

畜牧兽医学报 ›› 2025, Vol. 56 ›› Issue (12): 6145-6158.doi: 10.11843/j.issn.0366-6964.2025.12.018
王玉梅(
), 丁元翠, 曹姝毅, 余琦, 江昌盛, 周金星, 任曼*(
), 李升和*(
)
收稿日期:2025-04-09
出版日期:2025-12-23
发布日期:2025-12-24
通讯作者:
任曼,李升和
E-mail:wangyumei0223@163.com;renman@yeah.net;lish@ahstu.edu.cn
作者简介:王玉梅(1999-),女,安徽蒙城人,硕士,主要从事营养与禽类毛囊生长发育研究,E-mail: wangyumei0223@163.com
基金资助:
WANG Yumei(
), DING Yuancui, CAO Shuyi, YU Qi, JIANG Changsheng, ZHOU Jinxing, REN Man*(
), LI Shenghe*(
)
Received:2025-04-09
Online:2025-12-23
Published:2025-12-24
Contact:
REN Man, LI Shenghe
E-mail:wangyumei0223@163.com;renman@yeah.net;lish@ahstu.edu.cn
摘要:
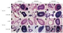
旨在探究生长期三花鹅和皖西白鹅绒羽生长发育情况、羽囊特性以及调控羽囊发育相关基因的表达。本研究以皖西白鹅和三花鹅为研究对象,分析鹅90日龄朵绒长、千朵绒重、绒朵直径的变化;对鹅皮肤进行苏木精-伊红染色(HE染色)和三色染色(Masson染色)并观察各个阶段羽囊生长变化;采用荧光定量PCR法研究不同生长期白鹅皮肤组织中Wnt5a、IGF-1、BMP2和FGF5基因的表达情况。结果表明:1)观察不同部位绒羽形态发现皖西白鹅比三花鹅的绒羽更加蓬松,绒羽更大。2)观察绒羽的显微结构发现,60日龄三花鹅绒羽的绒小枝节点呈叉状节点,90日龄时绒小枝节点呈现三角形节点。60日龄皖西白鹅绒羽的绒小枝节点呈现三角形和叉状节点两种,90日龄时绒小枝节点呈现出三角形节点并在末端出现叉状节点。3)通过测量发现90日龄三花鹅和皖西白鹅不同部位的绒羽性状指标均显著优于60日龄同品种同部位。4)测定不同羽囊直径发现90日龄三花鹅和皖西白鹅不同部位的次级羽囊显著高于60日龄同品种同部位。5)荧光定量PCR结果显示,60日龄时皖西白鹅皮肤中Wnt5a基因表达量最高,但其在90日龄三花鹅和90日龄皖西白鹅皮肤中的表达量无显著差异(P>0.05)。60日龄皖西白鹅皮肤中BMP2、IGF-1基因表达量极显著高于60日龄三花鹅和90日龄皖西白鹅(P < 0.01);其中90日龄时三花鹅皮肤中BMP2、IGF-1基因表达量最低。FGF5基因在不同日龄三花鹅和皖西白鹅皮肤中的表达量无显著差异(P>0.05)。从绒羽测定指标发现,日龄越大绒羽质量越好,无论是三花鹅还是皖西白鹅背部绒朵质量最好。从基因水平可见,60、90日龄皖西白鹅背部皮肤中Wnt5a、BMP2、IGF-1基因表达量均显著高于三花鹅。另外,鹅绒羽质量与羽囊发育密切相关,而羽囊发育受多种基因的调控。
中图分类号:
王玉梅, 丁元翠, 曹姝毅, 余琦, 江昌盛, 周金星, 任曼, 李升和. 生长期三花鹅和皖西白鹅绒毛和皮肤毛囊结构特征及羽囊发育基因比较[J]. 畜牧兽医学报, 2025, 56(12): 6145-6158.
WANG Yumei, DING Yuancui, CAO Shuyi, YU Qi, JIANG Changsheng, ZHOU Jinxing, REN Man, LI Shenghe. Comparative Analysis of Structural Characteristics of Downy Feathers, Cutaneous Follicles and Feather Follicle Development Genes between Sanhua Geese and Wanxi White Geese During the Growth Period[J]. Acta Veterinaria et Zootechnica Sinica, 2025, 56(12): 6145-6158.
表 1
GAPDH、Wnt5a、BMP2、IGF-1 FGF-5基因引物序列"
| 引物Primer | 引物序列(5′→3′) Sequence | 产物长度/bp Products size |
| GAPDH | FP: AGCAACATCAAGTGGGCAGA | 157 |
| RP: CACCCATCACGAACATGGGA | ||
| Wnt5a | FP: TGGCTCTGGCCATTTTCTCC | 230 |
| RP: GGTCTTTGCACCCTCTCCAA | ||
| BMP2 | FP: CCTCCAAGAGGCACGTTAGG | 273 |
| RP: GACATTCCCCGTGGCAGTAA | ||
| IGF-1 | FP: GATAGAGCCTGCGCAATGGA | 259 |
| RP: AGCAAACACAGGCCAAGGTA | ||
| FGF-5 | FP: ACAACACCTATGCCTCACCC | 293 |
| RP: ACTTTCTGAGGAGCCGATGC |
表 2
不同鹅种不同部位千朵绒重(g)、绒朵长(mm)、绒小枝直径(μm)"
| 品种Breed | 日龄/d Age | 部位Area | 千朵绒重/g Thousand plush weight | 绒朵长/mm Velvet length | 绒小枝直径/μm Diameter of downy twigs |
| 三花鹅 Sanhua geese | 60 | 胸 | 1.48±0.558Dde | 22.252±1.312Cc | 57.305±6.668Dc |
| 三花鹅 Sanhua geese | 60 | 腹 | 1.222±0.333De | 20.547±0.967CDd | 50.024±5.942Ed |
| 三花鹅 Sanhua geese | 60 | 背 | 2.238±0.3Ccd | 24.338±3.026BCb | 58.984±4.944Dbc |
| 皖西白鹅 Wanxi White geese | 60 | 胸 | 1.813±0.510CDd | 22.534±1.734Cc | 51.930±5.564DEd |
| 皖西白鹅 Wanxi White geese | 60 | 腹 | 1.794±0.293CDd | 22.606±2.275Cc | 56.387±6.581Dc |
| 皖西白鹅 Wanxi White geese | 60 | 背 | 2.423±0.622Cc | 24.92±3.056ABb | 73.189±4.691Ca |
| 三花鹅 Sanhua geese | 90 | 胸 | 1.138±0.242De | 20.014±1.048Dd | 59.351±6.156Dbc |
| 三花鹅 Sanhua geese | 90 | 腹 | 1.828±0.430CDd | 22.831±1.520Cc | 68.266±4.760Cb |
| 三花鹅 Sanhua geese | 90 | 背 | 2.968±0.490ABCb | 26.664±1.507Aa | 60.993±5.313Db |
| 皖西白鹅 Wanxi White geese | 90 | 胸 | 3.512±0.320Aa | 20.014±1.048Dd | 79.349±8.275B |
| 皖西白鹅 Wanxi White geese | 90 | 腹 | 3.172±0.214Abab | 22.831±1.520Cc | 105.11±7.509A |
| 皖西白鹅 Wanxi White geese | 90 | 背 | 3.983±0.484A | 26.664±1.507Aa | 101.84±6.204A |
| P值P-value | |||||
| 日龄Age (D) | < 0.01 | 0.088 4 | < 0.01 | ||
| 品种Breed (P) | < 0.01 | 0.287 6 | < 0.01 | ||
| 部位Area (B) | < 0.01 | < 0.01 | < 0.01 | ||
| D×P×B | < 0.01 | < 0.01 | < 0.01 | ||
表 3
不同鹅种不同部位初级羽囊、次级羽囊直径"
| 品种Breed | 日龄/d Age | 部位Area | 初级羽囊直径/μm Primary feather sac diameter | 次级羽囊直径/μm Secondary feather sac diameter |
| 三花鹅Sanhua geese | 60 | 胸 | 853.345±322.880BCbc | 219.034±127.031Ef |
| 三花鹅Sanhua geese | 60 | 腹 | 874.615±181.786BCbc | 410.693±77.734DEde |
| 三花鹅Sanhua geese | 60 | 背 | 1 225.05±346.690ABb | 575.889±213.191Dbc |
| 皖西白鹅Wanxi White geese | 60 | 胸 | 1 499.87±476.224Abab | 437.308±226.860Dbcd |
| 皖西白鹅Wanxi White geese | 60 | 腹 | 544.938±244.135Cc | 207.395±73.269Ef |
| 皖西白鹅Wanxi White geese | 60 | 背 | 1 140.88±288.753BCbc | 429.839±46.273Dbd |
| 三花鹅Sanhua geese | 90 | 胸 | 1 007.52±381.192BCbc | 1 056.54±281.5829B |
| 三花鹅Sanhua geese | 90 | 腹 | 160.073±53.7910Cd | 822.207±147.697Cb |
| 三花鹅Sanhua geese | 90 | 背 | 524.639±340.519Ccd | 407.854±63.8562DEde |
| 皖西白鹅Wanxi White geese | 90 | 胸 | 1 686.02±261.379Aa | 1 302.08±241.660A |
| 皖西白鹅Wanxi White geese | 90 | 腹 | 1 308.80±220.357ABab | 905.548±168.234BCab |
| 皖西白鹅Wanxi White geese | 90 | 背 | 923.428±398.118BCbc | 1 003.25±180.088BC |
| P值P-value | ||||
| 日龄Age (D) | < 0.01 | < 0.01 | ||
| 品种Breed (P) | 0.263 3 | < 0.01 | ||
| 部位Area (B) | < 0.01 | < 0.01 | ||
| D×P×B | < 0.01 | < 0.01 |
| 1 | 踔厉奋发走好羽绒工业强国之路[J]. 中国集体经济, 2023, (12): 6-7. |
| Work hard to take the road of becoming a strong country in the down industry[J]. China Collective Economy, 2023, (12): 6-7. (in Chinese) | |
| 2 | 张义坦. 羽绒羽毛出口的质量问题与应对策略研究[J]. 才智, 2017 (15): 241. |
| ZHANG Y T . Research on the quality problems and coping strategies of down and feather exports[J]. Caizhi, 2017 (15): 241. | |
| 3 | LIN S J , WIDELIZ R B , YUE Z , et al. Feather regeneration as a model for organogenesis[J]. Development, 2013, 55 (1): 139- 148. |
| 4 | CHEN M J , XIE W Y , PAN N X , et al. Methionine improves feather follicle development in chick embryos by activating Wnt/β-catenin signaling[J]. Poult Sci, 2020, 99 (99): 4479- 4487. |
| 5 | MABROUK I , ZHOU Y X , WANG S H , et al. Transcriptional characteristics showed that miR-144-y/FOXO3 participates in embryonic skin and feather follicle development in Zhedong White Geese[J]. Animals (Basel), 2022, 12 (16): 2099. |
| 6 |
WU P , ZHANG Y , XING Y , et al. Correction to: the balance of Bmp6 and Wnt10b regulates the telogen-anagen transition of hair follicles[J]. Cell Commun Signal, 2020, 18 (1): 4.
doi: 10.1186/s12964-020-0508-2 |
| 7 |
RENDL M , POLAK L , FUCHS E . BMP signaling in dermal papilla cells is required for their hair follicle-inductive properties[J]. Genes Dev, 2008, 22 (4): 543- 557.
doi: 10.1101/gad.1614408 |
| 8 |
FUCHS E . Scratching the surface of skin development[J]. Nature, 2007, 445 (7130): 834- 842.
doi: 10.1038/nature05659 |
| 9 |
WEIDINGER G , MOON R T . When Wnts antagonize Wnts[J]. J Cell Biol, 2003, 162 (5): 753- 755.
doi: 10.1083/jcb.200307181 |
| 10 | 姚玉园, 刘海英, 袁缨, 等. IGF-1和EGF对辽宁绒山羊初级毛囊体外培养的影响[J]. 沈阳农业大学学报, 2010, 41 (2): 165- 169. |
| YAO Y Y , LIU H Y , YUAN Y , et al. Effects of IGF-1 and EGF on in vitro culture of primary hair follicles in Liaoning cashmere goats[J]. Journal Shenyang Agricultural University, 2010, 41 (2): 165- 169. | |
| 11 |
ESWARAKUMAR V P , LAX I , SCHLESSINGER J . Cellular signaling by fibroblast growth factor receptors[J]. Cytokine Growth Factor Rev, 2005, 16 (2): 139- 149.
doi: 10.1016/j.cytogfr.2005.01.001 |
| 12 |
GROSE R , DICKSON C . Fibroblast growth factor signaling in tumorigenesis[J]. Cytokine Growth Factor Rev, 2005, 16 (2): 179- 186.
doi: 10.1016/j.cytogfr.2005.01.003 |
| 13 |
MANDLER M , NEUBüSER A . FGF signaling is required for initiation of feather placode development[J]. Development, 2004, 131 (14): 3333- 3343.
doi: 10.1242/dev.01203 |
| 14 |
JIANG T X , WIDELITZ R B , SHEN W M , et al. Integument pattern formation involves genetic and epigenetic controls: feather arrays simulated by digital hormone models[J]. Int J Dev Biol, 2004, 48 (2-3): 117- 135.
doi: 10.1387/ijdb.15272377 |
| 15 | 刘托娅. TGF-β及Wnt信号通路在吉林白鹅皮肤毛囊发育中的表达调控研究[D]. 长春: 吉林农业大学, 2023. |
| LIU T Y. Research on the regulation of the expression of TGF-β and Wnt signaling pathways in the development of skin hair follicles in Jilin white geese[D]. Changchun: Jilin Agricultural University, 2023. (in Chinese) | |
| 16 |
WATANABE I , USUKURA J , YAMADA E . Electron microscope study of the Grandry and Herbst corpuscles in the palatine mucosa, gingival mucosa and beak skin of the duck[J]. Arch Histol Jpn, 1985, 48 (1): 89- 108.
doi: 10.1679/aohc.48.89 |
| 17 | 周双喜. GB/T 14272《羽绒服装》中羽绒品质要求解析[J]. 纺织检测与标准, 2020, 6 (4): 26- 31. |
| ZHOU S X . Analysis of down quality requirements in GB/T 14272 "Down clothing"[J]. Textile Testing and Standards, 2020, 6 (4): 26- 31. | |
| 18 | 张文慧. 吉林农大白鹅羽绒品质及特性的研究[D]. 长春: 吉林农业大学, 2003. |
| ZHANG W H. Research on the quality and characteristics of down of white geese in Jilin Agricultural University[D]. Changchun: Jilin Agricultural University, 2003. (in Chinese) | |
| 19 | 陈小甜, 李庆山, 叶菲, 等. 麻公鸡慢羽亚型羽毛生长发育的研究[J]. 中国畜牧杂志, 2024, 60 (11): 134- 139. |
| CHEN X T , LI Q S , YE F , et al. Research on feather growth and development of slow feather subtype of hemp rooster[J]. Chinese Journal of Animal Science, 2024, 60 (11): 134- 139. | |
| 20 | 贾胜军, 赵研, 陈尧贵, 等. 鸡体不同部位皮肤的结构观察[J]. 中国家禽, 2016, 38 (18): 58- 60. |
| JIA S J , ZHAO Y , CHEN Y G , et al. Observation of the structure of the skin in different parts of the chicken body[J]. China Poultry, 2016, 38 (18): 58- 60. | |
| 21 | 田晓东, 徐日福, 秦宁, 等. 莱茵鹅羽毛毛囊形态结构观察分析[J]. 中国家禽, 2011, 33 (9): 18- 26. |
| TIAN X D , XU R F , QIN N , et al. Observation and analysis of the morphological structure of feather follicles in the Rhine geese[J]. China Poultrly, 2011, 33 (9): 18- 26. | |
| 22 | 孙远. 鹅毛囊形态发生及生长周期规律与Wnt10b在鹅毛囊中表达的研究[D]. 长春: 吉林农业大学, 2014. |
| SUN Y. Research on geese hair follicles occurrence, laws of growing cycle andWnt10b expression In geese hair follicles[D]. Changchun: Jilin Agricultural University, 2014. (in Chinese) | |
| 23 |
SUZUKI K , YAMAGUCHI Y , VILLACORTE M , et al. Embryonic hair follicle fate change by augmented beta-catenin through Shh and Bmp signaling[J]. Development, 2009, 136 (3): 367- 372.
doi: 10.1242/dev.021295 |
| 24 | 赵春芳, 金吉雄, 张梦玲, 等. 硼上调皖西白鹅产蛋期卵巢IGFBP3、DRD2和CDK1基因表达[J]. 安徽科技学院学报, 2022, 36 (1): 1- 6. |
| ZHAO C F , JIN J X , ZHANG M L , et al. Effect of boron on gene expression of IGFBP3, DRD2, and CDK1 in the ovary of Wanxi White geese during the laying period[J]. Journal of Anhui Science and Technology University, 2022, 36 (1): 1- 6. | |
| 25 |
CHENG D , YAN X , QIU G , et al. Contraction of basal filopodia controls periodic feather branching via Notch and FGF signaling[J]. Nat Commun, 2018, 9 (1): 1345.
doi: 10.1038/s41467-018-03801-z |
| 26 | 龙美合, 郑春田, 陈伟, 等. 水禽羽毛生长机制及其营养调控研究进展[J]. 中国畜牧兽医, 2024, 51 (5): 1868- 1879. |
| LONG M H , ZHENG C T , CHEN W , et al. Research progress on feather growth mechanism and nutritional control of waterfowl[J]. China Animal Husbandry and Veterinary Medicine, 2024, 51 (5): 1868- 1879. | |
| 27 | 李瑶. Wnt5a和FGF4基因对鹅毛囊及羽毛发育影响的研究[D]. 长春: 吉林农业大学, 2014. |
| LI Y. The research of Wnt5a and FGF4 gene's mRNA expression in the geese feather follicles and feathers development[D]. Changchun: Jilin Agricultural University, 2014. (in Chinese) | |
| 28 |
NORAMLY S , FREEMAN A , MORGAN B A . Beta-catenin signaling can initiate feather bud development[J]. Development, 1999, 126 (16): 3509- 3521.
doi: 10.1242/dev.126.16.3509 |
| 29 |
CASTELA M , LINAY F , ROY E , et al. Igf1r signalling acts on the anagen-to-catagen transition in the hair cycle[J]. Exp Dermatol, 2017, 26 (9): 785- 791.
doi: 10.1111/exd.13287 |
| 30 | 李英春, 韩勇, 李琳. 胰岛素样生长因子-1对人体外培养毛囊生长的影响[J]. 山东医药, 2006 (7): 13- 14. |
| LI C Y , HAN Y , LI L . Effect of insulin-like growth factor-1 on the growth of hair follicles cultured in human[J]. Shandong Medicine, 2006 (7): 13- 14. | |
| 31 |
PHILPOTT M P , SANDERS D A , KEALEY T . Effects of insulin and insulin-like growth factors on cultured human hair follicles: IGF-I at physiologic concentrations is an important regulator of hair follicle growth in vitro[J]. J Invest Dermatol, 1994, 102 (6): 857- 861.
doi: 10.1111/1523-1747.ep12382494 |
| 32 | 刘逍, 娄玉杰. 吉林白鹅毛囊发育及IGF-1、EGF基因对其发育调控的影响[J]. 中国兽医学报, 2018, 38 (7): 1424- 1429. |
| LIU X , LOU Y J . Development of feather follicle and regulate the effect of IGF-1 and EGF genes on development in Ji Lin white geese[J]. Chinese Journal of Veterinary Science, 2018, 38 (7): 1424- 1429. | |
| 33 | 张博文, 杨胜男, 田甜, 等. TGF-β/BMP/Smad信号通路及其参与毛囊发育及周期调控的研究进展[J]. 解剖科学进展, 2023, 29 (6): 667- 670. |
| ZHANG B W , YANG S N , TIAN T , et al. Research progress on TGF-β/BMP/SMAD signaling pathway and its involvement in hair follicle development and cycle regulation[J]. Advances in Anatomical Science, 2023, 29 (6): 667- 670. | |
| 34 |
HWANG I , CHOI K A , PARK H S , et al. Neural stem cells restore hair growth through activation of the hair follicle niche[J]. Cell Transplant, 2016, 25 (8): 1439- 1451.
doi: 10.3727/096368916X691466 |
| 35 |
CAI B J , ZHENG Y P , YAN J D , et al. BMP2-mediated PTEN enhancement promotes differentiation of hair follicle stem cells by inducing autophagy[J]. Exp Cell Res, 2019, 385 (2): 111647.
doi: 10.1016/j.yexcr.2019.111647 |
| 36 |
CERUTI J M , OPPENHEIMER F M , LEIRÓS G J , et al. Androgens downregulate BMP2 impairing the inductive role of dermal papilla cells on hair follicle stem cells differentiation[J]. Mol Cell Endocrinol, 2021, 520, 111096.
doi: 10.1016/j.mce.2020.111096 |
| 37 |
XIONG L Y , ZHEVLAKOVA I , WEST X Z , et al. TLR2 Regulates hair follicle cycle and regeneration via BMP signaling[J]. Elife, 2024, 12, RP89335.
doi: 10.7554/eLife.89335.3 |
| 38 |
PLIKUS M V , MAYER J A , DE LA CRUZ D , et al. Cyclic dermal BMP signalling regulates stem cell activation during hair regeneration[J]. Nature, 2008, 451 (7176): 340- 344.
doi: 10.1038/nature06457 |
| 39 | RYAN A F . The cell cycle and the development and regeneration of hair cells[J]. Curr Top Dev Biol, 2003, 57, 449- 466. |
| 40 | 杨童奥. BMP4和FGF5两基因对鹅毛囊及羽毛发育作用的研究[D]. 长春: 吉林农业大学, 2012. |
| YANG T A. Research on the effects of BMP4 and FGF5 genes on hair follicle and feather development in geese[D]. Changchun: Jilin Agricultural University, 2012. (in Chinese) | |
| 41 | 封洋. 毛囊发生过程及调控方式的研究进展[J]. 中国畜牧杂志, 2022, 58 (9): 26- 32. |
| FENG Y . Research progress on hair folliculogenesis process and regulation mode[J]. China Journal of Animal Science, 2022, 58 (9): 26- 32. | |
| 42 |
LI A , LAI Y C , FIGUEROA S , et al. Deciphering principles of morphogenesis from temporal and spatial patterns on the integument[J]. Dev Dyn, 2015, 244 (8): 905- 920.
doi: 10.1002/dvdy.24281 |
| 43 |
HU M C , ROSENBLUM N D . Smad1, beta-catenin and Tcf4 associate in a molecular complex with the Myc promoter in dysplastic renal tissue and cooperate to control Myc transcription[J]. Development, 2005, 132 (1): 215- 225.
doi: 10.1242/dev.01573 |
| 44 | 张稳, 刘罗兰, 冯登侦, 等. 哺乳动物毛囊周期性生长调控机制的研究进展[J]. 生命科学研究, 2021, 25 (3): 240- 248. |
| ZHANG W , LIU L L , FENG D Z , et al. Research progress on the regulation mechanism of periodic growth of mammalian hair follicles[J]. Life Science Research, 2021, 25 (3): 240- 248. | |
| 45 | 周金星, 靳二辉, 王祝华, 等. 皖西白鹅胸腹部皮肤毛囊组织结构及其Caspase-3蛋白分布的观察[J]. 中国兽医科学, 2016, 46 (3): 374- 379. |
| ZHOU J X , JIN E H , WANG Z H , et al. Tissue structure observation and Caspase-3 protein distribution of chest and abdominal hair follicle of Wanxi White geese[J]. Chinese Veterinary Sciences, 2016, 46 (3): 374- 379. |
| [1] | 孙泽远, 向令娴, 李琳, 左儒楠. 沙门菌耐药基因水平转移机制及影响因素[J]. 畜牧兽医学报, 2026, 57(1): 108-119. |
| [2] | 许黎明, 张聪, 温墩, 饶肇玺, 郝韵, 刘俊逸, 杜陶然, 王文强, 李强, 李平华, 黄瑞华. 影响苏淮猪粗纤维表观消化率的宿主基因挖掘[J]. 畜牧兽医学报, 2026, 57(1): 136-145. |
| [3] | 杨凯, 李东锋, 邵勇钢, 翟曼君, 白现广, 张立凡. 新疆地方鸡遗传关系和基因组差异研究[J]. 畜牧兽医学报, 2026, 57(1): 155-166. |
| [4] | 张刘, 李倩, 赵拴平, 金海, 李庆岗, 章会斌, 杜欣怡, 金四华, 朱勇, 赵克勤, 徐磊, 王淑娟. 全基因组关联分析筛选大别山牛体重体尺性状相关分子标记[J]. 畜牧兽医学报, 2026, 57(1): 181-193. |
| [5] | 李聪, 李娜, 秦旭勇, 高峰, 韩家乐, 赵舒悦, 格明古丽·木哈台null, 党瑞华. 基因组分析揭示现代家马环境适应的遗传基础[J]. 畜牧兽医学报, 2026, 57(1): 194-205. |
| [6] | 谢泽婷, 侯晓韵, 詹胤锴, 林随源, 朱溥睿, 郭诗琦, 秦双, 罗阳冰, 李秀金, 黄运茂, 伍仲平, 张续勐. 狮头鹅和乌鬃鹅胸肌组织形态学及转录组比较分析[J]. 畜牧兽医学报, 2026, 57(1): 206-220. |
| [7] | 李晨阳, 张传美, 惠宇韬, 吕莹, 杨敏. 15种血清型的鸭疫里默氏杆菌毒力基因检测和耐药性分析[J]. 畜牧兽医学报, 2026, 57(1): 360-368. |
| [8] | 张晶, 王亚平, 樊曦雯, 王真. 一株牛源福氏志贺菌的分离鉴定及全基因组测序分析[J]. 畜牧兽医学报, 2026, 57(1): 378-391. |
| [9] | 罗润波, 吴丹, 李可欣, 钟亚男, 索朗斯珠, 商鹏. 藏猪源产气荚膜梭菌的分离与耐药状况分析[J]. 畜牧兽医学报, 2026, 57(1): 392-400. |
| [10] | 林晓, 李瑞杰, 刘龙, 耿拓宇, 龚道清. 动物的性别决定基因及其甲基化调控的研究进展[J]. 畜牧兽医学报, 2025, 56(9): 4129-4142. |
| [11] | 杨鑫, 王绍宇, 童畅, 彭志弢, 蔡圣煌, 黄俊雄, 胥娇娇, 温馨, 吴银宝. 畜禽粪污源抗生素抗性基因的水平转移研究进展[J]. 畜牧兽医学报, 2025, 56(9): 4279-4293. |
| [12] | 田姣, 龙菊烟, 陈霞, 岑晓丽, 牛熙, 黄世会, 王嘉福, 冉雪琴. 香猪ENTPD1基因3'UTR的SINE插入下调其基因表达[J]. 畜牧兽医学报, 2025, 56(9): 4303-4314. |
| [13] | 白锋, 玛尔孜娅·亚森, 阿米妮古丽·阿不来孜, 滕文, 罗春彦, 纳扎开提·艾尼万尔, 张耘韬, 纪新民, 张艳花. 吐鲁番黑羊体重和体尺性状全基因组关联分析[J]. 畜牧兽医学报, 2025, 56(9): 4315-4327. |
| [14] | 郑云畅, 侯睿霖, 梁晓贺, 杨利丹, 张银蛟, 霍浩楠, 陈玮娜, 张萃, 李世杰. 牛FOXP2基因的单等位基因表达和DNA甲基化状态分析[J]. 畜牧兽医学报, 2025, 56(9): 4369-4378. |
| [15] | 李佳鹏, 刘庆, 孙佳钰, 马泽芳, 崔凯. 基于转录组和蛋白质组分析筛选银黑狐毛色形成的关键基因[J]. 畜牧兽医学报, 2025, 56(9): 4379-4392. |
| 阅读次数 | ||||||
|
全文 |
|
|||||
|
摘要 |
|
|||||