

Acta Veterinaria et Zootechnica Sinica ›› 2025, Vol. 56 ›› Issue (9): 4646-4656.doi: 10.11843/j.issn.0366-6964.2025.09.042
• Preventive Veterinary Medicine • Previous Articles Next Articles
					
													FU Yitian1(
), WU Yali1, PENG Yanyan1, SU Si2, LIU Guohua1,*(
)
												  
						
						
						
					
				
Received:2025-02-06
															
							
															
							
															
							
																	Online:2025-09-23
															
							
																	Published:2025-09-30
															
						Contact:
								LIU Guohua   
																	E-mail:fyt1997118@163.com;liuguohua5202008@163.com
																					CLC Number:
FU Yitian, WU Yali, PENG Yanyan, SU Si, LIU Guohua. Molecular Detection and Genetic Evolutionary Analysis of Rickettsia, Coxiella, and Bartonella Carried by the Cat Flea Ctenocephalides felis[J]. Acta Veterinaria et Zootechnica Sinica, 2025, 56(9): 4646-4656.
Table 1
Flea sample information"
| 样本地点 Sample site  |  宿主 Host  |  样本数量/只 Sample number  |  
| 山西晋中 Jinzhong,Shanxi | 犬 Dog | 12 | 
| 山西晋中 Jinzhong,Shanxi | 猫 Cat | 14 | 
| 山西太原 Taiyuan,Shanxi | 犬 Dog | 14 | 
| 四川成都 Chengdu,Sichuan | 犬 Dog | 21 | 
| 河南洛阳 Luoyang,Henan | 犬 Dog | 26 | 
| 河南三门峡 Sanmenxia,Henan | 犬 Dog | 24 | 
| 河南信阳 Xinyang,Henan | 猫 Cat | 13 | 
| 湖南长沙 Changsha,Hunan | 犬 Dog | 39 | 
| 湖南长沙 Changsha,Hunan | 猫 Cat | 11 | 
| 广东广州 Guangzhou,Guangdong | 犬 Dog | 11 | 
| 广东深圳 Shenzhen,Guangdong | 猫 Cat | 24 | 
| 广西北海 Beihai,Guangxi | 猫 Cat | 63 | 
| 江苏扬州 Yangzhou,Jiangsu | 猫 Cat | 22 | 
Table 2
Primer information"
| 物种 Species  |  目的序列 Target sequence  |  引物序列(5′→ 3′) Primer sequence  |  产物大小/bp Product size  |  参考文献 Reference  |  
| 跳蚤 Flea  |  ITS1 | F:GTACACACCGCCCGTGCGTACT R:GCTGCGTTCTTCATCGACCC  |  800 | [ |  
| 立克次体 Rickettsia  |  gltA | F:GCTCTTCTCATCCTATGGCTATTAT R:CAGGGTCTTCGTGCATTTCTT  |  401 | [ |  
| ompA | F:ATGGCGAATATTTCTCCAAAA R:AGTGCAGCATTCGCTCCCCCT  |  532 | ||
| 柯克斯体 Coxiella  |  IS1111 | F:TACTGGGTGTTGATATTGC R:CCGTTTCATCCGCGGTG  |  485 | [ |  
| F:GTAAAGTGATCTACACGA R:TTAACAGCGCTTGAACGT  |  260 | |||
| 巴尔通体 Bartonella  |  gltA | F:GGGGACCAGCTCATGG R:AATGCAAAAAGAACAGTA  |  380 | [ |  
| rpoB | F:CGCATTGGCTTACTTCGTATG R:GTAGACTGATTAGAACGCTG  |  825 | 
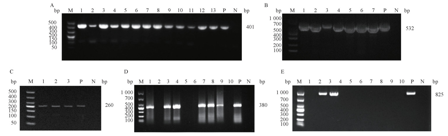
Fig. 3
PCR-amplified results of pathogen genes carried by flea samples A. PCR results of gltA gene of Rickettsia (M. DL500 DNA marker; 1-13.Flea samples; P. Positive control; N. Negative control); B. PCR results of ompA gene of Rickettsia (M. DL1000 DNA marker; 1-7.Flea samples; P. Positive control; N. Negative control); C. PCR results of IS1111 sequences of Coxiella (M. DL500 DNA marker; 1-3.Flea samples; P. Positive control; N. Negative control); D. PCR results of gltA gene of Bartonella (M. DL1000 DNA marker; 1-10.Flea samples; P. Positive control; N. Negative control); E. PCR results of ropB gene of Bartonella (M. DL1000 DNA marker; 1-10.Flea samples; P. Positive control; N. Negative control)"
														| 1 | ANDERSONJ,SALEHH M,PATEREKE.Treasure Island, FL: StatPearls Publishing[M].2024. | 
| 2 | 杨光友.兽医寄生虫病学[M].北京:中国农业出版社,2017:303-304. | 
| YANGG Y.Veterinary parasitology[M].Beijing:China Agriculture Press,2017:303-304. | |
| 3 |  
											HAMZAOUIB E,ZURITAA,CUTILLASC,et al.Fleas and flea-borne diseases of North Africa[J].Acta Trop,2020,211,105627.
																							 doi: 10.1016/j.actatropica.2020.105627  | 
										
| 4 |  
											NISBETA J,HUNTLEYJ F.Progress and opportunities in the development of vaccines against mites, fleas and myiasis-causing flies of veterinary importance[J].Parasite Immunol,2006,28(4):165-172.
																							 doi: 10.1111/j.1365-3024.2006.00803.x  | 
										
| 5 |  
											ZHANGY,NIEY,DENGY P,et al.The complete mitochondrial genome sequences of the cat flea Ctenocephalides felis felis (Siphonaptera: Pulicidae) support the hypothesis that C. felis isolates from China and USA were the same C. f. felis subspecies[J].Acta Trop,2021,217,105880.
																							 doi: 10.1016/j.actatropica.2021.105880  | 
										
| 6 |  
											MOOREC O,ANDRÉM R,ŠLAPETAJ,et al.Vector biology of the cat flea Ctenocephalides felis[J].Trends Parasitol,2024,40(4):324-337.
																							 doi: 10.1016/j.pt.2024.02.006  | 
										
| 7 |  
											RYMASZEWSKAA,PIOTROWSKIM.Rickettsia species: genetic variability, vectors, and rickettsiosis-a review[J].Pathogens,2024,13(8):661.
																							 doi: 10.3390/pathogens13080661  | 
										
| 8 |  
											SEIDIS,OMIDIA H,ESMAEILIS.Distribution of different Rickettsia species in countries of the WHO Eastern Mediterranean (WHO-EMRO) region: An overview[J].Travel Med Infect Dis,2024,58,102695.
																							 doi: 10.1016/j.tmaid.2024.102695  | 
										
| 9 | PEREIRAA,CRUZA,NOVOT,et al.Ctenocephalides felis (cat flea)[J].Trends Parasitol,2025,S1471-4922(24):00395-00397. | 
| 10 |  
											FERRADASC,SALVATIERRAG,PAYAHUANCAD,et al.Spotted fever group rickettsiae in black rats, pets, and humans in Zungarococha community, A rural area in the surroundings of Iquitos, Peru[J].Ticks Tick Borne Dis,2025,16(1):102436.
																							 doi: 10.1016/j.ttbdis.2024.102436  | 
										
| 11 |  
											BAUERB U,KNITTLERM R,ANDRACKJ,et al.Interdisciplinary studies on Coxiella burnetii: From molecular to cellular, to host, to one health research[J].Int J Med Microbiol,2023,313(6):151590.
																							 doi: 10.1016/j.ijmm.2023.151590  | 
										
| 12 |  
											STEPANICM,DUVNJAKS,REILI,et al.Epidemiology of Bartonella henselae infection in pet and stray cats in Croatia with risk factors analysis[J].Parasit Vectors,2024,17(1):48.
																							 doi: 10.1186/s13071-024-06117-8  | 
										
| 13 | WUY L,HUS F,ZHANGX L,et al.Complete bacterial profile and potential pathogens of cat fleas Ctenocephalides felis[J].Acta Trop,2023,243,1069. | 
| 14 |  
											ZHANGY,NIEY,LIL Y,et al.Population genetics and genetic variation of Ctenocephalides felis and Pulex irritans in China by analysis of nuclear and mitochondrial genes[J].Parasit Vectors,2022,15(1):266.
																							 doi: 10.1186/s13071-022-05393-6  | 
										
| 15 |  
											BERMÚDEZS,MARTÍNEZ-MANDICHEJ,DOMÍNGUEZL,et al.Diversity of Rickettsia in ticks collected from wild animals in Panama[J].Ticks Tick Borne Dis,2021,12(4):101723.
																							 doi: 10.1016/j.ttbdis.2021.101723  | 
										
| 16 |  
											FENOLLARF,FOURNIERP E,RAOULTD.Molecular detection of Coxiella burnetii in the sera of patients with Q fever endocarditis or vascular infection[J].J Clin Microbiol,2004,42(11):4919-4924.
																							 doi: 10.1128/JCM.42.11.4919-4924.2004  | 
										
| 17 | POOFERYJ,NARAPAKDEESAKULD,RIANAE,et al.Molecular identification and genetic diversity of Bartonella spp. in 24 bat species from Thailand[J].Transbound Emerg Dis,2022,69(4):e717-e733. | 
| 18 | 吴厚永.中国动物志: 昆虫纲蚤目[M].2版北京:科学出版社,2016:171-178. | 
| WUH Y.Fauna Sinica. Insecta. Siphonaptera[M].2nd edBeijing:Science Press,2016:171-178. | |
| 19 |  
											TRAVERSAD.Fleas infesting pets in the era of emerging extra-intestinal nematodes[J].Parasit Vectors,2013,6,59.
																							 doi: 10.1186/1756-3305-6-59  | 
										
| 20 |  
											AHMEDR,PAULS K,HOSSAINM A,et al.Molecular detection of Rickettsia felis in humans, cats, and cat fleas in Bangladesh, 2013-2014[J].Vector Borne Zoonotic Dis,2016,16(5):356-358.
																							 doi: 10.1089/vbz.2015.1886  | 
										
| 21 |  
											NELSONK,MAINAA N,BRISCOA,et al.A 2015 outbreak of flea-borne rickettsiosis in San Gabriel Valley, Los Angeles County, California[J].PLoS Negl Trop Dis,2018,12(4):e0006385.
																							 doi: 10.1371/journal.pntd.0006385  | 
										
| 22 |  
											TIANY,JUAREZJ G,MOLLER-VASQUEZA M,et al.Dog ectoparasites as sentinels for pathogenic Rickettsia and Bartonella in rural Guatemala[J].Acta Trop,2024,260,107401.
																							 doi: 10.1016/j.actatropica.2024.107401  | 
										
| 23 |  
											ZHANGJ,LUG,KELLYP,et al.First report of Rickettsia felis in China[J].BMC Infect Dis,2014,14,682.
																							 doi: 10.1186/s12879-014-0682-1  | 
										
| 24 |  
											ŠLAPETAJ,LAWRENCEA,REICHELM P.Cat fleas (Ctenocephalides felis)carrying Rickettsia felis and Bartonella species in Hong Kong[J].Parasitol Int,2018,67(2):209-212.
																							 doi: 10.1016/j.parint.2017.12.001  | 
										
| 25 | 罗忠林. 四川省部分地区犬体外寄生蚤种鉴定及蚤媒菌群研究[D]. 成都: 西南民族大学, 2023: 52-53. | 
| LUO Z L. Identification of in vitro parasitic flea species and study on flea vector flora in some areas of Sichuan Province[D]. Chengdu: Southwest Minzu University. 2023: 52-53. (in Chinese) | |
| 26 |  
											MINAHANN T,WUW J,TSAIK H.Rickettsia felis is an emerging human pathogen associated with cat fleas: A review of findings in Taiwan[J].J Microbiol Immunol Infect,2023,56(1):10-19.
																							 doi: 10.1016/j.jmii.2022.12.006  | 
										
| 27 |  
											ANSTEADG M.A one health perspective on the resurgence of flea-borne typhus in Texas in the 21st century: Part 1: the bacteria, the cat flea, urbanization, and climate change[J].Pathogens,2025,14(2):154.
																							 doi: 10.3390/pathogens14020154  | 
										
| 28 |  
											ŠPITALSKÁE,BOLDIŠV,MOŠANSKYL,et al.Rickettsia species in fleas collected from small mammals in Slovakia[J].Parasitol Res,2015,114(11):4333-4339.
																							 doi: 10.1007/s00436-015-4713-7  | 
										
| 29 | KAMANIJ,BANETHG,GUTIÉRREZR,et al.Molecular screening of Ctenocephalides felis fleas collected from stray cats in the Jerusalem District, Israel, for Bartonella spp., Rickettsia spp. and Coxiella burnetii[J].Vet Parasitol Reg Stud Rep,2015,1-2,59-64. | 
| 30 |  
											LOFTISA D,REEVESW K,SZUMLASD E,et al.Surveillance of Egyptian fleas for agents of public health significance: Anaplasma, Bartonella, Coxiella, Ehrlichia, Rickettsia, and Yersinia pestis[J].Am J Trop Med Hyg,2006,75(1):41-48.
																							 doi: 10.4269/ajtmh.2006.75.41  | 
										
| 31 |  
											ÁLVAREZ-FERNÁNDEZA,BREITSCHWERDTEB,SOLANO-GALLEGOL.Bartonella infections in cats and dogs including zoonotic aspects[J].Parasit Vectors,2018,11(1):624.
																							 doi: 10.1186/s13071-018-3152-6  | 
										
| 32 |  
											ABREU-YANESE,ABREU-ACOSTAN,KOSOYM,et al.Molecular detection of Bartonella henselae, Bartonella clarridgeiae and Rickettsia felis in cat and dog fleas in Tenerife, Canary Islands, Spain[J].J Vector Ecol,2020,45(2):233-240.
																							 doi: 10.1111/jvec.12394  | 
										
| 33 |  
											MUX,CHENS,HEC,et al.Bartonella henselae and Aspergillus flavus coinfection in an immunocompromised patient[J].Diagn Microbiol Infect Dis,2025,112(1):116708.
																							 doi: 10.1016/j.diagmicrobio.2025.116708  | 
										
| 34 |  
											YEX,GUANY,YUANJ.An unusual cause of cat scratch colon[J].Gastroenterology,2024,167(5):860-863.
																							 doi: 10.1053/j.gastro.2024.04.005  | 
										
| 35 | 姜冲冲,韩克阳,褚杰,等.猫抓病视神经视网膜炎1例[J].眼科,2025,34(2):156-157. | 
| JIANGC C,HANK Y,CHUJ,et al.A case of cat scratch disease with optic neuritis and retinitis[J].Ophthalmology,2025,34(2):156-157. | 
| [1] | XIANG Yang, YUAN Dongbo, HOU Wei, MO Xi, YIN Jie, YANG Aiguo, HAO Lili. PCR Detection and Genetic Relationship Analysis of Bartonella and Spotted Fever Group Rickettsiae in Melophagus ovinus [J]. Acta Veterinaria et Zootechnica Sinica, 2021, 52(6): 1700-1708. | 
| [2] | HE Xiutian, XIANG Yang, YUAN Dongbo, YANG Aiguo, FAN Xiaohu, TAN Xiong, ZHONG Yeqing, HAO Lili. PCR Detection and Phylogenetic Analysis of Bartonella spp. and Anaplasma spp. in Ixodid Ticks Collected from Yak and Plateau Pika in Songpan County of Sichuan Province [J]. Acta Veterinaria et Zootechnica Sinica, 2020, 51(6): 1438-1446. | 
| [3] | ZHOU Saisai, XIE Taifeng, QIAN Wenxian, WANG Yifei, LI Tianjiao, ZHU Jiaping, LUO Runbo, GONG Ga, GESANG Zhuoma, SUOLANG Sizhu. Detection of Bartonella and Sequence Analysis of gltA Gene in Tibetan Melophagus ovinus [J]. Acta Veterinaria et Zootechnica Sinica, 2020, 51(5): 1119-1125. | 
| Viewed | ||||||
| 
										Full text | 
									
										 | 
								|||||
| 
										Abstract | 
									
										 | 
								|||||