畜牧兽医学报 ›› 2025, Vol. 56 ›› Issue (12): 6293-6298.doi: 10.11843/j.issn.0366-6964.2025.12.031

• 预防兽医 • 上一篇    下一篇

一株猪伪狂犬病病毒Bartha-K61疫苗变异株的分离鉴定及生物学特性分析

胡文佳(), 时建皓(), 李佳妮, 殷雨晨, 张新月, 董海冰, 杨海燕*(), 张传美*()   

  1. 青岛农业大学动物医学院, 青岛 266109
  • 收稿日期:2024-08-28 出版日期:2025-12-23 发布日期:2025-12-24
  • 通讯作者: 杨海燕,张传美 E-mail:2236091142@qq.com;2412373957@qq.com;hy386@126.com;zhangchuanmei100@163.com
  • 作者简介:胡文佳(2001-),女,山东泰安人,硕士生,主要从事预防兽医学研究,E-mail: 2236091142@qq.com
    时建皓(1998-),男,江苏宿迁人,硕士生,主要从事预防兽医学研究,E-mail: 2412373957@qq.com
    第一联系人:

    胡文佳与时建皓为同等贡献作者

  • 基金资助:
    2022年生猪病原及抗体的检测(横20220016)

Isolation, Identification and Biological Characterization of a Porcine Pseudorabies Virus Bartha-K61 Vaccine Variant

HU Wenjia(), SHI Jianhao(), LI Jiani, YIN Yuchen, ZHANG Xinyue, DONG Haibing, YANG Haiyan*(), ZHANG Chuanmei*()   

  1. College of Veterinary Medicine, Qingdao Agricultural University, Qingdao 266109, China
  • Received:2024-08-28 Online:2025-12-23 Published:2025-12-24
  • Contact: YANG Haiyan, ZHANG Chuanmei E-mail:2236091142@qq.com;2412373957@qq.com;hy386@126.com;zhangchuanmei100@163.com

摘要:

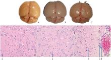
为研究猪伪狂犬病病毒(pseudorabies virus,PRV)地方分离株的变异情况,本试验从烟台某猪场送检的病料中成功分离到一株PRV毒株,命名为JH2403。对其gBgCgDTK基因进行遗传进化分析并研究其对小鼠及仔猪的致病性。结果显示:系统发育分析表明:该毒株gBgCgDTK基因与疫苗株Bartha-K61相似性为99.9%~100%,3个位点AA发生突变。1×103TCID50·mL-1病毒液0.2 mL·只-1感染小鼠,第6天死亡率100%,小鼠脑膜充血且HE染色可见淋巴细胞浸润。仔猪致病性试验表明,高、低剂量攻毒组仔猪均出现发热、瘙痒等明显临床症状,但无死亡。综上,本研究成功分离到一株PRV毒株,与疫苗株Bartha-K61相似性最高,对小鼠的致病性较强,对仔猪致病性较低。本研究为山东省PRV遗传进化及流行病学研究提供一定参考。

关键词: 伪狂犬病病毒, 分离鉴定, 遗传变异, 致病性

Abstract:

To study the variation of porcine pseudorabies virus (PRV) local isolates, a PRV virus strain named JH2403 was successfully isolated from diseased materials sent to a pig farm in Yantai City. Perform genetic evolution analysis on its gB, gC, gD, TK genes and study of the pathogenicity of the isolates in mice and piglets. Phylogenetic analysis showed that the gB, gC, gD, TK genes of the strain had 99.9% to 100% homology with the vaccine strain Bartha-K61, with a total of 3 amino acid mutations. The pathogenicity test of mice showed that 1×103 TCID50·mL-1 virus solution with a concentration of 0.2 mL per mouse was infected, and the mortality rate on the 6th day was 100%. HE staining of brain tissue showed lymphocyte infiltration. Pathogenicity test of piglets proved that there were no deaths although there were obvious symptoms. A strain of porcine pseudorabies virus was successfully isolated, which had the highest homology with the vaccine strain Bartha-K61, which showed enhanced pathogenicity in mice and lower pathogenicity in piglets. This study provides a reference for the genetic evolution analysis and epidemiological study of PRV in Shandong Province.

Key words: pseudorabies virus, separation and identification, genetic variation, pathogenicity

中图分类号: