI Yinuo2,3(
), XING Qianru2, ZHANG Shan2, ZHANG Guangzhi2, JIANG Hui2, SHEN Qingchun2, DING Jiabo2, JIANG Shijin1,*(
), FAN Xuezheng2,*(
)
												  
						
						
						
					
				
Received:2024-12-18
															
							
															
							
															
							
																	Online:2025-09-23
															
							
																	Published:2025-09-30
															
						Contact:
								JIANG Shijin, FAN Xuezheng   
																	E-mail:1765137226@qq.com;1229042392@qq.com;jshijin@163.com;fanxuezheng@caas.cn
																					CLC Number:
ZHAO Huiyu, LEI Yinuo, XING Qianru, ZHANG Shan, ZHANG Guangzhi, JIANG Hui, SHEN Qingchun, DING Jiabo, JIANG Shijin, FAN Xuezheng. Preparation of Clostridium perfringens α Toxin-ferritin Nanoparticle Antigens and Evaluation of Its Immunogenicity in Mice[J]. Acta Veterinaria et Zootechnica Sinica, 2025, 56(9): 4626-4637.
Table 1
Primer Sequences"
| 基因名称 Gene name  |  引物名称 Primer name  |  引物序列(5′→3′) Primer sequence(5′→3′)  |  
| α | α-F | GCAGCAGCCATCATCATCATCATCACTGGGA$\underline{{\rm{TGGAAAGAT}}}$ | 
| α-R | CTCAGCTTCCTTTCGGGCTTTGTTA$\underline{{\rm{TTATTTTATATTATAAG}}}$ | |
| αm2 | αm2-F | $\underline{{\rm{TAAGAATGCATATGATCTATATC}}}$AAGATGGTTTCTGGGATCCTG | 
| αm2-R | $\underline{{\rm{GATATAGATCATATGCATTCTTATC}}}$ATAACCTGGATAAGTAGAACC | |
| αm2ST | α-ST-F | GTGGTGGTGGCAGTGCACATATTGTTATGGTTGATGCGTATAAACCGACAAAA $\underline{{\rm{TAATAACAAAGCCCG}}}$  |  
| α-ST-R | CACTACCACCGCCACCGCTACCACCACCACC $\underline{{\rm{TTTTATATTATAAGTTGAATTTCCTGAAATCCACTC}}}$  |  
Fig. 2
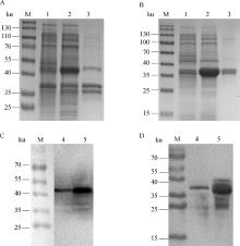
The expression and identification of αm2ST and FeSC a. The identification of αm2ST by SDS-PAGE; b. The identification of FeSC by SDS-PAGE; c. The identification of αm2ST by Western blot; d. The identification of FeSC by Western blot; M. Protein marker; 1. The bacterial lysates without induction; 2. The supernatant of bacterial lysates induced with IPTG; 3. The precipitate of bacterial lysates induced with IPTG; 4. The precipitate of bacterial lysates induced with IPTG; 5. The supernatant of bacterial lysates induced with IPTG"
														Fig. 3
The purification of FeSC and αm2ST A. The SDS-PAGE figure of purified FeSC; B. The SDS-PAGE figure of purified αm2ST; M. Protein marker; 1. The supernatant before purification; 2. The flow-through solution; 3. The eluent product (20 mmol ·L-1 imidazole); 4. The eluent product (40 mmol ·L-1 imidazole); 5-10. The eluent product (250 mmol ·L-1 imidazole)"
														Fig. 7
The identification of αm2-Fe nanoparticles A. Identification of αm2-Fe docking product by SDS-PAGE (M.Protein marker; 1. αm2-Fe and FeSC docking product; 2. FeSC; 3. αm2ST); B. αm2-Fe nanoparticles oberved under transmission electron micrography; C. Dynamic light scattering diagram of αm2-Fe nanoparticles"
														| 1 |  
											UZALF A,FREEDMANJ C,SHRESTHAA,et al.Towards an understanding of the role of Clostridium perfringens toxins in human and animal disease[J].Future Microbiol,2014,9(3):361-377.
																							 doi: 10.2217/fmb.13.168  | 
										
| 2 |  
											OHTANIK,SHIMIZUT.Regulation of toxin production in Clostridium perfringens[J].Toxins (Basel),2016,8(7):207.
																							 doi: 10.3390/toxins8070207  | 
										
| 3 |  
											SUZAKIA,HAYAKAWAS.Clinical and microbiological features of fulminant haemolysis caused by Clostridium perfringens bacteraemia: unknown pathogenesis[J].Microorganisms,2023,11(4):824.
																							 doi: 10.3390/microorganisms11040824  | 
										
| 4 |  
											SANTOSR,ABDEL-NOURJ,MCAULEYC,et al.Clostridium perfringens associated with dairy farm systems show diverse genotypes[J].Int J Food Microbiol,2022,382,109933.
																							 doi: 10.1016/j.ijfoodmicro.2022.109933  | 
										
| 5 |  
											TIANR,XUS,LIP,et al.Characterization of G-type Clostridium perfringens bacteriophages and their disinfection effect on chicken meat[J].Anaerobe,2023,81,102736.
																							 doi: 10.1016/j.anaerobe.2023.102736  | 
										
| 6 |  
											KAWAMURAT,PRAHI,MAHAZUS,et al.Types A and F Clostridium perfringens in healthcare wastewater from Ghana[J].Appl Environ Microbiol,2023,89(12):e0161923.
																							 doi: 10.1128/aem.01619-23  | 
										
| 7 |  
											LEED,JANGG,MINK C,et al.Coinfection with porcine epidemic diarrhea virus and Clostridium perfringens type A enhances disease severity in weaned pigs[J].Arch Virol,2023,168(6):166.
																							 doi: 10.1007/s00705-023-05798-3  | 
										
| 8 |  
											LUR,LIUB,WUL,et al.A broad-spectrum phage endolysin (LysCP28) able to remove biofilms and inactivate Clostridium perfringens strains[J].Foods,2023,12(2):411.
																							 doi: 10.3390/foods12020411  | 
										
| 9 |  
											MCDONELJ L.Clostridium perfringens toxins (type A, B, C, D, E)[J].Pharmacol Ther,1980,10(3):617-655.
																							 doi: 10.1016/0163-7258(80)90031-5  | 
										
| 10 |  
											ROODJ I,ADAMSV,LACEYJ,et al.Expansion of the Clostridium perfringens toxin-based typing scheme[J].Anaerobe,2018,53,5-10.
																							 doi: 10.1016/j.anaerobe.2018.04.011  | 
										
| 11 |  
											OUL,YEB,SUNM,et al.Mechanisms of intestinal epithelial cell damage by Clostridium perfringens[J].Anaerobe,2024,87,102856.
																							 doi: 10.1016/j.anaerobe.2024.102856  | 
										
| 12 |  
											MEHDIZADEH GOHARII,A NAVARROM,LIJ,et al.Pathogenicity and virulence of Clostridium perfringens[J].Virulence,2021,12(1):723-753.
																							 doi: 10.1080/21505594.2021.1886777  | 
										
| 13 | UZALF A,GIANNITTIF,ASINJ.Yellow lamb disease (Clostridium perfringens type A enterotoxemia of sheep): A Review[J].Animals (Basel),2022,12(12):1590. | 
| 14 |  
											JIANGY F,MAY H,LIUQ Q,et al.Tracing Clostridium perfringens strains from beef processing of slaughter house by pulsed-field gel electrophoresis, and the distribution and toxinotype of isolates in Shaanxi province, China[J].Food Microbiol,2022,101,103887.
																							 doi: 10.1016/j.fm.2021.103887  | 
										
| 15 |  
											MOREIRAG M,SALVARANIF M,CUNHAC E,et al.Immunogenicity of a trivalent recombinant vaccine against Clostridium perfringens alpha, beta, and epsilon toxins in farm ruminants[J].Sci Rep,2016,6,22816.
																							 doi: 10.1038/srep22816  | 
										
| 16 | SMITHL A.Botulism and vaccines for its prevention[J].Vaccine,2009,27(4):D33-D39. | 
| 17 |  
											LANIGANT M,KOPERAH C,SAUNDERST L.Principles of genetic engineering[J].Genes (Basel),2020,11(3):291.
																							 doi: 10.3390/genes11030291  | 
										
| 18 |  
											邬沛伶,李依璇,王浩杰,等.猪流行性腹泻疫苗研究进展[J].畜牧兽医学报,2025,56(3):1042-1058.
																							 doi: 10.11843/j.issn.0366-6964.2025.03.007  | 
										
|  
											WUP L,LIY X,WANGH J,et al.Research progress of porcine epidemic diarrhea vaccine for pigs[J].Acta Veterinaria et Zootechnica Sinica,2025,56(3):1042-1058.
																							 doi: 10.11843/j.issn.0366-6964.2025.03.007  | 
										|
| 19 |  
											EVERSM J W,VAN DE WAKKERS I,DE GROOTE M,et al.Functional siRNA delivery by extracellular vesicle-Liposome hybrid nanoparticles[J].Adv Healthc Mater,2022,11(5):e2101202.
																							 doi: 10.1002/adhm.202101202  | 
										
| 20 |  
											HOJ K,JEEVAN-RAJB,NETTERH J.Hepatitis B virus (HBV) subviral particles as protective vaccines and vaccine platforms[J].Viruses,2020,12(2):126.
																							 doi: 10.3390/v12020126  | 
										
| 21 |  
											YUJ,THOMASP V,SCIACCAM,et al.Ad26.COV2.S and SARS-CoV-2 spike protein ferritin nanoparticle vaccine protect against SARS-CoV-2 Omicron BA.5 challenge in macaques[J].Cell Rep Med,2023,4(4):101018.
																							 doi: 10.1016/j.xcrm.2023.101018  | 
										
| 22 |  
											HANJ A,KANGY J,SHINC,et al.Ferritin protein cage nanoparticles as versatile antigen delivery nanoplatforms for dendritic cell(DC)-based vaccine development[J].Nanomedicine,2014,10(3):561-569.
																							 doi: 10.1016/j.nano.2013.11.003  | 
										
| 23 |  
											李志鹏,刘福航,崔奎青,等.铁蛋白Ferritin原核表达和纯化及纳米颗粒胞外自组装[J].畜牧兽医学报,2018,49(1):75-82.
																							 doi: 10.11843/j.issn.0366-6964.2018.01.009  | 
										
|  
											LIZ P,LIUF H,CUIK Q,et al.Prokaryotic expression and purification of ferritin and nano-particles self-assembling in vitro[J].Acta Veterinaria et Zootechnica Sinica,2018,49(1):75-82.
																							 doi: 10.11843/j.issn.0366-6964.2018.01.009  | 
										|
| 24 |  
											BHUSHANB,KUMARS U,MATAII,et al.Ferritin nanocages: a novel platform for biomedical applications[J].J Biomed Nanotechnol,2014,10(10):2950-2976.
																							 doi: 10.1166/jbn.2014.1980  | 
										
| 25 |  
											LIZ,CUIK,HUANGK,et al.Self assembling rotavirus VP6 nanoparticle vaccines expressed in Escherichia coli elicit systemic and mucosal responses in mice[J].Protein Pept Lett,2019,26(12):904-909.
																							 doi: 10.2174/0929866526666190820161328  | 
										
| 26 |  
											NAKAMURAM,CROSSW R.The lecithinase (alpha toxin) activity of strains of Clostridium perfringens[J].Proc Soc Exp Biol Med,1968,127(3):719-722.
																							 doi: 10.3181/00379727-127-32783  | 
										
| 27 | 谢磊. 抑食金球藻(秦皇岛株)细胞毒性及溶血活性研究[D]. 广州: 暨南大学, 2018. | 
| XIE L. Cytotoxic effect and hemolytic characteristic of Aureococcus anophagefferens (Qinhangdao strain)[D]. Guangzhou: Jinan University, 2018. (in Chinese) | |
| 28 |  
											PERTMERT M,ROBERTST R,HAYNESJ R.Influenza virus nucleoprotein-specific immunoglobulin G subclass and cytokine responses elicited by DNA vaccination are dependent on the route of vector DNA delivery[J].J Virol,1996,70(9):6119-6125.
																							 doi: 10.1128/jvi.70.9.6119-6125.1996  | 
										
| 29 |  
											JEWELLS A,TITBALLR W,HUYETJ,et al.Clostridium perfringens α-toxin interaction with red cells and model membranes[J].Soft Matter,2015,11(39):7748-7761.
																							 doi: 10.1039/C5SM00876J  | 
										
| 30 |  
											HUJ,CLADELN M,CHRISTENSENN D.Increased immunity to cottontail rabbit papillomavirus infection in EIII/JC inbred rabbits after vaccination with a mutant E6 that correlates with spontaneous regression[J].Viral Immunol,2007,20(2):320-325.
																							 doi: 10.1089/vim.2006.0104  | 
										
| 31 |  
											NAGAHAMAM,NAKAYAMAT,MICHIUEK,et al.Site-specific mutagenesis of Clostridium perfringens alpha-toxin: replacement of Asp-56, Asp-130, or Glu-152 causes loss of enzymatic and hemolytic activities[J].Infect Immun,1997,65(8):3489-3492.
																							 doi: 10.1128/iai.65.8.3489-3492.1997  | 
										
| 32 |  
											NAGAHAMAM,OKAGAWAY,NAKAYAMAT,et al.Site-directed mutagenesis of histidine residues in Clostridium perfringens alpha-toxin[J].J Bacteriol,1995,177(5):1179-1185.
																							 doi: 10.1128/jb.177.5.1179-1185.1995  | 
										
| 33 | ZAKERIB,FIERERJ O,CELIKE,et al.Peptide tag forming a rapid covalent bond to a protein, through engineering a bacterial adhesin[J].Proc Natl Acad Sci U S A,2012,109(12):E690-E697. | 
| 34 | 赵晓军,王美玲,段跃强,等.重组产气荚膜梭菌α毒素对家兔的安全性和免疫效力评价[J].中国预防兽医学报,2023,45(4):429-433. | 
| ZHAOX J,WANGM L,DUANY Q,et al.Safety andimmune efficacy of recombinant Clostridium perfringens α-toxin in rabbit[J].Chinese Journal of Preventive Veterinary Medicine,2023,45(4):429-433. | |
| 35 |  
											杜吉革,朱真,薛麒,等.产气荚膜梭菌重组ε毒素突变体的免疫保护力评价[J].畜牧兽医学报,2018,49(4):777-785.
																							 doi: 10.11843/j.issn.0366-6964.2018.04.015  | 
										
|  
											DUJ G,ZHUZ,XUEQ,et al.Evaluation of protective efficacy of recombinant mutant of Clostridium perfringens ε toxin[J].Acta Veterinaria et Zootechnica Sinica,2018,49(4):777-785.
																							 doi: 10.11843/j.issn.0366-6964.2018.04.015  | 
										|
| 36 |  
											KANGY F,SUNC,ZHUANGZ,et al.Rapid development of SARS-CoV-2 spike protein receptor-binding domain self-assembled nanoparticle vaccine candidates[J].ACS Nano,2021,15(2):2738-2752.
																							 doi: 10.1021/acsnano.0c08379  | 
										
| 37 |  
											MAASSENC B,BOERSMAW J,VAN HOLTEN-NEELENC,et al.Growth phase of orally administered Lactobacillus strains differentially affects IgG1/IgG2a ratio for soluble antigens: implications for vaccine development[J].Vaccine,2003,21(21-22):2751-2757.
																							 doi: 10.1016/S0264-410X(03)00220-2  | 
										
| 38 |  
											TANGX,YUW,SHENL,et al.Conjugation with 8-arm PEG and CRM (197) enhances the immunogenicity of SARS-CoV-2 ORF8 protein[J].Int Immunopharmacol,2022,109,108922.
																							 doi: 10.1016/j.intimp.2022.108922  | 
										
| 39 |  
											YENYUWADEES,SANCHEZ-TRINCADO LOPEZJ L,SHAHR,et al.The evolving role of tissue-resident memory T cells in infections and cancer[J].Sci Adv,2022,8(33):eabo5871.
																							 doi: 10.1126/sciadv.abo5871  | 
										
| [1] | WANG Yanbo, ZHANG Xiaomeng, JING Xiujuan, FENG Xiaoyi, ZHANG Yuanqing, ZHAO Xueming. Advances in Nanoparticle Applications for Animal Germplasm Cryopreservation [J]. Acta Veterinaria et Zootechnica Sinica, 2025, 56(9): 4156-4164. | 
| [2] | LI Huimin, LEI Mingkai, RUAN Shengnan, LI Panpan, LI Wentao, HE Qigai. Establishment of Fluorescent Microsphere Immunochromatographic Assay for Porcine Epidemic Diarrhea Virus Antigen Detection [J]. Acta Veterinaria et Zootechnica Sinica, 2025, 56(9): 4572-4580. | 
| [3] | ZENG Shengxin, SONG Chengqi, SHEN Kaiyuan, HAO Guoxin, WANG Yakun, WANG Xin, WANG Xiaoxu, LIU Zhijie, LIU Yongbo, LIU Yongsheng, YANG Shunli, FU Zhixin. Isolation, Identification of a Deer Clostridium perfringens and Pathogenicity Analysis in Mouse [J]. Acta Veterinaria et Zootechnica Sinica, 2025, 56(8): 3976-3984. | 
| [4] | LIU Yuxin, CHEN Si, GAO Yang, GU Deyuan, PENG Haitao, ZHANG Dong, ZHANG Ru, XU Huihui, LIU Yaqiao, YANG Yanling. Proteomic Analysis and Immunogenicity Evaluation of Outer Membrane Vesicles of Brucella melitensis [J]. Acta Veterinaria et Zootechnica Sinica, 2025, 56(7): 3378-3389. | 
| [5] | ZHAO Yunhai, ZHANG Yangyang, MA Haiyun, WANG Qing, HE Xiaoxiao, LIU Kai, ZHANG Yuting, LIU Yudong, YANG Yongning, WU Xiaochun, XING Xiaoyong, QUAN Guomei, ZHANG Zhixiong, BAO Shijun. Prokaryotic Expression and Adhesion Characteristics of Molecular Chaperone Dnak of Mycoplasma bovis [J]. Acta Veterinaria et Zootechnica Sinica, 2025, 56(6): 2868-2878. | 
| [6] | JIA Qiong, GAO Shuaipeng, XIU Yanyu, REN Hongrui, ZHANG Shuyin, YANG Haoyu, FAN Ruiwen. Establishment of Double-antibody Sandwich ELISA Method Based on the Specifiec Nanobody against Clostridium Perfringens β Toxin [J]. Acta Veterinaria et Zootechnica Sinica, 2025, 56(6): 2906-2916. | 
| [7] | LIN Xinyi, JIANG Xinyu, SU Zinuo, WANG Yuling, RUAN Shiyu, HONG Hailong, WU Jiahao, BO Ruonan. Study on Preparation and the Mucosal Immune Adjuvant Activity of Ultra-Large Mesoporous Silica Nanoparticles Loading Polysaccharide from Atractylodes macrocephala Koidz [J]. Acta Veterinaria et Zootechnica Sinica, 2025, 56(5): 2507-2519. | 
| [8] | TAN Juanjuan, YANG Beiying, WU Qianyue, HUA Huiying, CAO Huabin, YAN Hui, ZHANG Jinhua. Diversity Analysis of Wild Boar Flora in Jiangxi Region and the Isolation and Identification of Clostridium perfringens Carried by Wild Boar [J]. Acta Veterinaria et Zootechnica Sinica, 2025, 56(4): 1876-1886. | 
| [9] | ZHANG Yue, RU Yi, HAO Rongzeng, YANG Rui, ZHAO Longhe, LI Yajun, YANG Yang, ZHANG Rong, JIANG Chenghui, ZHENG Haixue. Preparation and Immunogenicity Evaluation of African Swine Fever Virus H108R Protein [J]. Acta Veterinaria et Zootechnica Sinica, 2025, 56(3): 1344-1354. | 
| [10] | ZENG Yan, OU Xianglong, YAN Xiaoyang, LIU Can, LIAO Yonghong. Prokaryotic Expression and Immunogenicity Analysis of OmpD and LppB of Actinobacillus pleuropneumoniae [J]. Acta Veterinaria et Zootechnica Sinica, 2025, 56(1): 343-352. | 
| [11] | Hongxu DU, Lijuan SU, Zhengke HE, Xiaoyan TAN, Xu ZHANG, Qi MA, Liting CAO, Hongwei CHEN, Ling GAN. Study on the in vitro Antioxidant and Intestinal Flora Modulating Effects of Schisandra Chinensis Polysaccharides-selenium Nanoparticles [J]. Acta Veterinaria et Zootechnica Sinica, 2024, 55(7): 3234-3245. | 
| [12] | LÜ Yadi, YANG Jie, XIE Wenting, XU Ting, CHEN Ruiai. Construction and Evaluation of the Immune Effect of Recombinant Genotype Ⅶ NDV Strain Co-expressing Membrane-bound and Water-soluble HA Protein of Avian Influenza Virus H9N2 [J]. Acta Veterinaria et Zootechnica Sinica, 2024, 55(5): 2123-2134. | 
| [13] | XU Zhenyu, DENG Xiaoyu, WANG Yueli, SUN Can, WU Aodi, CAO Jian, YI Jihai, WANG Yong, WANG Zhen, CHEN Chuangfu. Biological Characteristics of Brucella abortus A19ΔBtpA Deletion Strain and Its Immunogenicity Study [J]. Acta Veterinaria et Zootechnica Sinica, 2024, 55(5): 2135-2145. | 
| [14] | TIAN Rui, XU Sixiang, XIE Feng, LIU Guangjin, WANG Gang, LI Qingxia, DAI Lei, XIE Guoxin, ZHANG Qiongwen, LU Yajing, WANG Guangwen, WANG Jinxiu, ZHANG Wei. Bioinformatics Analysis of the Genome of Clostridium perfringens Isolated from Cattle [J]. Acta Veterinaria et Zootechnica Sinica, 2024, 55(4): 1707-1715. | 
| [15] | YU Qisheng, ZHU Qing, ZHOU Qun, SONG Xin, ZHANG Jiaqi, CHEN Taoyun, XU Lin, ZHANG Chaohui, ZHANG Bin. Expression of BCoV Spike Protein by Baculovirus Expression System and Its Immunogenicity in Mice [J]. Acta Veterinaria et Zootechnica Sinica, 2024, 55(2): 640-648. | 
| Viewed | ||||||
| 
										Full text | 
									
										 | 
								|||||
| 
										Abstract | 
									
										 | 
								|||||