

Acta Veterinaria et Zootechnica Sinica ›› 2025, Vol. 56 ›› Issue (9): 4581-4592.doi: 10.11843/j.issn.0366-6964.2025.09.036
• Preventive Veterinary Medicine • Previous Articles Next Articles
					
													GUO Guihai1(
), MA Rumeng1, YIN Fangjie1, LIU Xinzi1, WANG Zi3, MENG Weijing4, LI Jiaxuan1,2, CUI Wen1,2, JIANG Yanping1,2, TANG Lijie1,2, ZHAO Haiyuan1,2,*(
), WANG Xiaona1,2,*(
)
												  
						
						
						
					
				
Received:2024-11-18
															
							
															
							
															
							
																	Online:2025-09-23
															
							
																	Published:2025-09-30
															
						Contact:
								ZHAO Haiyuan, WANG Xiaona   
																	E-mail:ggh2646859744@163.com;zhywxn1925@163.com;xiaonawang0319@163.com
																					CLC Number:
GUO Guihai, MA Rumeng, YIN Fangjie, LIU Xinzi, WANG Zi, MENG Weijing, LI Jiaxuan, CUI Wen, JIANG Yanping, TANG Lijie, ZHAO Haiyuan, WANG Xiaona. Study on the Expression of Recombinant Limosilactobacillus reuteri Expressing the S1 Gene of Porcine Epidemic Diarrhea Virus to Induce Specific Immune Responses in Piglets[J]. Acta Veterinaria et Zootechnica Sinica, 2025, 56(9): 4581-4592.
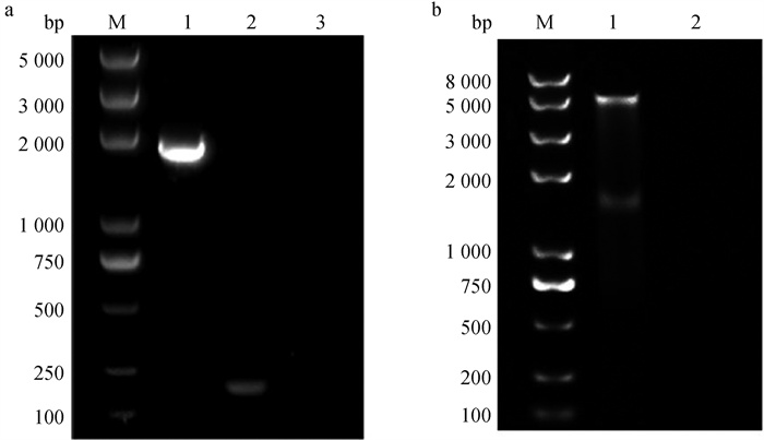
Fig. 1
Identification of recombinant plasmid pPG-T7g10-S1 a. PCR identification results of pPG-T7g10-S1 plasmid (1. PCR products of the S1 gene; 2. Empty vector; 3.Negative control); b. Double enzyme digestion results of pPG-T7g10-S1 plasmid (1. Double digestion using SacⅠ and ApaⅠ enzymes; 2. Empty vector)"
														Fig. 2
Identification of PCR and Western blot of recombinant bacterium pPG-T7g10-S1/L. reuteri J31 a. Identification of PCR of recombinant bacterium pPG-T7g10-S1/L. reuteri J 31 (1. pPG-T7g10-S1/L.reuteri J 31; 2. pPG-T7g10-PPT/L. reuteri J 31); b. Identification of Western blot of recombinant bacterium pPG-T7g10-S1/L. reuteri J 31 (1. Precipitation of recombinant bacterium pPG-T7g10-S1/L.reuteri J 31; 2. pPG-T7g10-PPT/L. reuteri J 31 cell precipitation)"
														Fig. 5
Colonization ability of recombinant Limosilactobacillus reuteri in pig jejunal a. The number of recombinant Limosilactobacillus reuteri in the jejunal mucosa samples; b. Recombinant Limosilactobacillus reuteri copy number in the jejunal mucosa. Different letters indicate significant differences (P < 0.05) at the same time point"
														| 1 |  
											JUNGK,SAIFL J,WANGQ.Porcine epidemic diarrhea virus (PEDV): An update on etiology, transmission, pathogenesis, and prevention and control[J].Virus Res,2020,286,198045.
																							 doi: 10.1016/j.virusres.2020.198045  | 
										
| 2 | 万进,李智,陈学友,等.浅谈重要疫病对生猪产业的经济影响[J].中国动物检疫,2023,40(1):55-60. | 
| WANJ,LIZ,CHENX Y,et al.Discussion on the economic impact of major diseases on pig industry[J].China Animal Health Inspection,2023,40(1):55-60. | |
| 3 | 武旺盛. 两种猪流行性腹泻病毒S1亚单位疫苗的免疫原性[D]. 长春: 吉林农业大学, 2020. | 
| WU W S. Immunogenicity of two porcine epidemic diarrhea virus S1 subunit vaccines[D]. Changchun: Jilin Agricultural University, 2020. (in Chinese) | |
| 4 |  
											LINH X,ZHOUH,GAOL,et al.Development and application of an indirect ELISA for the detection of antibodies to porcine epidemic diarrhea virus based on a recombinant spike protein[J].BMC Vet Res,2018,14(1):243.
																							 doi: 10.1186/s12917-018-1570-5  | 
										
| 5 |  
											SUNGSUWANS,JONGKAEWWATTANAA,JARU-AMPORNPANP.Nucleocapsid proteins from other swine enteric coronaviruses differentially modulate PEDV replication[J].Virology,2020,540,45-56.
																							 doi: 10.1016/j.virol.2019.11.007  | 
										
| 6 |  
											LIY,WUQ,HUANGL,et al.An alternative pathway of enteric PEDV dissemination from nasal cavity to intestinal mucosa in swine[J].Nat Commun,2018,9(1):3811.
																							 doi: 10.1038/s41467-018-06056-w  | 
										
| 7 |  
											ALOTAIBIB S,BUABEID,IBRAHIMN A,et al.Recent strategies driving oral biologic administration[J].Expert Rev Vaccines,2021,20(12):1587-1601.
																							 doi: 10.1080/14760584.2021.1990044  | 
										
| 8 |  
											王书博,徐义刚,陈秋艳,等.表达猪圆环病毒2型cap蛋白的重组罗伊氏乳酸杆菌在小鼠诱导的免疫应答分析[J].畜牧兽医学报,2020,51(9):2238-2249.
																							 doi: 10.11843/j.issn.0366-6964.2020.09.021  | 
										
|  
											WANGS B,XUY G,CHENQ Y,et al.Analysis of immune response induced by recombinant Lactobacillus reuteri expressing Cap protein of porcine circovirus type 2 in mice[J].Acta Veterinaria et Zootechnica Sinica,2020,51(9):2238-2249.
																							 doi: 10.11843/j.issn.0366-6964.2020.09.021  | 
										|
| 9 |  
											XIAOY,WANGX N,LIY,et al.Evaluation of the immunogenicity in mice orally immunized with recombinant Lactobacillus casei expressing porcine epidemic diarrhea virus S1 protein[J].Viruses,2022,14(5):890.
																							 doi: 10.3390/v14050890  | 
										
| 10 |  
											ZHAOZ,WANGH,ZHANGD,et al.Oral vaccination with recombinant expressing Aha1 against infections in common carps[J].Virulence,2022,13(1):794-807.
																							 doi: 10.1080/21505594.2022.2063484  | 
										
| 11 |  
											MORANN A,MCCUTCHEONJ P,NAKABACHIA.Genomics and evolution of heritable bacterial symbionts[J].Annu Rev Genet,2008,42,165-190.
																							 doi: 10.1146/annurev.genet.41.110306.130119  | 
										
| 12 | 李封赛. 表达猪轮状病毒VP4营养缺陷型乳杆菌的构建及其诱导免疫应答的研究[D]. 哈尔滨: 东北农业大学. | 
| LI F S. Construction and analysis of induced immune response of expressing VP4 of porcine rotavirus with the auxotrophic lactobacillu[D]. Harbin: Northeast Agricultural University, 2022. (in Chinese) | |
| 13 | 肖雅. 组成型表达猪流行性腹泻病毒保护性抗原S1重组乳酸菌的构建及其免疫原性分析[D]. 哈尔滨: 东北农业大学. | 
| XIAO Y. Construction and immunogenicity analysis of recombinant lactic acid bacteria constitutively expressing porcine epidemic diarrhea virus protective antigen S1[D]. Harbin: Northeast Agricultural University, 2022. (in Chinese) | |
| 14 | 陈妍卉,刘军亭,于潜,等.重组细菌活载体疫苗研究进展[J].中国预防兽医学报,2022,44(2):219-224, 231. | 
| CHENY H,LIUJ T,YUQ,et al.Advances of recombinant live bacterial vector vaccine[J].Chinese Journal of Preventive Veterinary Medicine,2022,44(2):219-224, 231. | |
| 15 |  
											TAKESHIT.Stimulation of the immune system by lactic acid bacteria[J].Biosci Microflora,2001,20(1):1-8.
																							 doi: 10.12938/bifidus1996.20.1  | 
										
| 16 |  
											ROCHA-RAMÍREZL M,HERNÁNDEZ-CHIÑASU,MORENO-GUERREROS S,et al.Probiotic properties and immunomodulatory activity of Lactobacillus strains isolated from dairy products[J].Microorganisms,2021,9(4):825-825.
																							 doi: 10.3390/microorganisms9040825  | 
										
| 17 |  
											MEURENSF,SUMMERFIELDA,NAUWYNCKH,et al.The pig: a model for human infectious diseases[J].Trends Microbiol,2012,20(1):50-57.
																							 doi: 10.1016/j.tim.2011.11.002  | 
										
| 18 |  
											WANGX N,WANGL,HUANGX W,et al.Oral delivery of probiotics expressing dendritic cell-targeting peptide fused with porcine epidemic diarrhea virus COE antigen: A Promising vaccine strategy against PEDV[J].Viruses,2017,9(11):312.
																							 doi: 10.3390/v9110312  | 
										
| 19 | 聂民财,岳健国,邓益超,等.表达猪流行性腹泻病毒S1基因植物乳酸杆菌工程菌的免疫原性分析[J].生物工程学报,2021,37(8):2779-2785. | 
| NIEM C,YUEJ G,DENGY C,et al.Immunogenicity of engineered Lactobacillus plantarum expressing porcine epidemic diarrhea virus S1 gene[J].Chinese Journal of Biotechnology,2021,37(8):2779-2785. | |
| 20 |  
											EGELKROUTE,HAYDENC,FAKEG,et al.Oral delivery of maize-produced porcine epidemic diarrhea virus spike protein elicits neutralizing antibodies in pigs[J].Plant Cell Tissue Organ Cult,2020,142(1):79-86.
																							 doi: 10.1007/s11240-020-01835-0  | 
										
| 21 | 张桢. 猪源乳酸杆菌安全性和抗逆性研究及其合生元制剂对小鼠溃疡性结肠炎的影响[D]. 南京: 南京农业大学, 2020. | 
| ZHANG Z. Thes safety and stress resistance of lactobacilli isolated from swine and the effect of its combination with prebiotics on ulcerative colitis in mice[D]. Nanjing: Nanjing Agricultural University, 2020. (in Chinese) | |
| 22 | 赵东方. 罗伊氏乳酸杆菌的分离鉴定及其抵抗仔猪感染F4~+ETEC效果的分析[D]. 哈尔滨: 东北农业大学, 2019. | 
| ZHAO D F. Isolation and identification of lactobacillusreuteri and its effection on F4+ETEC infection piglets[D]. Harbin: Northeast Agricultural University, 2019. (in Chinese) | |
| 23 |  
											JIANGX,YUM,QIAOX,et al.Up-regulation of MDP and tuftsin gene expression in Th1 and Th17 cells as an adjuvant for an oral Lactobacillus casei vaccine against anti-transmissible gastroenteritis virus[J].Appl Microbiol Biotechnol,2014,98(19):8301-8312.
																							 doi: 10.1007/s00253-014-5893-2  | 
										
| 24 | 李金龙,邓欢,刘金艳,等.益生菌大肠杆菌Nissle 1917抗逆性能、猪肠上皮细胞黏附率及抑菌效果研究[J].动物营养学报,2017,29(4):1241-1247. | 
| LIJ L,DENGH,LIUJ Y,et al.Probiotics escherichia coli Nissle 1917:stress resistance, swine intestinal epithelial cells adhesion rate and antibacterial effects[J].Animal Nutrition,2017,29(4):1241-1247. | |
| 25 | 吕秀莉,岳莹雪,平丽筠,等.益生菌黏附机制及其拮抗肠道致病菌研究进展[J].食品科学,2023,44(9):313-320. | 
| LVX L,YUEY X,PINGL Y.Research progress on the adhesion mechanism of probiotics and the antagonistic effects of probiotics against intestinal pathogens[J].Food Science,2023,44(9):313-320. | |
| 26 | 宫德正,邹原,梅懋华.肠粘膜免疫系统与细胞因子[J].大连医科大学学报,2002,24(1):56-60. | 
| GONGD Z,ZOUY,MEIM H.Intestinal mucosal immune system and cytokines[J].Journal of Dalian Medical University,2002,24(1):56-60. | |
| 27 | 曹晋宜,韩军丽,王友湘,等.瑞士乳杆菌对小鼠肠道黏膜和肠组织中细胞因子影响的研究[J].食品科学,2009,30(21):338-342. | 
| CAOJ Y,HANJ L,WANGY X,et al.Effect of lactobacillus helveticus on cytokines in intestinal mucosa and tissues of mice[J].Food Science,2009,30(21):338-342. | |
| 28 | 刘果. 猪流行性腹泻病毒诱导派伊尔结内T细胞依赖性IgA+B细胞分化的机制研究[D]. 兰州: 中国农业科学院. | 
| LIU G. Study on the differentiation mechanisms of T cell-dependent IgA+ B cell in peyer's patches induced by porcine epidemic diarrhea virus[D]. Lanzhou: Chinese Academy of Agricultural Sciences. (in Chinese) | |
| 29 |  
											FAGARASANS,KAWAMOTOS,KANAGAWAO,et al.Adaptive immune regulation in the gut: T cell-dependent and T cell-independent IgA synthesis[J].Annu Rev Immunol,2010,28,243-273.
																							 doi: 10.1146/annurev-immunol-030409-101314  | 
										
| 30 | 韩瑞,王清华,闫鹏先,等.猪流行性腹泻基因工程疫苗研究进展[J].畜牧兽医科技信息,2021(8):10-12. | 
| HANR,WANGQ H,YANP X,et al.Research progress on genetic engineering vaccine of porcine epidemic diarrhea[J].Science and Technology Information of Animal Husbandry and Veterinary Medicine,2021(8):10-12. | |
| 31 |  
											JIANGX P,YUM L,QIAOX Y,et al.Up-regulation of MDP and tuftsin gene expression in Th1 and Th17 cells as an adjuvant for an oral Lactobacillus casei vaccine against anti-transmissible gastroenteritis virus[J].Appl Microbiol Biotechnol,2014,98(19):8301-8312.
																							 doi: 10.1007/s00253-014-5893-2  | 
										
| 32 | 吕秀莉,岳莹雪,平丽筠,等.益生菌黏附机制及其拮抗肠道致病菌研究进展[J].食品科学,2023,44(9):313-320. | 
| LUX L,YUEY X,PINGL J,et al.Research progress on the adhesion mechanism of probiotics and its antagonism against intestinal pathogenic bacteria[J].Food Science,2023,44(9):313-320. | |
| 33 |  
											WANGZ H,CAOX H,DUX G,et al.Mucosal and systemic immunity in mice after intranasal immunization with recombinant Lactococcus lactis expressing ORF6 of PRRSV[J].Cell Immunol,2014,287(2):69-73.
																							 doi: 10.1016/j.cellimm.2013.12.004  | 
										
| 34 | 冯瑜菲,胡清泉,张力国,等.表达猪圆环病毒3型Cap蛋白重组乳酸乳球菌的构建及免疫原性分析[J].中国预防兽医学报,2022,44(11):1201-1207. | 
| FENGY F,HUQ Q,ZHANGL G,et al.Construction and immunogenicity analysis of recombinant Lactococcus lactis expressing porcine circovirus type 3 Cap protein[J].Chinese Journal of Preventive Veterinary Medicine,2021,44(11):1201-1207. | |
| 35 | 曹晋宜,韩军丽,王友湘,等.瑞士乳杆菌对小鼠肠道黏膜和肠组织中细胞因子影响的研究[J].食品科学,2009,30(21):338-342. | 
| CAOJ Y,HANJ L,WANGY X,et al.Effects of Lactobacillus helveticus on cytokines in intestinal mucosa and intestinal tissue of mice[J].Journal of Food Science,2009,30(21):338-342. | 
| [1] | LI Huimin, LEI Mingkai, RUAN Shengnan, LI Panpan, LI Wentao, HE Qigai. Establishment of Fluorescent Microsphere Immunochromatographic Assay for Porcine Epidemic Diarrhea Virus Antigen Detection [J]. Acta Veterinaria et Zootechnica Sinica, 2025, 56(9): 4572-4580. | 
| [2] | TIAN Ru, FU Xingwei, HU Leyu, ZHU Mingjun, TONG Dewen. Isolation and Pathogenicity Analysis of a GⅡa Porcine Epidemic Diarrhea Virus [J]. Acta Veterinaria et Zootechnica Sinica, 2025, 56(8): 4101-4111. | 
| [3] | LI Zhiqiang, CHEN Xueqing, ZHANG Yuanshu. Detection of Angiotensin Converting Enzyme 2 in Intestinal Tissues of Clinically Infected Porcine Epidemic Diarrhea Virus Piglets and Analysis of Its Relationship with Intestinal Pathological Changes [J]. Acta Veterinaria et Zootechnica Sinica, 2025, 56(7): 3463-3473. | 
| [4] | WANG Yunke, WANG Na, YUE Ke, HE Kunmiao, ZHANG Xing, LIU Yao, ZHANG Gaiping. Substances with Inhibitory Effects on Porcine Epidemic Diarrhea Virus Replication in vitro [J]. Acta Veterinaria et Zootechnica Sinica, 2025, 56(6): 2577-2589. | 
| [5] | WU Chao, MING Wenhan, LU Shuwan, YANG Caimei, LIU Jinsong, MA Xiang, ZHANG Ruiqiang. Innate Immune Evasion Mechanisms of Porcine Epidemic Diarrhea Virus and Advances in Prevention and Control Strategies [J]. Acta Veterinaria et Zootechnica Sinica, 2025, 56(6): 2590-2599. | 
| [6] | ZHOU Min, TANG Deyuan, ZENG Zhiyong, WANG Bin, HUANG Tao, HU Wenwen, MAO Yinming, ZHOU Piao, HE Song. Research Progress on the Interaction between Porcine Epidemic Diarrhea Virus Proteins and Host Proteins [J]. Acta Veterinaria et Zootechnica Sinica, 2025, 56(6): 2600-2612. | 
| [7] | LI Chengcheng, ZHAO Yongxiang, CAO Qiuxia, SONG Xu, LI Yupeng, FAN Baochao, GUO Rongli, XU Yefen, LI Bin. Tight Junction Protein CLDN4 Promotes Porcine Epidemic Diarrhea Virus Infection [J]. Acta Veterinaria et Zootechnica Sinica, 2025, 56(6): 2826-2835. | 
| [8] | WU Peiling, LI Yixuan, WANG Haojie, LI Yafei, LIU Shaomeng, LIU Qingyun, WANG Xiangru. Research Progress of Porcine Epidemic Diarrhea Vaccine for Pigs [J]. Acta Veterinaria et Zootechnica Sinica, 2025, 56(3): 1042-1058. | 
| [9] | YU Xinya, HE Haijian, WANG Lei, NI Yuchen, DU Jing, ZHOU Yingshan, DONG Wanyu, WANG Xiaodu. Effect of lncRNA 18850 on Porcine Epidemic Diarrhea Virus Replication [J]. Acta Veterinaria et Zootechnica Sinica, 2025, 56(3): 1366-1375. | 
| [10] | ZHANG Dongxuan, WANG Zhihao, QIAO Yan, ZHAO Xiaoxiao, FAN Songjie, ZHANG Chao. Prokaryotic Expression of S1 Protein in Porcine Epidemic Diarrhea Virus and Screening of Its Aptamers [J]. Acta Veterinaria et Zootechnica Sinica, 2025, 56(2): 839-850. | 
| [11] | Ya 'nan LI, Tianwen MA, Xiaoyu YANG, Jiaxin WU, Xiaoping LÜ, Hao REN, Hongri RUAN, Ying LIU, Jiantao ZHANG, Chengwei WEI. Limosilactobacillus reuteri Alleviates Intestinal Ischemia/Reperfusion Injury in Rats by Inhibiting the ROS Dependent NLRP3 Inflammatory Pathway [J]. Acta Veterinaria et Zootechnica Sinica, 2024, 55(9): 4186-4195. | 
| [12] | Weizhe LIU, Chenggang LUO, Rong YUAN, Yijie LIAO, Yimin WEN, Ying SUN, Enbo YU, Sanjie CAO, Xiaobo HUANG. Isolation and Identification of a Highly Pathogenic Strain of Porcine Epidemic Diarrhea Virus [J]. Acta Veterinaria et Zootechnica Sinica, 2024, 55(7): 3049-3063. | 
| [13] | Dongliang LI, Guanmin ZHENG, Shuai LI, Hongsen ZHU, Chao WU. Differential Expression of Transcriptome in Jejunal of Piglets Infected with Porcine Epidemic Diarrhea Virus [J]. Acta Veterinaria et Zootechnica Sinica, 2024, 55(6): 2652-2661. | 
| [14] | MA Rumeng, ZHAO Yuliang, MA Mingshuang, GUO Guihai, LIU Xinzi, LI Jiaxuan, CUI Wen, JIANG Yanping, SHAN Zhifu, ZHOU Han, WANG Li, QIAO Xinyuan, TANG Lijie, WANG Xiaona, LI Yijing. Comparative Study on the Immune Response Induced by the Different Porcine Receptor Bacteria with Expressing the Protective Antigen S1 of Porcine Epidemic Diarrhea Virus [J]. Acta Veterinaria et Zootechnica Sinica, 2024, 55(5): 2090-2099. | 
| [15] | WANG Jing, ZHANG Shujuan, HU Xia, LIU Xiangyang, ZHANG Xingcui, SONG Zhenhui. CD44 Regulates Na+/H+ Exchanger 3 Activity by Influencing Porcine Epidemic Diarrhea Virus Replication [J]. Acta Veterinaria et Zootechnica Sinica, 2024, 55(5): 2176-2185. | 
| Viewed | ||||||
| 
										Full text | 
									
										 | 
								|||||
| 
										Abstract | 
									
										 | 
								|||||