Acta Veterinaria et Zootechnica Sinica ›› 2025, Vol. 56 ›› Issue (10): 5148-5158.doi: 10.11843/j.issn.0366-6964.2025.10.034

• Preventive Veterinary Medicine • Previous Articles     Next Articles

Soluble Expression of Clostridium septicum Alpha Toxin Mutants and Their Immunological Evaluation in Mice

LEI Yinuo1,2(), ZHAO Huiyu2,3(), XING Qianru2, XU Guoshun2, ZHANG Guangzhi2, ZHANG Shan2, JIANG Hui2, SHEN Qingchun2, DING Jiabo2, WEI Yingyi1,*(), FAN Xuezheng2,*()   

  1. 1. College of Animal Science and Technology, Guangxi University/Guangxi Key Laboratory of Animal Breeding, Disease Control and Prevention, Nanning, Guangxi 530004
    2. Institute of Animal Sciences of Chinese Academy of Agricultural Sciences, Beijing 100193
    3. Shandong Agricultural University, Tai′an 271000
  • Received:2024-12-17 Online:2025-10-23 Published:2025-11-01
  • Contact: WEI Yingyi, FAN Xuezheng E-mail:1229042392@qq.com;1765137226@qq.com;weiyingyi@gxu.edu.cn;fanxuezheng@caas.cn

Abstract:

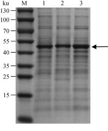
This study aims to obtain soluble and highly immunogenic mutants of Clostridium septicum alpha toxin. Site mutations in the alpha toxin protein were predicted using the MPEPE prediction tool. Expression vectors were constructed and expressed in E. coli for validation. The solubility, toxicity, and immunogenicity in mice of various rCsa mutants were compared. The results showed that the rCsa mutants were correctly expressed in E. coli, with all bands appearing at approximately 47 ku. The soluble expression levels of rCsaS398D, rCsaK405M, and rCsaN397D accounted for 9.5%, 9.4%, and 10.5% of total expressed proteins in the bacterial lysate supernatant, respectively. The ratios of protein amounts in the supernatant to those in the pellet were 2.5, 2.6, and 2.9, respectively. rCsaN397D showed the highest soluble expression level among the three rCsa mutants, and it was also superior to the 40% solubility of rCsa observed in previous experiments. Mouse toxicity tests indicated that none of the three rCsa mutants lost their toxicity. Vero cell toxicity tests showed that concentrations as low as 0.0016 μg·mL-1 of each rCsa mutant could induce significant cytopathic effects (CPE). ELISA detection of IgG antibody levels in mouse serum 21 days after the second immunization revealed that the S/N values of the rCsaN397D group serum were significantly higher than those of the rCsaS398D and rCsaK405M groups (P < 0.01). Neutralizing titers of mouse serum from the second immunization tested on Vero cells showed that the neutralizing titer of rCsaN397D was 6400 MLD·mL-1, which was significantly higher than those of the rCsaS398D and rCsaK405M groups (P < 0.0001), and also higher than the neutralizing titer of unmutated rCsa from previous experiments. In summary, rCsaN397D outperformed the other two rCsa mutants in terms of solubility and immunogenicity, and its immunogenicity was better than that of the unmutated rCsa. Therefore, rCsaN397D can be considered a candidate antigen for a genetically engineered subunit vaccine against Clostridium septicum.

Key words: Clostridium septicumα toxin, MPEPE, virulence, solubility, immunogenicity

CLC Number: