Acta Veterinaria et Zootechnica Sinica ›› 2026, Vol. 57 ›› Issue (1): 349-359.doi: 10.11843/j.issn.0366-6964.2026.01.030

• PREVENTIVE VETERINARY MEDICINE • Previous Articles     Next Articles

Preparation and Characterization of Nanobody against H7 Subtype Avian Influenza Virus

LUO Chenying(), XU Siqi, LIU Yutong, ZHANG Qinying, DENG Fengru, FENG Saixiang()   

  1. National and Local Joint Engineering Laboratory for Zoonosis Prevention and Control Biologics,College of Veterinary Medicine,South China Agricultural University,Guangzhou 510620,China
  • Received:2025-03-17 Online:2026-01-23 Published:2026-01-26
  • Contact: FENG Saixiang E-mail:827528057@qq.com;fengsx@scau.edu.cn

Abstract:

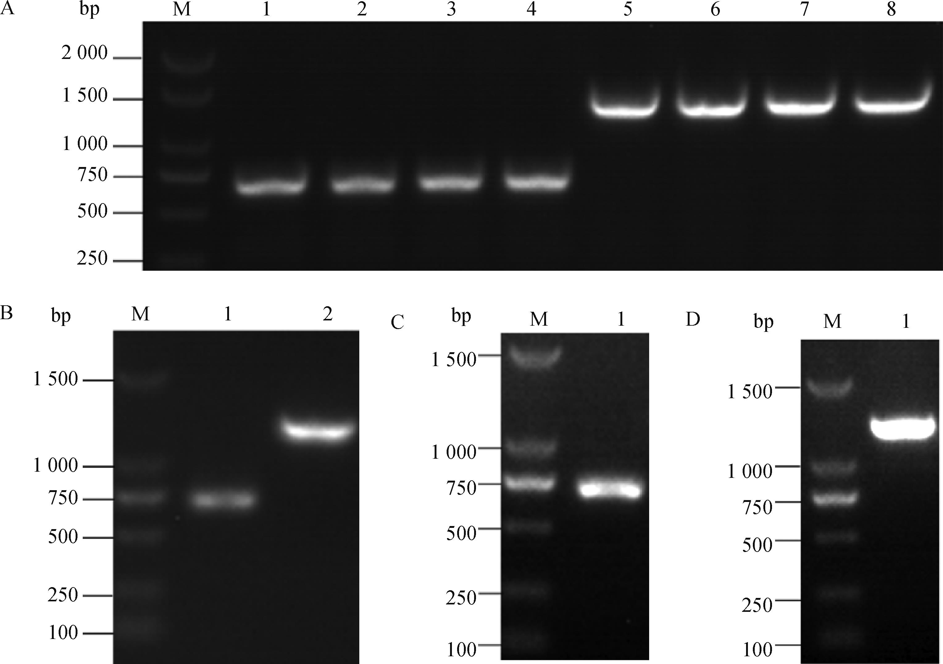
This study aimed to express a nanobody targeting H7-subtype avian influenza virus using an E. coli system. Nanobody and antigen expression vectors were constructed via homologous recombination. Recombinant vectors were amplified using E. coli DH5α, followed by transformation into E. coli BL21(DE3) and BEVS for high-yield protein production. Nanobodies and antigens were purified using streptavidin affinity chromatography and IMAC purification, respectively. Finally, immunofluorescence assay (IFA), enzyme-linked immunosorbent assay (ELISA), hemagglutination inhibition (HI) and surface plasmon resonance (SPR) were employed to analyze nanobody titer, specificity, immunoreactivity, and antigen-nanobody interaction dynamics. Expression vectors were successfully constructed, followed by the production of a 15 ku nanobody (D67), a 42 ku fluorescent nanobody (D67-GFP) and a 55 ku avian influenza antigen (H7-HA1). In IFA, H7-HA1-positive cells incubated with the nanobody exhibited significantly stronger green fluorescence signals compared to the control group. ELISA revealed significant OD450 signals exclusively in the H7-HA1 antigen group, with P/N ratios decreasing as D67 concentrations diminished. HI assays demonstrated specific hemagglutination inhibition only for the H7 antigen group, achieving a titer of 8log2. SPR analysis quantified the interaction kinetics, yielding an association rate of 3.99×103 L·(mol·s)⁻¹, dissociation rate of 3.23×10-3 s-1, and equilibrium dissociation constant of 8.1×10-7 mol·L⁻¹, confirming strong antigen-nanobody affinity.The H7-subtype-targeting nanobody D67 was successfully prepared and validated through a multidimensional evaluation system, demonstrating its high-efficiency and specific binding to H7-HA1. This work provides a technical foundation for developing rapid detection methods for H7-subtype avian influenza.

Key words: avian influenza, nanobody, biological activity, prokaryotic expression

CLC Number: