

Acta Veterinaria et Zootechnica Sinica ›› 2025, Vol. 56 ›› Issue (9): 4615-4625.doi: 10.11843/j.issn.0366-6964.2025.09.039
• Preventive Veterinary Medicine • Previous Articles Next Articles
					
													MA Siqi1,2(
), LÜ Wenwen1,2(
), CHEN Junzhen1,2, LI Jianlin1,2, LIU Yucheng3, GUAN Tuan4, DING Jian4, LIU Haoran1, YE Hongyan1, YANG Li1,2, FU Qiang1,2,*(
), SHI Huijun1,2,*(
)
												  
						
						
						
					
				
Received:2024-09-06
															
							
															
							
															
							
																	Online:2025-09-23
															
							
																	Published:2025-09-30
															
						Contact:
								FU Qiang, SHI Huijun   
																	E-mail:kkkk0818kk@163.com;930014404@qq.com;fq198505@gmail.com;shihuijunmm@163.com
																					CLC Number:
MA Siqi, LÜ Wenwen, CHEN Junzhen, LI Jianlin, LIU Yucheng, GUAN Tuan, DING Jian, LIU Haoran, YE Hongyan, YANG Li, FU Qiang, SHI Huijun. Construction of Recombinant Adenovirus with Bovine Enterovirus VP1 Gene and Evaluation of Its Immunogenicity in Mice[J]. Acta Veterinaria et Zootechnica Sinica, 2025, 56(9): 4615-4625.
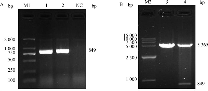
Fig. 1
Identification of recombinant adenovirus shuttle plasmid pDC316-VP1-copGFP A. Identification of adenovirus shuttle plasmid pDC316-VP1-copGFP; B. Identification of recombinant plasmid pDC316-VP1-copGFP by double restriction enzyme digestion; M1. DNA marker 2 000; 1-2. pDC316-VP1-copGFP plasmid identification; NC. Negative control; M2. D15000 molecular weight standard; 3. Positive plasmid control; 4. Enzymatically cleaved recombinant plasmid pDC316-VP1-copGFP"
														Fig. 7
Detection of viral load in different tissues at different times after BEV infection in mice A-D. Viral load on day 0-15 post BEV challenge (A. Day 0; B. Day 5; C. Day 10; D. Day 15); *. P < 0.05; **. P < 0.01; ***. P < 0.01; ****. P < 0.0001; ns. Non statistical significance (the same below)"
														| 1 |  
											WELDONS L,BLUEJ L,et al.Isolation of picornavirus from feces and semen from an infertile bull[J].J Am Vet Med Assoc,1979,174(2):168-169.
																							 doi: 10.2460/javma.1979.174.02.168  | 
										
| 2 |  
											ZHUL,XINGZ,GAIX,et al.Identification of a novel enterovirus E isolates HY12 from cattle with severe respiratory and enteric diseases[J].PLoS One,2014,9(5):e97730.
																							 doi: 10.1371/journal.pone.0097730  | 
										
| 3 | 侯佩莉, 王洪梅, 杨盛华, 等. 牛肠道病毒山东分离株的分离鉴定及序列分析[C]//中国畜牧兽医学会家畜传染病学分会第八届全国会员代表大会暨第十五次学术研讨会论文集. 徐州: 中国畜牧兽医学会, 2013. | 
| HOU P L, WANG H M, YANG S H, et al. Isolation, identification, and sequence analysis of bovine enterovirus Shandong isolate[C]//Proceedings of the 8th National Congress and 15th Academic Symposium of the Livestock Infectious Diseases Branch of the Chinese Society of Animal Husbandry and Veterinary Medicine. Xuzhou: Chinese Society of Animal Husbandry and Veterinary Medicine, 2013. (in Chinese) | |
| 4 | MOLLT,DAVISA D.Isolation and characterization of cytopathogenic enteroviruses from cattle with respiratory disease[J].Am J Vet Res,1959,20,27-32. | 
| 5 |  
											CANDIDOM,ALMEIDA-QUEIROZS R,et al.Detection and molecular characterisation of bovine Enterovirus in Brazil: four decades since the first report[J].Epidemiol Infect,2019,147,e126.
																							 doi: 10.1017/S0950268818003394  | 
										
| 6 | 罗宇航,刘黄豪,李德政,等.广西河池地区牛肠道病毒和牛冠状病毒流行病学调查及遗传变异分析[J].中国兽医杂志,2023,59(7):32-39. | 
| LUOY H,LIUH H,LID Z,et al.Epidemiological investigation and genetic variation analysis of bovine enterovirus and bovine coronavirus in Hechi area, Guangxi[J].Chinese Journal of Veterinary Medicine,2023,59(7):32-39. | |
| 7 | 李英利,常继涛,于力.牛肠道病毒的分离鉴定[J].中国预防兽医学报,2011,33(5):388-390. | 
| LIY L,CHANGJ T,YUL.Isolation and identification of bovine enterovirus[J].Chinese Journal of Preventive Veterinary Medicine,2011,33(5):388-390. | |
| 8 | 王刚. 牛肠道病毒的分离鉴定及二价灭活疫苗研制[D]. 呼和浩特: 内蒙古农业大学, 2022. | 
| WANG G. Isolation and identification of bovine enterovirus and development of bivalent inactivated vaccine[D]. Hohhot: Inner Mongolia Agricultural University, 2022. (in Chinese) | |
| 9 | 吕香玉. 一株牛肠道病毒的分离鉴定与检测方法的建立[D]. 通辽: 内蒙古民族大学, 2024. LÜ X Y. | 
| Establishment of isolation, identification, and detection method for a bovine enterovirus[D]. Tongliao: Inner Mongolia University for Nationalities, 2024. (in Chinese) | |
| 10 | 严专强,曾凡桂,招丽婵,等.1株鸭3型腺病毒的分离鉴定及fiber基因序列分析[J].养殖与饲料,2020(2):4. | 
| YANZ Q,ZENGF G,ZHAOL C,et al.Isolation, identification, and fiber gene sequence analysis of a duck adenovirus type 3 strain[J].Aquaculture and Feed,2020(2):4. | |
| 11 |  
											DE VLEESCHAUWERA R,ZHOUX,LEFEBVRED J,et al.A canine adenovirus type 2 vaccine vector confers protection against foot-and-mouth disease in guinea pigs[J].Vaccine,2018,36(16):2193-2198.
																							 doi: 10.1016/j.vaccine.2018.02.074  | 
										
| 12 |  
											TANGD C,ZHANGJ,TOROH,et al.Adenovirus as a carrier for the development of influenza virus-free avian influenza vaccines[J].Exp Rev Vaccines,2009,8(4):469-481.
																							 doi: 10.1586/erv.09.1  | 
										
| 13 |  
											KOVESDII,HEDLEYS J.Adenoviral producer cells[J].Viruses,2010,2(8):1681-1703.
																							 doi: 10.3390/v2081681  | 
										
| 14 | 崔晓峰,孙志华,刘俊,等.腺病毒载体疫苗研究进展[J].中国病毒病杂志,2022,12(6):468-473. | 
| CUIX F,SUNZ H,LIUJ,et al.Research progress on adenovirus vector vaccines[J].Chinese Journal of Virology,2022,12(6):468-473. | |
| 15 | 陈俊贞,李祯,张成远,等.E型牛肠道病毒新疆BL311株的分离鉴定及致病性分析[J].中国动物传染病学报,2024,32(5):144-151. | 
| CHENJ Z,LIZ,ZHANGC Y,et al.Isolation, identification and pathogenicity analysis of E-type bovine enterovirus Xinjiang BL311 strain[J].Chinese Journal of Animal Infectious Diseases,2024,32(5):144-151. | |
| 16 |  
											LEIC,YANGJ,HUJ,et al.On the calculation of TCID50 for quantitation of virus infectivity[J].Virol Sin,2021,36,141-144.
																							 doi: 10.1007/s12250-020-00230-5  | 
										
| 17 | 李泽宇. 天然小分子药物小檗胺影响牛病毒性腹泻病毒、牛肠道病毒、马疱疹病毒1型复制的研究[D]. 乌鲁木齐: 新疆农业大学, 2021. | 
| LI Z Y. Study on the effect of natural small molecule drug berberberamine on the replication of bovine viral diarrhea virus, bovine enterovirus, and equine herpesvirus type 1[D]. Urumqi: Xinjiang Agricultural University, 2021. (in Chinese) | |
| 18 | 董坤,胡俊英,张芷源,等.吉林省牛病毒性腹泻病毒与牛肠道病毒混合感染的流行病学调查[J].中国兽医学报,2022,42(6):1143-1148. | 
| DONGK,HUJ Y,ZHANGZ Y,et al.Epidemiological investigation of mixed infection of bovine viral diarrhea virus and bovine enterovirus in Jilin Province[J].Chinese Journal of Veterinary Medicine,2022,42(06):1143-1148. | |
| 19 | 蔡梦露. 牛肠道病毒非结构蛋白3C单抗的制备及其检测病毒抗原的应用[D]. 长春: 吉林大学, 2021. | 
| CAI M L. Preparation of non structural protein 3C monoclonal antibody against bovine enterovirus and its application in detecting virus antigens[D]. Changchun: Jilin University, 2021. (in Chinese) | |
| 20 | 施鹏,林晓晨,周艳,等.表达GⅡ.4型诺如病毒VP1复制缺陷型腺病毒构建与鉴定[J].生物学杂志,2023,40(6):7-11. | 
| SHIP,LINX C,ZHOUY,et al.Construction and identification of replication deficient adenovirus expressing GⅡ. 4 Norovirus VP1[J].Journal of Biology,2023,40(6):7-11. | |
| 21 |  
											MIAOX,ZHANGL,ZHOUP,et al.Recombinant human adenovirus type 5 based vaccine candidates against GIIa- and GIIb-genotype porcine epidemic diarrhea virus induce robust humoral and cellular response in mice[J].Virology,2023,584,9-23.
																							 doi: 10.1016/j.virol.2023.05.001  | 
										
| 22 | 王灿灿,张莉萍,刘新生,等.表达O型口蹄疫病毒衣壳蛋白的重组腺病毒构建及其免疫原性分析[J].生物工程学报,2022,38(5):1824-1836. | 
| WANGC C,ZHANGL P,LIUX S,et al.Construction of recombinant adenovirus expressing O-type foot-and-mouth disease virus capsid protein and its immunogenicity analysis[J].Chinese Journal of Bioengineering,2022,38(5):1824-1836. | |
| 23 | 张家祺,李格格,朱庆,等.基于E2蛋白BVDV腺病毒载体疫苗的制备及对小鼠的免疫原性分析[J].中国兽医学报,2024,44(2):276-282. | 
| ZHANGJ Q,LIG G,ZHUQ,et al.Preparation of E2 protein BVDV adenovirus vector vaccine and immunogenicity analysis in mice[J].Chinese Journal of Veterinary Medicine,2024,44(2):276-282. | |
| 24 | 王金冬,马亚林,毛彤瑶,等.表达诺如病毒衣壳蛋白的重组腺病毒疫苗的构建及其免疫原性分析[J].中国生物制品学杂志,2022,35(3):257-262. | 
| WANGJ D,MAY L,MAOT Y,et al.Construction and immunogenicity analysis of recombinant adenovirus vaccine expressing norovirus capsid protein[J].Chinese Journal of Biological Products,2022,35(3):257-262. | |
| 25 | 陈涛云,朱庆,保志鹏,等.重组腺病毒表达牛纽布病毒VP1蛋白及免疫效果评价[J].中国兽医学报,2024,44(02):268-275. | 
| CHENT Y,ZHUQ,BAOZ P,et al.Recombinant adenovirus expression of bovine Newcastle virus VP1 protein and immune efficacy evaluation[J].Chinese Journal of Veterinary Medicine,2024,44(02):268-275. | |
| 26 | 陈海迪. 表达鹅细小病毒VP3基因重组腺病毒的构建及鉴定[D]. 延吉: 延边大学, 2015. | 
| CHEN H D. Construction and identification of recombinant adenovirus expressing goose parvovirus VP3 gene[D]. Yanji: Yanbian University, 2015. (in Chinese) | 
| [1] | ZHU Yixuan, GU Pengfei, ZHAO Qi, XU Panpan, FAN Yingsai, BAO Yongzhan, WANG Xiao, SHI Wanyu. Evaluation of PLGA Nanoparticles Co-loaded with Salvia miltiorrhiza Polysaccharide and Mn2+ as an Adjuvant for Inactivating PCV2 [J]. Acta Veterinaria et Zootechnica Sinica, 2025, 56(8): 4031-4041. | 
| [2] | LU Huipeng, CAO Shinuo, WU Zhi, CHEN Changchun, CHEN Wenyu, CHENG Yuting, ZHOU Xiaohui, SUN Huaichang, ZHU Shanyuan. The Preliminary Analysis of the Immunogenicity of Recombinant Viruses Expressing African Swine Fever Virus Genes B602L-B646L [J]. Acta Veterinaria et Zootechnica Sinica, 2025, 56(6): 2816-2825. | 
| [3] | CHEN Changchun, WU Zhi, REN Guanyu, CHEN Wenyu, CAO Shinuo, ZHU Rui, ZHANG Li, CHENG Yuting, ZHU Shanyuan, LU Huipeng. Immunogenicity Analysis of Recombinant Adenovirus Expressing African Swine Fever Virus (ASFV) pp62 and Hsp70 Proteins in Mice [J]. Acta Veterinaria et Zootechnica Sinica, 2025, 56(6): 3027-3031. | 
| [4] | LIU Jian, YU Zehai, ZHANG Meiyu, LI Dan, WANG Jun, LIU Fangqin, ZHANG Qun, XU Shouzhen. Full-genome Analysis of a Bovine Enterovirus Type F and the Establishment of an Indirect ELISA Method for Antibody Detection [J]. Acta Veterinaria et Zootechnica Sinica, 2025, 56(2): 814-825. | 
| [5] | LIU Danhua, ZHENG Shimin, LIU Xiaojing, Lü Xiaoping, GAO Xueli, LIU Chaonan. Effects of Avian Reticuloendotheliosis Virus Infection on the CD4+/CD8+ Ratio and the Expression of Related Cytokines in SPF Chicks [J]. Acta Veterinaria et Zootechnica Sinica, 2020, 51(6): 1447-1454. | 
| [6] | CHEN Xiao, GE Lei, DAI Jian-jun, LI Li, ZHANG De-fu, WU Cai-feng, ZHANG Shu-shan. Construction of Recombinant Adenovirus with Orf Virus F1L and B2L Genes and Analysis of Its Immune Efficacy in Mice [J]. ACTA VETERINARIA ET ZOOTECHNICA SINICA, 2018, 49(8): 1701-1708. | 
| [7] | YAO Yan-bin, CHEN Zhang, CHU Xia-fei, WEI Jian-zhong, SUN Pei, LI Yu. Immune Efficacy of Transferrin-binding Protein A of Haemophilus parasuis in Piglets [J]. ACTA VETERINARIA ET ZOOTECHNICA SINICA, 2018, 49(3): 588-596. | 
| [8] | ZHAO Cun-zhen, LI Huang-kun, MA Yun, YANG Gong-she. MAT2B Overexprssion Mediated by Adenovirus Promoting Porcine Intramuscular Preadipocyte Differentiation [J]. ACTA VETERINARIA ET ZOOTECHNICA SINICA, 2017, 48(5): 802-809. | 
| [9] | TAN Xin, KU Xu-gang, YU Xue-xiang, GUO Heng-ke, HE Dong-xian, FAN Sheng-xian, HE Qi-gai. The IFN-γ-ELISpot for Evaluating the Immune Effect of Swine Pseudorabies Vaccine [J]. ACTA VETERINARIA ET ZOOTECHNICA SINICA, 2017, 48(10): 1939-1948. | 
| [10] | GE Sheng-qiang,WU Xiao-dong,ZHANG Zhi-cheng,ZHANG Yong-qiang,ZHAO Yong-gang,WANG Zhi-liang. Progress in Development of African Swine Fever Vaccine [J]. ACTA VETERINARIA ET ZOOTECHNICA SINICA, 2016, 47(1): 10-15. | 
| [11] | XUE Xiao-juan,JIN Hong-yan,ZHAO Ling-na,SUI Xiu-kun,Zheney Makay,LI Gang. Construction and Immunogenicity of Recombinant Adenovirus Expressing Two Serotypes of Vesicular Stomatitis Virus G Proteins in Mice [J]. ACTA VETERINARIA ET ZOOTECHNICA SINICA, 2015, 46(12): 2227-2234. | 
| [12] | GUO Jin-yu, ZHANG He-xiao,WU Dan,GAO Zhi-qiang,ZHANG Ran,ZHANG Le-cui. Preparation and Application of the Monoclonal Antibodies against Bovine Enterovirus Type 2 [J]. ACTA VETERINARIA ET ZOOTECHNICA SINICA, 2015, 46(11): 2025-2031. | 
| [13] | MENG Chuang, WAN Ting, XU Zheng-zhong, SHAN Fa, XIE Xiao-li, SHEN Jun-song, FAN Feng, CHEN Xiang, JIAO Xin-an. Fusion Expression of Mycobacterium tuberculosis ESAT6 and CFP10 Protein and Its Cellular Immunoproperties [J]. ACTA VETERINARIA ET ZOOTECHNICA SINICA, 2014, 45(5): 789-794. | 
| [14] | PENG Xiao-wei, DONG Hao, WU Dan, ZHANG He-xiao, WU Qing-min, LYU Yan-li. Isolation and Identification of Bovine Enterovirus Type 2 [J]. ACTA VETERINARIA ET ZOOTECHNICA SINICA, 2013, 44(5): 823-828. | 
| [15] | LIN Xianzi;LUO Jun;ZHANG Liping;ZHU Jiangjiang;SHI Hengbo;GOU Deming. The Effect of miR200a on Gene mRNA Expression Related to Milk Fat Synthesis in Dairy Goat Mammary Gland Epithelial Cells [J]. ACTA VETERINARIA ET ZOOTECHNICA SINICA, 2012, 43(7): 1028-1036. | 
| Viewed | ||||||
| 
										Full text | 
									
										 | 
								|||||
| 
										Abstract | 
									
										 | 
								|||||