

Acta Veterinaria et Zootechnica Sinica ›› 2026, Vol. 57 ›› Issue (1): 414-422.doi: 10.11843/j.issn.0366-6964.2026.01.036
• PREVENTIVE VETERINARY MEDICINE • Previous Articles Next Articles
ZHU Wei1,2,3,4(
), QIU Rulong2,3,4(
), CHEN Mengmeng2,3,4, HU Bo2,3,4, WEI Houjun2,3,4, FAN Zhiyu2,3,4, GE Lei2,3,4, WU Mengting2,3,4, SONG Yanhua1,2,3,4(
), WANG Fang1,2,3,4(
)
Received:2024-09-25
Online:2026-01-23
Published:2026-01-26
Contact:
SONG Yanhua, WANG Fang
E-mail:1276306080@qq.com;307821498@qq.com;songyanhua8507@126.com;rwangfang@126.com
CLC Number:
ZHU Wei, QIU Rulong, CHEN Mengmeng, HU Bo, WEI Houjun, FAN Zhiyu, GE Lei, WU Mengting, SONG Yanhua, WANG Fang. Establishment and Application of Indirect ELISA Method based on RHDV RdRp Protein[J]. Acta Veterinaria et Zootechnica Sinica, 2026, 57(1): 414-422.
Table 1
Information table of 18 rabbit virus isolates"
序号 Number | 株系 Strain | 登录号 Accession No. | 基因型 Gene type | 国家 Country | 分离年份 Isolation year |
|---|---|---|---|---|---|
| 1 | AUS/NSW/CAT_2-12/2007 | KX357674.1 | GI.4 | 澳大利亚 | 2007 |
| 2 | AUS/NSW/LWR-1/2010 | KX357676.1 | GI.4 | 澳大利亚 | 2010 |
| 3 | AUS/VIC/BM-60/2009 | KX357705.1 | GI.4 | 澳大利亚 | 2009 |
| 4 | CD/China | AY523410.1 | GI.1 | 中国 | 2004 |
| 5 | GI.3/O cun/FR/2006/06-11 | MN737115.1 | GI.3 | 法国 | 2006 |
| 6 | GI.3/Ocun/FR/2008/08-133 | MN746289.1 | GI.3 | 法国 | 2008 |
| 7 | GI.3/O cun/FR/2009/09-48 | MN737116.1 | GI.3 | 法国 | 2009 |
| 8 | HB | KY437668.1 | GI.1 | 中国 | 2016 |
| 9 | Italy-90 | EU003579.1 | GI.1 | 意大利 | 1990 |
| 10 | LIB | MN853659.1 | GI.2 | 波兰 | 2018 |
| 11 | NJ-2009 | HM623309.1 | GI.1 | 中国 | 2009 |
| 12 | RHDV2-NL2016 | MN061492.1 | GI.2 | 荷兰 | 2016 |
| 13 | RHDV-V351 | U54983.1 | GI.1 | 捷克 | 1996 |
| 14 | RHDV-N11 | KM878681.1 | GI.2 | 西班牙 | 2011 |
| 15 | Rij06-12 | KP129395.1 | GI.2 | 西班牙 | 2014 |
| 16 | RHDV2-SC2020/0401 | MT586027.1 | GI.2 | 中国 | 2020 |
| 17 | SOS404 | MG763950.1 | GI.2 | 葡萄牙 | 2015 |
| 18 | ZD0 | KU882095.1 | GI.1 | 波兰 | 2000 |
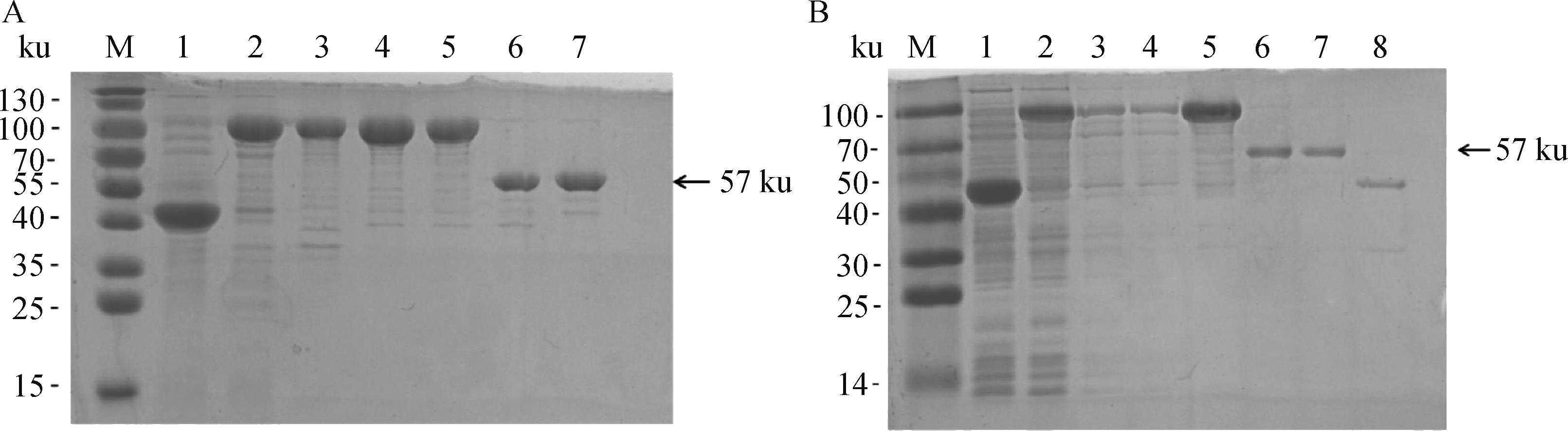
Fig.1
Purification results of recombinant RdRp protein after digestionA. Digestion and purification of RHDV1-RdRp protein: M.Marker; 1. No-load induction control; 2. Supernatant before purification; 3. Inclusion body; 4-5. Recombinant RdRp protein after purification; 6-7. RdRp protein after purification by enzyme digestion. B. Digestion and purification of RHDV2-RdRp protein: M.Marker; 1. No-load induction control; 2. Supernatant before purification; 3. flow through; 4. Cleaning; 5. Recombinant RdRp protein after purification; 6-7. RdRp protein after purification by enzyme digestion; 8. Eluted MBP protein"
Fig.2
Western blot identification results of RHDV1-RdRp and RHDV2-RdRp proteins with positive infection seraM. Marker; 1-2. Western blot identification results of RHDV1-RdRp and RHDV2-RdRp proteins with RHDV1 positive infection sera; 3-4. Western blot identification results of RHDV1-RdRp and RHDV2-RdRp proteins with RHDV2 positive infection sera"
Table 1
Determination of critical values of RdRp ELISA"
编号 Number | OD450 nm值 OD450 nm value | 编号 Number | OD450 nm值 OD450 nm value | 编号 Number | OD450 nm值 OD450 nm value | 编号 Number | OD450 nm值 OD450 nm value |
|---|---|---|---|---|---|---|---|
| 1 | 0.130 9 | 11 | 0.096 5 | 21 | 0.191 9 | 31 | 0.070 4 |
| 2 | 0.115 7 | 12 | 0.109 8 | 22 | 0.072 5 | 32 | 0.102 5 |
| 3 | 0.115 7 | 13 | 0.140 2 | 23 | 0.199 1 | 33 | 0.117 6 |
| 4 | 0.156 9 | 14 | 0.116 9 | 24 | 0.081 3 | 34 | 0.138 4 |
| 5 | 0.143 6 | 15 | 0.081 8 | 25 | 0.107 2 | 35 | 0.071 9 |
| 6 | 0.187 0 | 16 | 0.103 5 | 26 | 0.158 6 | 36 | 0.125 7 |
| 7 | 0.168 9 | 17 | 0.095 7 | 27 | 0.117 9 | 37 | 0.178 |
| 8 | 0.170 4 | 18 | 0.109 0 | 28 | 0.101 8 | 38 | 0.149 4 |
| 9 | 0.084 1 | 19 | 0.117 1 | 29 | 0.098 9 | 39 | 0.134 5 |
| 10 | 0.116 2 | 20 | 0.071 3 | 30 | 0.090 0 | 40 | 0.136 8 |
| [1] | HU B,WEI H,FAN Z,et al.Emergence of rabbit haemorrhagic disease virus 2 in China in 2020[J].Vet Med Sci,2021,7(1):236-239. |
| [2] | LIU SJ,XUE HP,PU BQ,et al.A new viral disease in rabbit[J].Anim Husb Vet Med,1984,16:253-255. |
| [3] | ABRANTES J,VAN DER LOO W,LE PENDU J,et al.Rabbit haemorrhagic disease (RHD) and rabbit haemorrhagic disease virus (RHDV):a review[J].Vet Res,2012,43(1):12. |
| [4] | LE GALL-RECULE G,ZWINGELSTEIN F,LAURENT S,et al.Phylogenetic analysis of rabbit haemorrhagic disease virus in France between 1993 and 2000,and the characterisation of RHDV antigenic variants[J].Arch Virol,2003,148(1):65-81. |
| [5] | LE GALL-RECULE G,ZWINGELSTEIN F,BOUCHER S,et al.Detection of a new variant of rabbit haemorrhagic disease virus in France[J].Vet Rec,2011,168(5):137-138. |
| [6] | LE GALL-RECULE G,LAVAZZA A,MARCHANDEAU S,et al.Emergence of a new lagovirus related to rabbit haemorrhagic disease virus[J].Vet Res,2013,44(1):81. |
| [7] | 魏后军,胡 波,范志宇,等.兔出血症病毒2型的分离鉴定与序列分析[J].江苏农业学报,2020,36(02):404-409. |
| WEI H J,HU B,FAN Z Y,et al.Isolation,identification and sequence analysis of rabbit hemorrhagic disease virus type 2[J].Jiangsu Journal of Agricultural Sciences,2020,36(2):404-409.(in Chinese) | |
| [8] | XU Z J,CHEN W X.Viral haemorrhagic disease in rabbits:a review[J].Vet Res Commun,1989,13(3):205-212. |
| [9] | SMID B,VALICEK L,STEPANEK J,et al.Experimental transmission and electron microscopic demonstration of the virus of haemorrhagic disease of rabbits in Czechoslovakia[J].Zentralbl Veterinarmed B,1989,36(3):237-240. |
| [10] | ALEXANDROV M,PESHEV R,BOZHKOV S,et al.Electron- and immunoelectron-microscopic investigation on the rabbit haemorrhagic disease virus[J].Comp Immunol Microbiol Infect Dis,1993,16(1):21-27. |
| [11] | ABRANTES J,LOPES A M.A Review on the methods used for the detection and diagnosis of rabbit hemorrhagic disease virus (RHDV)[J].Microorganisms,2021,9(5). |
| [12] | SMERTINA E,HALL R N,URAKOVA N,et al.Calicivirus non-structural proteins:Potential functions in replication and host cell manipulation[J].Front Microbiol,2021,12:712710. |
| [13] | ZHU J,MIAO Q,GUO H,et al.Nucleolin interacts with the rabbit hemorrhagic disease virus replicase RdRp,nonstructural proteins p16 and p23,playing a role in virus replication[J].Virol Sin,2022,37(1):48-59. |
| [14] | CAPUCCI L,FALLACARA F,GRAZIOLI S,et al.A further step in the evolution of rabbit hemorrhagic disease virus:the appearance of the first consistent antigenic variant[J].Virus Res,1998,58(1-2):115-126. |
| [15] | O'CONNOR T W,READ A J,HALL R N,et al.Immunological cross-protection between different rabbit hemorrhagic disease viruses-implications for rabbit biocontrol and vaccine development[J].Vaccines (Basel),2022,10(5):666. |
| [16] | 宋艳华,胡 波,范志宇,等.兔出血症病毒2型SC株VP60基因工程疫苗研制及其与传统兔出血症病毒疫苗的交叉保护作用[J].江苏农业科学,2022,50(16):50-54. |
| SONG Y H,HU B,FAN Z Y,et al.Development of VP60 genetically engineered vaccine of rabbit hemorrhagic virus type 2 SC strain and its cross-protection with traditional rabbit hemorrhagic virus vaccine[J].Jiangsu Agricultural Sciences,2022,50(16):50-54.(in Chinese) | |
| [17] | PATEL K K,STRIVE T,HALL R N,et al.Cross-protection,infection and case fatality rates in wild European rabbits experimentally challenged with different rabbit haemorrhagic disease viruses[J].Transbound Emerg Dis,2022,69(5):e1959-e1971. |
| [18] | 范志宇,陈萌萌,胡 波,等.我国首株兔出血症病毒2型的致病性及病理学初步研究[J].江苏农业科学,2020,48(11):143-147. |
| FAN Z Y,CHEN M M,HU B,et al.The primary research of pathogenicity and pathological observation of rabbit hemorrhagic disease virus 2 in China[J].Jiangsu Agricultural Sciences,2020,48(11):143-147.(in Chinese) | |
| [19] | HUKOWSKA-SZEMATOWICZ B.Genetic variability and phylogenetic analysis of Lagovirus europaeus strains GI.1 (RHDV) and GI.2 (RHDV2) based on the RNA-dependent RNA polymerase (RdRp) coding gene[J].Acta Biochim Pol,2020,67(1):111-122. |
| [20] | LOPEZ VAZQUEZ A L,MARTIN ALONSO J M,PARRA F.Characterisation of the RNA-dependent RNA polymerase from Rabbit hemorrhagic disease virus produced in Escherichia coli[J].Arch Virol,2001,146(1):59-69. |
| [21] | VAZQUEZ A L,MARTIN ALONSO J M,CASAIS R,et al.Expression of enzymatically active rabbit hemorrhagic disease virus RNA-dependent RNA polymerase in Escherichia coli[J].J Virol,1998,72(4):2999-3004. |
| [22] | URAKOVA N,NETZLER N,KELLY A G,et al.Purification and biochemical characterisation of rabbit calicivirus RNA-dependent RNA polymerases and identification of non-nucleoside inhibitors[J].Viruses,2016,8(4):100. |
| [23] | BEKHEIT M S,PANDA S S,GIRGIS A S.Potential RNA-dependent RNA polymerase (RdRp) inhibitors as prospective drug candidates for SARS-CoV-2[J].Eur J Med Chem,2023,252:115292. |
| [24] | SALMEN W.Positive and negative affinity chromatography to purify norovirus P-domain protein[J].Methods Mol Biol,2022,2466:83-92. |
| [25] | JIN J,BAI Y,ZHANG Y,et al.Establishment and characterization of a novel indirect ELISA method based on ASFV antigenic epitope-associated recombinant protein[J].Int J Biol Macromol,2023,253(Pt 7):127311. |
| [26] | 范志宇,胡 波,魏后军,等.近年我国兔瘟流行特点分析与疫苗研究动态[J].中国养兔,2012(6):32-34. |
| FAN Z Y,HU B,DAI H J,et al.Epidemic characteristics of rabbit viral plague hemorrhagic septicemia and research progression of vaccine in China in recent years[J].Chinese Journal of Rabbit Farming,2012(6)32-34.(in Chinese) | |
| [27] | DALTON K P,ALVARADO C,REYTOR E,et al.Chimeric VLPs Bearing VP60 from two serotypes of rabbit haemorrhagic disease virus are protective against both viruses[J].Vaccines (Basel),2021,9(9):1005. |
| [28] | PLANA-DURAN J,BASTONS M,RODRIGUEZ M J,et al.Oral immunization of rabbits with VP60 particles confers protection against rabbit hemorrhagic disease[J].Arch Virol,1996,141(8):1423-1436. |
| [29] | XIA T,LU X,KONG D,et al.Screening optimal DC-targeting peptide to enhance the immune efficacy of recombinant Lactobacillus expressing RHDV VP60[J].Virulence,2024,15(1):2368080. |
| [30] | YUAN D,QU L,LIU J,et al.DNA vaccination with a gene encoding VP60 elicited protective immunity against rabbit hemorrhagic disease virus[J].Vet Microbiol,2013,164(1-2):1-8. |
| [1] | SHAO Yongheng, NI Minting, GAO Mengling, TANG Jiao, ZHANG Gengxin, LIN Shengyu, LIU Guangliang, CHEN Jianing, WANG Wenhui. Prokaryotic Expression of VP1 Protein to Porcine Teschovirus Type 5 and the Establishment of an Indirect ELISA Detection Method [J]. Acta Veterinaria et Zootechnica Sinica, 2025, 56(2): 883-889. |
| [2] | SONG Hongyan, CHEN Fuyou, JIA Chenyu, HUANG Yuzhou, LAI Yufang, ZHOU Qi, HUANG Lidong, CHEN Jilong, LI Xunliang. Expression of FtsZ Protein of Mycoplasma synoviae and Establishment of an Indirect ELISA Method for Antibody Detection [J]. Acta Veterinaria et Zootechnica Sinica, 2025, 56(11): 5732-5742. |
| [3] | ZHANG Yaling, JING Wei, ZHAO Yan, HE Xiaobing, FANG Yongxiang, SU Yang, LI Xiaoming, ZHANG Hui, JING Zhizhong, CHEN Guohua. Establishment of Prokaryotic Expression of the ORF002 Protein of Lumpy Skin Disease Virus and an Indirect ELISA Antibody Detection Method [J]. Acta Veterinaria et Zootechnica Sinica, 2025, 56(11): 5817-5825. |
| [4] | ZENG Miaomiao, YANG Xiaoman, ZHANG Xin, LIU Dakai, SHI Hongyan, ZHANG Jiyu, ZHANG Liaoyuan, CHEN Jianfei, FENG Tingshuai, LI Xiuwen, SHI Da, FENG Li. Establishment and Preliminary Application of an Indirect ELISA for Swine Acute Diarrhea Syndrome Coronavirus N Protein [J]. Acta Veterinaria et Zootechnica Sinica, 2025, 56(1): 319-326. |
| [5] | Liguo GAO, Hanqin SHEN, Yiquan CHEN, Sheng CHEN, Wencheng LIN, Feng CHEN. Prokaryotic Expression of Recombinant VP6* Protein of Porcine Rotavirus and Establishment of Indirect ELISA Detection Method [J]. Acta Veterinaria et Zootechnica Sinica, 2024, 55(9): 4021-4028. |
| [6] | HUANG Jin, LI Siyuan, MAO Li, CAI Xuhang, XIE Lingling, WANG Fu, ZHOU Hua, LI Jizong, LI Bin. Eukaryotic Expression of Bovine Coronavirus S1 Protein and Establishment and Application of Indirect ELISA [J]. Acta Veterinaria et Zootechnica Sinica, 2024, 55(5): 2050-2060. |
| [7] | SONG Xiaoqing, DENG Ruide, LI Xin, LI Jiao, LI Runcheng, DU Lifei, DONG Wei, GE Meng. Establishment of ELISA for Detection of PCV4-Cap Antibody and Sero-epidemiological Survey [J]. Acta Veterinaria et Zootechnica Sinica, 2024, 55(5): 2072-2079. |
| [8] | ZHAO Canqi, FENG Yu, LÜ Lang, LI Yanjun, WEI Yulei, DING Jiabo, CHEN Xiang, JIANG Hui. Study on Purification of Bovine Brucellosis by Competitive ELISA and Indirect ELISA [J]. Acta Veterinaria et Zootechnica Sinica, 2024, 55(5): 2146-2153. |
| [9] | XU Chenchen, MA Xujie, SONG Suquan, YAN Liping. Isolation of a Novel Duck Reovirus Strain and Establishment of Indirect ELISA for Detecting Antibodies [J]. Acta Veterinaria et Zootechnica Sinica, 2024, 55(12): 5651-5662. |
| [10] | QI Yanli, LIU Taoxue, YU Haishen, ZHANG Chao, LU Weifei, WANG Jiang, CHU Beibei, ZHANG Gaiping. Preparation of the Monoclonal Antibody against the African Swine Fever Virus p54 Protein and Identification of the Antigenic Epitope [J]. Acta Veterinaria et Zootechnica Sinica, 2023, 54(1): 281-292. |
| [11] | CHANG Zhaoyang, LIU Yumei, LIU Weiqi, WANG Jianing, WEI Lan, ZHANG Ziqiang. Diagnosis of a Rabbit Hemorrhagic Virus Type 2 Infection Epidemic [J]. Acta Veterinaria et Zootechnica Sinica, 2022, 53(6): 1886-1894. |
| [12] | GE You, ZHENG Jing, PU Shanqiu, ZHOU Yu, HUANG Cuirui, YANG Guangyou, XIE Yue, HE Ran, XU Jing, GU Xiaobin. The Transcription Level of MMP2 in Psoroptes ovis var. cuniculi and Establishment of the Indirect ELISA Based on Its Recombinant Protein [J]. Acta Veterinaria et Zootechnica Sinica, 2022, 53(2): 567-575. |
| [13] | MA Jun, WANG Zhiyuan, LIANG Xingling, ZHENG Zezhong, YANG Hanchun, ZHANG Guihong, WANG Heng. Development of an Indirect ELISA Antibodies Detection Method on Tandem-epitope Peptide of African Swine Fever Virus p30 and p54 Proteins [J]. Acta Veterinaria et Zootechnica Sinica, 2022, 53(12): 4325-4336. |
| [14] | FENG Yu, YIN Xinhuan, YANG Xiaoyu, XU Lei, XU Zhiwen, ZHU Ling. Establishment and Application of an Indirect ELISA Based on Recombinant M Protein against Porcine Deltacoronavirus [J]. Acta Veterinaria et Zootechnica Sinica, 2020, 51(7): 1710-1718. |
| [15] | HAO Wenjun, LI Yuan, ZHOU Xiaoqian, WANG Xiumei, XIN Jiuqing. Establishment of Indirect ELISA for Detecting Antibody to Contagious Bovine Pleuropneumonia [J]. Acta Veterinaria et Zootechnica Sinica, 2020, 51(2): 329-336. |
| Viewed | ||||||
|
Full text |
|
|||||
|
Abstract |
|
|||||