

Acta Veterinaria et Zootechnica Sinica ›› 2025, Vol. 56 ›› Issue (9): 4529-4545.doi: 10.11843/j.issn.0366-6964.2025.09.032
• Preventive Veterinary Medicine • Previous Articles Next Articles
					
													MAI Yanqi1(
), SUN Xiaozheng1, LIU Xiaoxuan1, LIANG Xinglan1, HUANG Ying1, WU Xiaojuan1, LIU Xiande1,*(
), PEI Yechun1,2,*(
)
												  
						
						
						
					
				
Received:2024-12-13
															
							
															
							
															
							
																	Online:2025-09-23
															
							
																	Published:2025-09-30
															
						Contact:
								LIU Xiande, PEI Yechun   
																	E-mail:1204737571@qq.com;xiande_liu79@hainanu.edu.cn;ycpei@hainanu.edu.cn
																					CLC Number:
MAI Yanqi, SUN Xiaozheng, LIU Xiaoxuan, LIANG Xinglan, HUANG Ying, WU Xiaojuan, LIU Xiande, PEI Yechun. Analysis of the Preventive Effect of Recombinant E. coli Expressing rFel d 1 against Fel d 1-Induced Allergic Asthma[J]. Acta Veterinaria et Zootechnica Sinica, 2025, 56(9): 4529-4545.
Table 1
Scoring criteria for pulmonary lesion grades"
| 评分  Score  |  肺部组织学特征  Histological features of lung tissue  |  
| 0 | HE:支气管周围无炎症细胞浸润;PAS:管腔内无杯状细胞;Masson:胶原纤维沉积含量正常  HE: No inflammatory cell infiltration around the bronchioles; PAS: Absence of goblet cells within the lumen; Masson: Normal collagen fiber deposition  |  
| 1 | HE:支气管周围偶尔出现炎症细胞;PAS:管腔内有1~5个杯状细胞;Masson:轻度胶原纤维化  HE: Occasional inflammatory cell infiltration around the bronchioles; PAS: 1-5 goblet cells within the lumen; Masson: Mild collagen fibrosis  |  
| 2 | HE:支气管周围有1~5层炎症细胞;PAS:管腔内杯状细胞数量为6~20个;Masson:中度胶原纤维化  HE: 1~5 layers of inflammatory cell infiltration around the bronchioles; PAS: 6-20 goblet cells within the lumen; Masson: Moderate collagen fibrosis  |  
| 3 | HE:支气管周围有超过5层炎症细胞浸润;PAS:管腔内杯状细胞超过20个;Masson:重度胶原纤维化  HE: More than 5 layers of inflammatory cell infiltration around the bronchioles; PAS: More than 20 goblet cells within the lumen; Masson: Severe collagen fibrosis  |  
Table 2
Primers list for qRT-PCR"
| 基因(M)  Gene(M)  |  正向序列(5′→3′)  Forward sequence  |  反向序列(5′→3′)  Reverse sequence  |  
| IL-5 | CCCTCATCCTCTTCGTTGCAT | ATGTGATCCTCCTGCGTCCAT | 
| IL-13 | GGCAGCAGCTTGAGCACATT | GGCATAGGCAGCAAACCATG | 
| GATA3 | CAGAACCGGCCCCTTATCA | ACAGTTCGCGCAGGATGTC | 
| RORγt | ACAGCCACTGCATTCCCAGTTT | TCTCGGAAGGACTTGCAGACAT | 
| T-bet | CCTCTTCTATCCAACCAGTATC | CTCCGCTTCATAACTGTGT | 
| IFN-γ | TCAAGTGGCATAGATGTGGAAGAA | TGGCTCTGCAGGATTTTCATG | 
| IL-17A | CAGCAGCGATCATCCCTCAAAG | CAGGACCAGGATCTCTTGCTG | 
| TGF-β | CACCGGAGAGCCCTGGATA | TGTACAGCTGCCGCACACA | 
| FOXP3 | CAGCTGCCTACAGTGCCCCTAG | CATTTGCCAGCAGTGGGTAG | 
| β-actin | AGTGTGACGTTGACATCCGTA | GCCAGAGCAGTAATCTCCTTCT | 
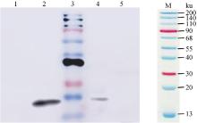
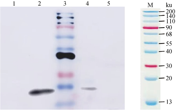
Fig. 1
The expression of rFel d 1 was detected by Western blot 1.Bacteria without arabinose induction; 2.Bacteria with arabinose induction; 3.Multicolor prestained protein marker; 4.Lung tissue from mice induced by intraperitoneal injection of arabinose; 5.Lung tissue from mice without intraperitoneal injection of arabinose; M. Molecular weight of the multicolor prestained protein marker"
														Fig. 2
The levels of rFel d 1-Specific IgE, IgG, IgG1, and IgG2a in mouse serum A. The levels of rFel d 1-Specific IgE in mouse serum; B. The levels of rFel d 1-Specific IgG in mouse serum; C. The levels of rFel d 1-Specific IgG1 in mouse serum; D. The levels of rFel d 1-Specific IgG2a in mouse serum; Results are expressed as "$\bar{x} \pm s_{\bar{x}}$" of 6 mice per group. One-way ANOVA: *. P < 0.05, **. P < 0.01, ***. P < 0.001 different from the allergic group; ns. No significantly different from the allergic group"
														Fig. 3
Detection of airway hyperreactivity in mice A. Airway responsiveness to increasing doses of acetylcholine chloride were determined using whole-body plethysmography; B. The area under the curve(AUC)of airway responsiveness changes. Results are expressed as "$\bar{x} \pm s_{\bar{x}}$" of 6 mice per group. One-way ANOVA: *. P < 0.05, **. P < 0.01, ***. P < 0.001 different from allergic group; ns. No significantly different from allergic group"
														Fig. 4
Ear prick and stress-induced allergic reaction test A. Representative pictures of skin active cutaneous anaphylaxis; B. The area of dye leakage analysis by image J; C. Analysis of Evans Blue absorbance by spectrophotometry (620 nm); D. Change in body temperature after i.v. with rFel d 1;E. The area under the body temperature variation curve. Results are expressed as "$\bar{x} \pm s_{\bar{x}}$" of 6 mice per group. One-way ANOVA: *. P < 0.05, **. P < 0.01, ***. P < 0.001 different from allergic group; ns. No significantly different from allergic group"
														Fig. 5
Histopathological examination of mouse lungs A. Lung tissue Masson staining (20×); B. Lung tissue HE staining (20×); C. Lung tissue PAS staining (black arrows indicate goblet cells, 20×); D. HE staining score; E. PAS staining score; F. Masson staining score. Results are expressed as "$\bar{x} \pm s_{\bar{x}}$" of 6 mice per group. One-way ANOVA: *. P < 0.05, **. P < 0.01, ***. P < 0.001 different from allergic group; ns. No significantly different from allergic group"
														Fig. 6
The impact of recombinant E. coli strain EcNrFel d 1 on cytokine mRNA level in mouse lung tissue A. The mRNA level of IL-5;B. The mRNA level of IL-13;C. The mRNA level of GATA3; D. The mRNA level of RORγt; E. The mRNA level of IL-17A;F. The mRNA level of FOXP3. Results are expressed as "$\bar{x} \pm s_{\bar{x}}$" of 6 mice per group. One-way ANOVA: *. P < 0.05, **. P < 0.01, ***. P < 0.001 different from allergic group; ns. No significantly different from allergic group"
														Fig. 7
Results of cell differential counting in mouse BALF A. Flow cytometry results of mouse BALF; B. Statistical chart of CD11c-CCR3+ eosinophils; C. Statistical chart of CD11c-CCR3- neutrophils. Results are expressed as "$\bar{x} \pm s_{\bar{x}}$" of 6 mice per group. One-way ANOVA: *. P < 0.05, **. P < 0.01, ***. P < 0.001 different from allergic group; ns. No significantly different from allergic group"
														Fig. 8
Levels of differential T cells in splenocytes test A. Flow cytometry graph of CD4+CD25+FOXP3+ of T cell levels; B. Flow cytometry graph of CD4+IL-17A+ of T cell levels; C. Flow cytometry graph of CD4+IL-4+ and CD4+IFN-γ+ of T cell levels; D. Percentage chart of CD4+CD25+FOXP3+ of T cell levels; E. Percentage chart of CD4+IL-17A+ of T cell levels; F. Percentage chart of CD4+IL-4+ of T cell levels; G. Percentage chart of CD4+IFN-γ+ of T cell levels. Results are expressed as "$\bar{x} \pm s_{\bar{x}}$" of 6 mice per group. One-way ANOVA: *. P < 0.05, **. P < 0.01, ***. P < 0.001 different from allergic group; ns. No significantly different from allergic group; #. P < 0.05 different from EcNrFel d 1 group"
														| 1 |  
											  VAN HAGE M ,  KACK U ,  ASARNOJ A , et al.  An update on the prevalence and diagnosis of cat and dog allergy-emphasizing the role of molecular allergy diagnostics[J]. Mol Immunol, 2023, 157, 1- 7. 
																							 doi: 10.1016/j.molimm.2023.03.003  | 
										
| 2 |  
											  YANG M S ,  LEE S P ,  KWON Y J , et al.  Dog and cat allergies and allergen avoidance measures in Korean adult pet owners who participated in a pet exhibition[J]. Allergy Asthma Immunol Res, 2018, 10 (2): 155- 164. 
																							 doi: 10.4168/aair.2018.10.2.155  | 
										
| 3 |  
											  CHARPIN C ,  MATA P ,  CHARPIN D , et al.  Fel d I allergen distribution in cat fur and skin[J]. J Allergy Clin Immunol, 1991, 88 (1): 77- 82. 
																							 doi: 10.1016/0091-6749(91)90303-6  | 
										
| 4 |  
											  GRONLUND H ,  SAARNE T ,  GAFVELIN G , et al.  The major cat allergen, Fel d 1, in diagnosis and therapy[J]. Int Arch Allergy Immunol, 2010, 151 (4): 265- 274. 
																							 doi: 10.1159/000250435  | 
										
| 5 |  
											  LUCZYNSKA C M ,  LI Y ,  CHAPMAN M D , et al.  Airborne concentrations and particle size distribution of allergen derived from domestic cats(Felis domesticus). Measurements using cascade impactor, liquid impinger, and a two-site monoclonal antibody assay for Fel d I[J]. Am Rev Respir Dis, 1990, 141 (2): 361- 367. 
																							 doi: 10.1164/ajrccm/141.2.361  | 
										
| 6 |  
											  MELLERUP M T ,  HAHN G W ,  POULSEN L K , et al.  Safety of allergen-specific immunotherapy. Relation between dosage regimen, allergen extract, disease and systemic side-effects during induction treatment[J]. Clin Exp Allergy, 2000, 30 (10): 1423- 1429. 
																							 doi: 10.1046/j.1365-2222.2000.00910.x  | 
										
| 7 |  
											  STRACHAN D P .  Hay fever, hygiene, and household size[J]. Br Med J, 1989, 299 (6710): 1259- 1260. 
																							 doi: 10.1136/bmj.299.6710.1259  | 
										
| 8 |  
											  LEE M J ,  KANG M J ,  LEE S Y , et al.  Perturbations of gut microbiome genes in infants with atopic dermatitis according to feeding type[J]. J Allergy Clin Immunol, 2018, 141 (4): 1310- 1319. 
																							 doi: 10.1016/j.jaci.2017.11.045  | 
										
| 9 |  
											  THORSEN J ,  RASMUSSEN M A ,  WAAGE J , et al.  Infant airway microbiota and topical immune perturbations in the origins of childhood asthma[J]. Nat Commun, 2019, 10 (1): 5001. 
																							 doi: 10.1038/s41467-019-12989-7  | 
										
| 10 |  
											  ZIMMERMANN P ,  MESSINA N ,  MOHN W W , et al.  Association between the intestinal microbiota and allergic sensitization, eczema, and asthma: A systematic review[J]. J Allergy Clin Immunol, 2019, 143 (2): 467- 485. 
																							 doi: 10.1016/j.jaci.2018.09.025  | 
										
| 11 | WANG L , ZHU L M , QIN S . Gut microbiota modulation on intestinal mucosal adaptive immunity[J]. J Immunol Res, 2019, 2019, 4735040. | 
| 12 |  
											  LUO X Y ,  WANG H ,  LIU H X , et al.  Effects of probiotics on the prevention and treatment of children with allergic rhinitis: a meta-analysis of randomized controlled trials[J]. Front Pediatr, 2024, 12, 1352879. 
																							 doi: 10.3389/fped.2024.1352879  | 
										
| 13 |  
											  ANANIA C ,  DI MARINO V P ,  OLIVERO F , et al.  Treatment with a probiotic mixture containing Bifidobacterium animalis subsp. Lactis BB12 and Enterococcus faecium L3 for the prevention of allergic rhinitis symptoms in children: A randomized controlled trial[J]. Nutrients, 2021, 13 (4): 1315- 1315. 
																							 doi: 10.3390/nu13041315  | 
										
| 14 |  
											  YAMASHITA M ,  MIYOSHI M ,  IWAI M , et al.  Lactobacillus helveticus SBT2171 alleviates perennial allergic rhinitis in Japanese adults by suppressing eosinophils: A randomized, double-blind, placebo-controlled study[J]. Nutrients, 2020, 12 (12): 3620- 3620. 
																							 doi: 10.3390/nu12123620  | 
										
| 15 |  
											  YU X L ,  LIN C S ,  YU J , et al.  Bioengineered Escherichia coli Nissle 1917 for tumour-targeting therapy[J]. Microb Biotechnol, 2020, 13 (3): 629- 636. 
																							 doi: 10.1111/1751-7915.13523  | 
										
| 16 |  
											  ZHAO Z J ,  XU S M ,  ZHANG W Y , et al.  Probiotic Escherichia coli NISSLE 1917 for inflammatory bowel disease applications[J]. Food Funct, 2022, 13 (11): 5914- 5924. 
																							 doi: 10.1039/D2FO00226D  | 
										
| 17 | 刘志伟. 一株产亚精胺的工程益生菌Nissle 1917的构建[D]. 长春: 吉林大学, 2024. | 
| LIU Z W. Construction of a spermidine-producing engineered probiotic Nissle 1917[D]. Changchun: Jilin University, 2024. (in Chinese) | |
| 18 |  
											  SARATE P J ,  HEINL S ,  POIRET S , et al.  E. coli Nissle 1917 is a safe mucosal delivery vector for a birch-grass pollen chimera to prevent allergic poly-sensitization[J]. Mucosal Immunol, 2019, 12 (1): 132- 144. 
																							 doi: 10.1038/s41385-018-0084-6  | 
										
| 19 |  
											 彭美琪, 魏春洁, 郑安琪, 等.  层状双氢氧化物-rFel d 1-Can f 1融合变应原对小鼠模型过敏反应的预防效果分析[J]. 畜牧兽医学报, 2024, 55 (7): 3143- 3154. 
																							 doi: 10.11843/j.issn.0366-6964.2024.07.032  | 
										
|  
											  PENG M Q ,  WEI C J ,  ZHENG A Q , et al.  Preventive effect of layered double hydroxide-rFel d 1-Can f 1 fusion allergens on anaphylaxis in mouse model[J]. Acta Veterinaria et Zootechnica Sinica, 2024, 55 (7): 3143- 3154. 
																							 doi: 10.11843/j.issn.0366-6964.2024.07.032  | 
										|
| 20 | 李树民, 张敏, 王朋, 等. 小鼠无创性肺功能的测定及其意义[J]. 中国实验动物学报, 2018, 26 (5): 548- 553. | 
| LI S M , ZHANG M , WANG P , et al. The significance of a non-invasive measurement of lung function in mice[J]. Acta Laboratorium Animalis Scientia Sinica, 2018, 26 (5): 548- 553. | |
| 21 |  
											 罗承慧, 高江瑞, 陈俊威, 等.  尘螨诱导特应性皮炎小鼠模型和哮喘小鼠模型的构建[J]. 畜牧兽医学报, 2024, 55 (3): 1257- 1267. 
																							 doi: 10.11843/j.issn.0366-6964.2024.03.037  | 
										
|  
											  LUO C H ,  GAO J R ,  CHEN J W , et al.  Construction of mouse model of dust mite induced atopic dermatitis and asthma[J]. Acta Veterinaria et Zootechnica Sinica, 2024, 55 (3): 1257- 1267. 
																							 doi: 10.11843/j.issn.0366-6964.2024.03.037  | 
										|
| 22 | RADU M , CHERNOFF J . An in vivo assay to test blood vessel permeability[J]. J Vis Exp, 2013, 73, e50062. | 
| 23 | 魏春洁, 徐琳皓, 高江瑞, 等. 猫、犬融合变应原Fel d 1-Can f 1过敏性哮喘小鼠模型的建立[J]. 热带生物学报, 2024, 15 (5): 558- 566. | 
| WEI C J , XU L H , GAO J R , et al. Construction of a mouse model of allergic asthma induced by fusion of allergen Fel d 1-Can f 1 of cats and dogs[J]. Journal of Tropical Biology, 2024, 15 (5): 558- 566. | |
| 24 | PRANGTAWORN P , CHAISRI U , SEESUAY W , et al. Tregitope-linked refined allergen vaccines for immunotherapy in cockroach allergy[J]. Scientific Reports, 2018, 8 (1): 0- 0. | 
| 25 |  
											 罗应, 彭美琪, 肖正泮, 等.  热带无爪螨主要变应原Blo t 5和Blo t 21融合表达质粒诱导小鼠产生IgG和调节性T细胞[J]. 畜牧兽医学报, 2022, 53 (4): 1220- 1230. 
																							 doi: 10.11843/j.issn.0366-6964.2022.04.022  | 
										
|  
											  LUO Y ,  PENG M Q ,  XIAO Z P , et al.  Expression of Blomia tropicalis major allergens Blo t 5 and Blo t 21 induced the production of IgG and regulatory T cells in mice[J]. Acta Veterinaria et Zootechnica Sinica, 2022, 53 (4): 1220- 1230. 
																							 doi: 10.11843/j.issn.0366-6964.2022.04.022  | 
										|
| 26 |  
											  HEDLIN G ,  GRAFF-LONNEVIG V ,  HEILBORN H , et al.  Immunotherapy with cat- and dog-dander extracts. V. Effects of 3 years of treatment[J]. J Allergy Clin Immunol, 1991, 87 (5): 955- 964. 
																							 doi: 10.1016/0091-6749(91)90417-M  | 
										
| 27 |  
											  HEDLIN G ,  GRAFF-LONNEVIG V ,  HEILBORN H , et al.  Immunotherapy with cat- and dog-dander extracts. Ⅱ. In vivo and in vitro immunologic effects observed in a 1-year double-blind placebo study[J]. J Allergy Clin Immunol, 1986, 77 (3): 488- 496. 
																							 doi: 10.1016/0091-6749(86)90184-3  | 
										
| 28 | JUNIPER E F , STAHL E , DOTY R L , et al. Clinical outcomes and adverse effect monitoring in allergic rhinitis[J]. J Allergy Clin Immunol, 2005, 115 (3 Suppl 1): S390- 413. | 
| 29 |  
											  SHAMJI M H ,  VALENTA R ,  JARDETZKY T , et al.  The role of allergen-specific IgE, IgG and IgA in allergic disease[J]. Allergy, 2021, 76 (12): 3627- 3641. 
																							 doi: 10.1111/all.14908  | 
										
| 30 |  
											  VITTE J ,  VIBHUSHAN S ,  BRATTI M , et al.  Allergy, anaphylaxis and non-allergic hypersensitivity: IgE, mast cells and beyond[J]. Med Prin Pract, 2022, 31 (6): 501- 515. 
																							 doi: 10.1159/000527481  | 
										
| 31 |  
											  ZHOU X L ,  SONG X Z ,  SHU T , et al.  Prevention and alleviation of allergic rhinitis by oral administration of Lacticaseibacillus paracasei GOLDGUT-Lpc969[J]. Front Immunol, 2024, 15, 1444778. 
																							 doi: 10.3389/fimmu.2024.1444778  | 
										
| 32 | REN J J , ZHAO Y , HUANG S , et al. Immunomodulatory effect of Bifidobacterium breve on experimental allergic rhinitis in BALB/c mice[J]. Exp Ther Med, 2018, 16 (5): 3996- 4004. | 
| 33 |  
											  JOHNATHAN M ,  MUHAMAD S A ,  GAN S H , et al.  Lignosus rhinocerotis cooke ryvarden ameliorates airway inflammation, mucus hypersecretion and airway hyperresponsiveness in a murine model of asthma[J]. PLoS One, 2021, 16 (3): e0249091- e0249091. 
																							 doi: 10.1371/journal.pone.0249091  | 
										
| 34 |  
											  NAKAMURA T ,  MURATA T .  Regulation of vascular permeability in anaphylaxis[J]. Br J Pharmacol, 2018, 175 (13): 2538- 2542. 
																							 doi: 10.1111/bph.14332  | 
										
| 35 |  
											  BAO C ,  CHEN O ,  SHENG H , et al.  A mast cell-thermoregulatory neuron circuit axis regulates hypothermia in anaphylaxis[J]. Sci Immunol, 2023, 8 (81): eadc9417. 
																							 doi: 10.1126/sciimmunol.adc9417  | 
										
| 36 |  
											  AITORO R ,  SIMEOLI R ,  AMOROSO A , et al.  Extensively hydrolyzed casein formula alone or with L-rhamnosus GG reduces-lactoglobulin sensitization in mice[J]. Pediatr Allergy Immunol, 2017, 28 (3): 230- 237. 
																							 doi: 10.1111/pai.12687  | 
										
| 37 |  
											  HANIDZIAR D ,  KOULMANDA M .  Inflammation and the balance of Treg and Th17 cells in transplant rejection and tolerance[J]. Curr Opin Organ Transplant, 2010, 15 (4): 411- 415. 
																							 doi: 10.1097/MOT.0b013e32833b7929  | 
										
| 38 | WANG K , DONG H , QI Y , et al. Lactobacillus casei regulates differentiation of Th17/Treg cells to reduce intestinal inflammation in mice[J]. Can J Vet Res, 2017, 81 (2): 122- 128. | 
| [1] | YANG Yuxiang, WANG Pengpeng, LI Bin, XIE Liuwei, XIU Fuxiao, LIU Chengwu. Research Progress on the Application and Mechanism of Probiotics in Canine Intestinal Diseases [J]. Acta Veterinaria et Zootechnica Sinica, 2025, 56(8): 3610-3620. | 
| [2] | Jiali ZHOU, Baolong DING, Ziming MA, Xingang DAN, Hongxi ZHAO. Research Progress on the Correlation between Endometritis and Gastrointestinal Microorganisms and the Role of Probiotics in Dairy Cows [J]. Acta Veterinaria et Zootechnica Sinica, 2024, 55(8): 3321-3330. | 
| [3] | Meiqi PENG, Chunjie WEI, Anqi ZHENG, Yikun ZHU, Linhao XU, Chenghui LUO, Shuangshuang WEI, Yechun PEI. Preventive Effect of Layered Double Hydroxide-rFel d 1-Can f 1 Fusion Allergens on Anaphylaxis in Mouse Model [J]. Acta Veterinaria et Zootechnica Sinica, 2024, 55(7): 3143-3154. | 
| [4] | LIU Jiahui, WU Kaikai, WANG Lei, ZHANG Kang, HAN Songwei, CHEN Fubin, XU Guowei, GUO Zhiting, GU Xueyan, ZHANG Jingyan, LI Jianxi. Protective Effects of Astragalus Polysaccharides, Saponins and Probiotic Compounds on Intestinal Tract of Broilers Infected with E.coli [J]. Acta Veterinaria et Zootechnica Sinica, 2024, 55(5): 2241-2252. | 
| [5] | LI Chunxiao, AN Wei, GAO Boquan, WANG Zhenlong, HAN Bing, TAO Hui, WANG Jinquan, WANG Xiumin. Recent Progress of Major Allergens in Cats and Dogs [J]. Acta Veterinaria et Zootechnica Sinica, 2024, 55(2): 471-480. | 
| [6] | ZHU Qian, CHENG Yating, LI Ruixuan, LI Chenjian, LIU Yating, KONG Xiangfeng. Effects of Probiotics and Synbiotics Addition to Sows’ Diet on Fatty Acid Composition and Related Gene Expression in Muscle of Offspring Bama Mini-Pigs [J]. Acta Veterinaria et Zootechnica Sinica, 2023, 54(6): 2458-2467. | 
| [7] | LI Zhaoyan, GAO Jiang, GUO Shihui, ZHAO Ruqian, MA Wenqiang. Advances in Detection Methods and Control Solutions for Feline Allergens [J]. Acta Veterinaria et Zootechnica Sinica, 2023, 54(6): 2272-2279. | 
| [8] | ZHOU Min, WANG Kaige, ZHANG Lian, MA Xi. Advances in Microbiota-Gut-Muscle Axis Regulating Skeletal Muscle Metabolism and Function [J]. Acta Veterinaria et Zootechnica Sinica, 2022, 53(9): 2845-2857. | 
| [9] | ZHANG Lihuan, ZHANG Ruonan, JIA Hao, MA Yueyue, ZHU Zhiwei, LI Huifeng, CHEN Yuanyu. Effects of Probiotics Interaction on Growth Performance, Intestinal Digestion and Absorption, and Sugar Transporter GLUT2 in Broilers [J]. Acta Veterinaria et Zootechnica Sinica, 2020, 51(9): 2165-2176. | 
| [10] | TANG Zhi-ru,DENG Huan,SUN Wei-zhong,ZHANG Xiao-long,ZHANG Zhu. Study on the Mechanism of Orally Administered Probiotics Escherichia coli Nissle 1917 Regulating Intestine Barrier in Weaned Piglets [J]. ACTA VETERINARIA ET ZOOTECHNICA SINICA, 2014, 45(1): 78-86. | 
| [11] | JIN Er-hui, CHEN Yao-xing, WANG Qun, QIAO En-mei, WU Guo-zhong, LI Sheng-he. Effect of the Bacillus Probiotics on Blood Cells and Structure of Immune Organs in Broilers [J]. ACTA VETERINARIA ET ZOOTECHNICA SINICA, 2013, 44(5): 778-787. | 
| [12] | HAO Gui-juan, ZHANG Kai, WANG Xu-rong, ZHANG Jing-yan, WANG Xue-zhi,MENG Jia-ren, YANG Zhi-qiang, LI Jian-xi. Analysis of aga2 Gene Expression Derived from Probiotics FGM in Astragalus membranaceus Fermentation [J]. ACTA VETERINARIA ET ZOOTECHNICA SINICA, 2013, 44(4): 642-648. | 
| [13] | ZHOU Yi;DIAO Qi-yu;TU Yan;YUN Qiang;GUO Xu-dong. Effect of Yeast β-glucan and Antibiotics on Growth and IntestinalMicroflora in Early-weaning Calves [J]. ACTA VETERINARIA ET ZOOTECHNICA SINICA, 2010, 41(6): 685-691. | 
| [14] | PAN Cui-ling;HUANG Ke-he;ZHAO Yu-xin;QIN Shun-yi;CHEN Fu . Effect of Different Selenium Sources on Selenium Contents andthe Antioxidant Capacity of Hen Tissues [J]. ACTA VETERINARIA ET ZOOTECHNICA SINICA, 2010, 41(12): 1605-1613. | 
| [15] | PAN Cui-ling;HUANG Ke-he;ZHAO Yu-xin;CHEN Fu;JIAO Miao;RAO Jing-jing. Effect of Selenium Source and Level in Diets on Spleen Selenium Content and Immune Function of Laying Hen [J]. ACTA VETERINARIA ET ZOOTECHNICA SINICA, 2008, 39(11): 1523-1529. | 
| Viewed | ||||||
| 
										Full text | 
									
										 | 
								|||||
| 
										Abstract | 
									
										 | 
								|||||