

Acta Veterinaria et Zootechnica Sinica ›› 2026, Vol. 57 ›› Issue (1): 206-220.doi: 10.11843/j.issn.0366-6964.2026.01.018
• ANIMAL GENETICS AND BREEDING • Previous Articles Next Articles
XIE Zeting, HOU Xiaoyun(
), ZHAN Yinkai, LIN Suiyuan, ZHU Purui, GUO Shiqi, QIN Shuang, LUO Yangbing, LI Xiujin, HUANG Yunmao, WU Zhongping(
), ZHANG Xumeng(
)
Received:2025-06-17
Online:2026-01-23
Published:2026-01-26
Contact:
WU Zhongping, ZHANG Xumeng
E-mail:hxy_2005129@qq.com;wuzhongping@zhku.edu.cn;zhangxumeng@zhku.edu.cn
CLC Number:
XIE Zeting, HOU Xiaoyun, ZHAN Yinkai, LIN Suiyuan, ZHU Purui, GUO Shiqi, QIN Shuang, LUO Yangbing, LI Xiujin, HUANG Yunmao, WU Zhongping, ZHANG Xumeng. Comparative Analysis of Histomorphology and Transcriptome in Pectoral Muscle Tissues between Shitou and Wuzong Geese[J]. Acta Veterinaria et Zootechnica Sinica, 2026, 57(1): 206-220.
Table 1
Primer sequences for the target genes and internal control genes used in the experiment"
基因名称 Gene name | 正向(5′→3′) Forward | 反向(3′→5′) Reverse | GenBank序列号 Accession number |
|---|---|---|---|
| β-actin | ATGTCGCCCTGGATTTCG | CACAGGACTCCATACCCAAGAA | XM_066977989.1 |
| COL4A2 | GGTTTGGTTTGTCAGGATCTGG | AAACACTGGCATCCTCCACT | XM_048080798.2 |
| ITGB3 | AGGGATGAATCTGGCAATCTACA | CAAACTCAGCTTCACCCTGC | XM_066994002.1 |
| CAV1 | GATCCTCCTGCCTCCGTTAT | GTACAGAAAGCCCTCCGAGT | XM_066991389.1 |
| CCND2 | ACAAGCACAGATGTGGACTG | AAGGATTGCTTTGCTGTTGC | XM_066977338.1 |
| MYLK2 | TCATCAAAGAGAAAGGCGGC | ATTTCTTGAGCAGCACCTGG | XM_066978075.1 |
| PDGFRA | TCAAATGAGGCAGTTGTCGG | GGAACAATAGTCGGCAGAGG | XM_013172769.3 |
| ACTN2 | AAGCCTGCCTCATCAGTCTA | CAAACTCAGCTTCACCCTGC | XM_066994002.1 |
| TNNC2 | CTTCCGCATCTTCGACAAGAAC | GTCTTCTATGTCCTCCTCGGT | XM_048050648.2 |
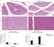
Fig.1
H&E-stained sections of pectoral muscle and myofiber density and diameter statistics of Wuzong and Shitou geese at 40 d and 90 dA. The images from left to right and from top to bottom show HE-stained sections of 40 d Wuzong goose, 40 d Shitou goose, 90 d Wuzong goose, and 90 d Shitou goose, respectively (scale bar=20 μm); B. The statistics of myofiber density; C. The statistics of myofiber diameter. *. P<0.05; ***. P<0.001"
Table 2
Uniform quality analysis of pectoral muscle transcriptome sequencing data from Wuzong and Shitou geese at 40 d and 90 d"
样品 Sample | 质控数据 Quality control data | GC含量/% GC content | ≥Q30/% | 比对上的片段数 Aligned Reads |
|---|---|---|---|---|
| S40X-1 | 25 993 686 | 52.89 | 92.65 | 39 532 520(76.04%) |
| S40X-2 | 29 258 927 | 51.99 | 93.01 | 44 956 487(76.83%) |
| S40X-3 | 26 641 012 | 51.64 | 92.47 | 41 752 034(78.36%) |
| S90X-1 | 28 035 903 | 52.88 | 93.13 | 43 059 724(76.79%) |
| S90X-2 | 28 889 935 | 52.62 | 92.97 | 44 994 751(77.87%) |
| S90X-3 | 26 895 653 | 51.37 | 92.95 | 42 246 027(78.54%) |
| W40X-1 | 38 520 719 | 52.64 | 92.99 | 59 236 364(76.89%) |
| W40X-2 | 29 841 669 | 51.23 | 92.48 | 47 271 191(79.20%) |
| W40X-3 | 21 850 224 | 52.10 | 92.83 | 34 262 682(78.40%) |
| W90X-1 | 31 078 128 | 51.01 | 92.74 | 49 449 086(79.56%) |
| W90X-2 | 42 480 650 | 51.22 | 92.32 | 66 544 240(78.32%) |
| W90X-3 | 33 421 269 | 51.34 | 92.50 | 53 187 288(79.57%) |
Table 3
Statistics on the number of differentially expressed genes in the pectoral muscles of Wuzong and Shitou geese at 40 d and 90 d"
差异表达基因集 DEGs set | 差异表达基因数目 Number of DEGs | 上调基因数目 Number of up-regulated genes | 下调基因数目 Number of down-regulated genes |
|---|---|---|---|
| 不同日龄同一鹅种 Same goose breed with different ages | |||
| S40X vs S90X | 1 912 | 836 | 1 076 |
| W40X vs W90X | 1 995 | 923 | 1 072 |
| 同一日龄不同鹅种 Different goose breeds with the same age | |||
| S40X vs W40X | 319 | 187 | 132 |
| S90X vs W90X | 1 493 | 858 | 635 |
Table 4
GO significantly enriched with DEGs in terms related to muscle formation"
分组 Group | 生物过程 Biological process | q值 q-value | 基因名称 Gene name |
|---|---|---|---|
| S40X vsS90X | 胶原纤维组织 | 0.02 | DDR2、MKX、LOC106044084、LOX、P3H1、COL2A1、ANXA2、COL5A2、LUM |
| S40X vsW40X | 钙离子稳态 | 0.05 | LOC106031155、LOC106031415、CSRP3 |
| 骨骼肌卫星细胞增殖的调节 | 0.05 | ANGPT1 | |
| 肌丝滑动 | 0.05 | TNNT2 | |
| Rho蛋白信号转导的调节 | 0.05 | Anser_cygnoides_newGene_5510、PLEKHG5、ARHGEF9 | |
| 肌肉组织发育的正向调控 | 0.05 | PPARGC1A | |
| 血管发生的正向调控 | 0.05 | ASB4 | |
| 肌肉器官发育 | 0.05 | MYF5、ETV1 | |
| 对肌肉活动的响应 | 0.05 | PPARGC1A | |
| 细胞黏附的调节 | 0.05 | S1PR1、LAMA5 | |
| 细胞呼吸的正向调控 | 0.05 | PPARGC1A | |
| ATP生物合成过程的正向调控 | 0.05 | PPARGC1A | |
| W40X vs W90X | 炎症反应 | 0.01 | Anser_cygnoides_newGene_9361、IL18、LOC106029986、LOC106041040、NCF1、BMPR1B、LOC106041921、LOC106041918、NOS2、PTAFR、C3、ITGB6、KIT |
| W90X vsS90X | 炎症反应 | 0.01 | Anser_cygnoides_newGene_9361、IL18、LOC106029986、LOC106041040、NCF1、LOC106041921、LOC106041918、NOS2、PTAFR、C3、KIT |
Fig.4
Scatter plot of KEGG pathway enrichment of DEGs in the pectoral muscles of Wuzong and Shitou geese at 40 d and 90 dThe vertical axis represents pathway names, and the horizontal axis represents the enrichment factors. The color of the circles indicate the q-value of pathway enrichment, the smaller the q-value, the redder the color. The size of the circles represent the number of genes enriched in the pathway, the larger the circle, the greater the number of enriched genes"
Table 5
KEGG significantly enriched with DEGs in the myogenesis-related pathways"
分组 Group | 通路名称 Pathway | q值 q-value | 基因名称 Gene name |
|---|---|---|---|
| A组 A group(S40X vs S90X) | ECM-受体相互作用 | <0.01 | COL4A5、COL4A6、COL1A2、SDC4、CD44、COL4A2、THBS2、SDC1、VWF、ITGA9、ITGB3、COL6A6、COMP、THBS3、COL2A1、LOC106049842、TNXB、ITGB8、HMMR、CHAD、ITGB4、CD36、ITGA1、ITGA2、COL4A3、SV2B |
| A组 A group(S40X vsS90X) | 细胞黏附分子 | <0.01 | NCAM1、CADM1、ESAM、JAM3、SDC4、VCAN、NEGR1、LRRC4C、CD276、NEO1、SDC1、SDC3、ITGA9、CNTN1、NRCAM、OCLN、CLDN19、CLDN10、LOC106029335、ITGB8、CLDN5、CDH5、PTPRF、PECAM1、PTPRM、CD99、CD58、JAM2、CDH2、COLEC10 |
| A组 A group(S40X vsS90X) | 黏着斑 | <0.01 | LOC106038554、COL4A5、COL4A6、COL1A2、FLT1、CAV2、CAV1、PIK3R1、COL4A2、THBS2、VWF、ITGA9、ITGB3、CCND2、COL6A6、MYLK2、COMP、THBS3、MYLK4、SHC2、VEGFA、COL2A1、LOC106049842、TNXB、ITGB8、PDGFRA、KDR、MYL2、CRKL、PDGFC、FLT4、PIK3R3、SHC4、CHAD、ITGB4、ITGA1、ITGA2、COL4A3、CAV3、FIGF、FLNB、PARVG |
| C组 C group(W40X vsW90X) | ECM-受体相互作用 | <0.01 | COL4A5、COL4A6、COL1A2、LAMA5、SPP1、LAMB1、LAMB4、ITGA11、CD44、LAMC3、AGRN、THBS2、VWF、ITGA9、GP1BA、COL6A6、THBS3、LOC106049058、COL2A1、COL6A2、LOC106049839、LOC106049842、TNXB、ITGB5、ITGB6、GP1BB、LAMA2、LAMA4、COL6A3、CHAD、TNC、LOC106037602、COLEC10 |
| C组 C group(W40X vsW90X) | 细胞因子-细胞因子受体相互作用 | <0.01 | Anser_cygnoides_newGene_1760、IL2RA、IL18、TNFRSF1B、TNFRSF8、TNFRSF6B、BMPR1B、LOC106041570、IL18R1、IL1R2、LOC106041918、LOC106041919、CXCL12、IFNAR1、IL10RB、TNFRSF18、TNFSF13B、AMH、LOC106045913、IL4R、CD40、IL1RAP、CSF1、CNTFR、LOC106048595、LOC106048600、NGFR、VEGFA、CCR7、IL1B、PDGFRA、KIT、IL17RA、TGFB2、BMPR1A、CXCL14、CX3CL1、PDGFA、LOC106035752、LOC106035885、IL2RB、IL7R、TNFSF15、IL13RA1、IL2RG、TNFRSF21、LOC106038377、LOC106038356、LOC106038357 |
| C组 C group(W40X vsW90X) | 黏着斑 | <0.01 | COL4A5、COL4A6、COL1A2、PIK3CB、LAMA5、SPP1、VAV3、PIK3CG、LAMB1、LAMB4、ITGA11、LAMC3、VAV2、PIK3CD、CCND1、THBS2、LOC106044678、VWF、ITGA9、CCND3、LOC106045852、COL6A6、PIK3R5、ZYX、ACTN2、THBS3、RASGRF1、LOC106049058、SHC2、VEGFA、COL2A1、COL6A2、LOC106049839、LOC106049842、TNXB、ITGB5、ITGB6、PDGFRA、MYL2、LAMA2、LAMA4、PDGFA、BIRC2、COL6A3、PRKCA、CHAD、IGF1、RAC2、PAK7、CAV3、TNC、LOC106037602 |
| C组 C group(W40X vsW90X) | 细胞黏附分子 | <0.01 | Anser_cygnoides_newGene_6728、CD2、CD80、VCAM1、NCAM1、CADM1、NLGN4X、JAM3、CD34、LOC106041540、LOC106041602、NTNG1、PTPRC、NRXN1、NEGR1、LRRC4C、PDCD1、ITGA9、LOC106046390、CD40、CNTN1、CD4、CD86、LOC106049813、LOC106029726、CD28、ITGB2、CD8A、PTPRF、COLEC10 |
| C组 C group(W40X vsW90X) | 钙信号通路 | <0.01 | Anser_cygnoides_newGene_6800 、Anser_cygnoides_newGene_6806 、CAMK2D、ADCY7、HTR7、HRH1、PHKG1、P2RX1、CAMK4、ADRB2、NOS2、LOC106044837、TBXA2R、ADORA2B、CACNA1S、PTAFR、AVPR1A、PLCB2、TNNC2、PLN、PTK2B、LOC106049872、PDE1A、TACR2、PDGFRA、SLC8A3、CACNA1H、ERBB4、PRKCA、SPHK1、AGTR1、ADCY2、HTR2C、GRPR、PHKA2 |
| C组 C group(W40X vs W90X) | 肌动蛋白细胞骨架的调控 | <0.01 | FGFR2、ARHGEF4、PIK3CB、ELN、VAV3、PIK3CG、IQGAP2、ITGA11、VAV2、EZR、PIK3CD、FGFR1、LOC106044678、ITGA9、LOC106045852、FGF6、PIK3R5、ACTN2、LOC106049058、FGFR4、LOC106049839、LOC106029514、ITGB5、ITGB6、ABI2、ITGB2、PDGFRA、MYL2、ENAH、CFL2、ARPC1B、FGF1、PDGFA、GNA13、RAC2、PAK7、SCIN |
| D组 D group(S90X vsW90X) | 细胞因子-细胞因子受体相互作用 | <0.01 | Anser_cygnoides_newGene_1760、TNFRSF11B、IL2RA、IL18、TNFRSF1B、TNFRSF19、LOC106041570、IL18R1、IL1R2、LOC106041918、LOC106041919、IFNAR1、IL10RB、TNFRSF18、TNFSF13B、AMH、LOC106045913、IL1RAP、CSF1、CNTFR、CCR7、IL1B、PDGFRA、KIT、TGFB2、CXCL14、FLT4、PDGFA、LOC106035752、LOC106035885、IL7R、TNFSF15、IL2RG、LOC106038356、LOC106038357 |
| D组 D group(S90X vsW90X) | 细胞黏附分子 | 0.01 | CD80、VCAM1、ESAM、CD34、LOC106041540、LOC106041602、PTPRC、VCAN、PDCD1、LOC106046592、CNTN1、CD4、OCLN、CD86、LOC106049813、LOC106029504、CD28、ITGB2、CDH5、JAM2、CDH2、ALCAM |
| [1] | 侯水生,刘灵芝.2024年水禽产业与技术发展报告[J].中国畜牧杂志,2025,61(3):383-387. |
| HOU S S,LIU L Z.2024 report on the waterfowl industry and technological development[J].Chinese Journal of Animal Science,2025,61(3):383-387.(in Chinese) | |
| [2] | GU S,HUANG Q,Jie Y,et al.Transcriptomic and epigenomic landscapes of muscle growth during the postnatal period of broilers[J].J Anim Sci Biotechnol,2024,15(5):1851-1865. |
| [3] | 刘雅丽.三个品种鹅肌纤维发育和肌内脂肪沉积的调控机制研究[D].温江:四川农业大学,2023. |
| LIU Y L.The regulation mechanism of muscle fiber development and intramuscular fat depositionin three goose breeds[D].Wenjiang :Sichuan Agricultural University,2023.(in Chinese) | |
| [4] | YANG Y,WANG C,CHEN S F,et al.Identifying candidate genes and biological pathways in muscle development through multi-tissue transcriptome comparisons between male and female geese[J].Sci Rep,2024,14(1):16474. |
| [5] | ZHAO X,CAO Y,LI H,et al.Development of myofibers and muscle transcriptomic analysis in growing Yili geese[J].Poult Sci,2024,103(2):103328. |
| [6] | HU X,LIU Y,TANG B,et al.Comparative transcriptomic analysis revealed potential mechanisms regulating the hypertrophy of goose pectoral muscles[J].Poult Sci,2024,103(12):104498. |
| [7] | 张 鑫,江 幸,张 康,等.能量和蛋白水平对生长育肥阶段皖西白鹅生长性能、肠道酶活性及血液指标的影响[J].饲料研究,2024,47(10):48-54. |
| ZHANG X,JIANG X,ZHANG K,et al.Effects of energy and protein levels on growth performance,intestinal enzyme activity,and blood indicators of Wanxi white geese during growth and fattening stages[J].Feed Research,2024,47(10):48-54.(in Chinese) | |
| [8] | 黄松波.肉用狮头鹅的饲养管理[J].中国家禽,2009,31(22):65-66. |
| HUANG S B.Breeding management of meat-type Shitou Geese [J].The Chinese Livestock and Poultry Breeding,2009,31(22):65-66.(in Chinese) | |
| [9] | 何 莉.提高养鹅经济效益的关键措施[J].现代农业科技,2008(5):198. |
| HE L.Key measures to improve the economic benefits of goose farming[J].Modern Agricultural Science and Technology,2008(5):198.(in Chinese) | |
| [10] | 夏成兴,许坤杰,陈梓远,等.乌鬃鹅的遗传资源保护与开发利用现状研究[J].中国畜禽种业,2024,20(7):40-47. |
| XIA C X,XU K J,CHEN Z Y,et al.Research status of conservation and development of genetic resources of Wuzong Goose[J].The Chinese Livestock and Poultry Breeding,2024,20(7):40-47.(in Chinese) | |
| [11] | 罗永全,韩远豪,黎颂超,等.狮头鹅种质资源概述及保护与开发利用建议[J].中国畜禽种业,2024,20(7):32-39. |
| LUO Y Q,HAN Y H,LI S C,et al.Overview of germplasm resources of Shitou Goose and suggestions for protection,development and utilization[J].The Chinese Livestock and Poultry Breeding,2024,20(7):32-39.(in Chinese) | |
| [12] | TANG J,OUYANG H,CHEN X,et al.Comparative transcriptome analyses of leg muscle during early growth between geese (Anser cygnoides) breeds differing in body size characteristics[J].Genes,2023,14(5):1048. |
| [13] | ZHANG X,WANG J,LI X,et al.Transcriptomic investigation of embryonic pectoral muscle reveals increased myogenic processes in Shitou geese compared to Wuzong geese[J].Br Poult Sci,2021,62(5):650-657. |
| [14] | CORDERO A I H,GONZALES N M,PARKER C C,et al.Genome-wide associations reveal human-mouse genetic convergence and modifiers of myogenesis,CPNE1 and STC2[J].Am J Hum Genet,2019,105(6):1222-1236. |
| [15] | 贺 喜,宋泽和,常 凌.肉鸡肌纤维性状形成机制及调控的研究进展[J].动物营养学报,2022,34(10):6298-6305. |
| HE X,SONG Z H,CHANG L.Research progress on mechanism and regulation of chicken muscle fiber development[J].Chinese Journal of Animal Nutrition,2022,34(10):6298-6305(in Chinese) | |
| [16] | LUDOLPH D C,KONIECZNY S F.Transcription factor families:muscling in on the myogenic program[J].FASEB J,1995,15(9):1595-1604. |
| [17] | 欧秀琼,李 睿,张晓春,等.肌纤维类型组成对猪肌肉品质与能量代谢的影响研究进展[J].浙江农业学报,2022,34(1):196-203. |
| OU X Q,LI R,ZHANG X C,et al.Research progress of effects of muscle fiber type composition on muscle quality and energy metabolism in pigs[J].Acta Agriculturae Zhejiangensis,2022,34(1):196-203.(in Chinese) | |
| [18] | 武 敏,徐俊杰,李欣欣,等.基于转录组测序筛选调控黄羽肉鸡肌肉发育的关键基因[J].中国畜牧兽医,2025,52(3):990-1000. |
| WU M,XU J J,LI X X,et al.Screening of key genes regulating muscle development in Yellow-feathered chickens based on RNA-Seq[J].China Animal Husbandry & Veterinary Medicine,2025,52(3):990-1000.(in Chinese) | |
| [19] | ZHANG X,LI Y,ZHU C,et al.DNA demethylation of myogenic genes may contribute to embryonic leg muscle development differences between Wuzong and Shitou Geese [J].Int J Mol Sci,2023,24(8):7188. |
| [20] | 王金辉,黎颂超,唐黄益,等.胚胎期狮头鹅和乌鬃鹅肌纤维及肌内脂肪的发育比较[J].仲恺农业工程学院学报,2020,33(2):32-37. |
| WANG J H,LI S C,TANG H Y,et al.Comparison of embryomc myofiber and intramuscular fat development between Shitou and Wuzong goose[J].Journal of Zhongkai University of Agriculture and Engineering,2020,33(2):32-37.(in Chinese) | |
| [21] | 杨朝永,陈若楠,张若彤,等.鸡胚胎期肌纤维形成相关miRNAs的筛选与分析[J].中国家禽,2024,46(5):1-11. |
| YANG C Y,CHEN R N,ZHANG R T,et al.Screening and analysis of miRNAs related to chicken embryonic muscle fiber formation[J].China Poultry,2024,46(5):1-11.(in Chinese) | |
| [22] | 王金辉,黄雪菲,杨 晨,等.狮头鹅和乌鬃鹅不同生长阶段肌纤维发育规律的研究[J].仲恺农业工程学院学报,2019,32(2):31-35. |
| WANG J H,HUANG X F,YANG C,et al.Development of muscle fibers at different growth stages of Shitou and Wuzong geese[J].Journal of Zhongkai University of Agriculture and Engineering,2019,32(2):31-35.(in Chinese) | |
| [23] | 刘海婷,王国文,彭 巍,等.犏牛、牦牛及黄牛骨骼肌转录特征的差异研究[J].青海大学学报,2024,42(2):18-27. |
| LIU H T,WANG G W,PENG W,et al.Differences research on the transcriptional characteristics of skeletal muscles among cattle-yak,yak and cattle[J].Journal of Qinghai University,2024,42(2):18-27.(in Chinese) | |
| [24] | DENG Y,HU S,LUO C,et al.Integrative analysis of histomorphology,transcriptome and whole genome resequencing identified DIO2 gene as a crucial gene for the protuberant knob located on forehead in geese[J].BMC Genomics,2021,22(1):487. |
| [25] | WOHLGEMUTH R P,SRIRAM S,HENRICSIN K E,et al.Strain-dependent dynamic re-alignment of collagen fibers in skeletal muscle extracellular matrix[J].Acta Biomater,2024,187:227-241. |
| [26] | 郭 豪,任小青.子宫内膜异位症导致免疫性不孕的病因研究进展[J].医学理论与实践,2011,24(15):1789-1790. |
| GUO H,REN X Q.Research progress on the etiology of immune infertility caused by endometriosis[J].The Journal of Medical Theory and Practice,2011,24(15):1789-1790.(in Chinese) | |
| [27] | SHAO M,SHI K,ZHAO Q,et al.Transcriptome analysis reveals the differentially expressed genes associated with growth in Guangxi Partridge Chickens[J].Genes,2022,13(5):798. |
| [28] | 张莹莹.BMPR-1B基因在藏羊卵巢颗粒细胞凋亡过程的作用及其多态性与产羔性状关联性分析[D].西宁:青海大学,2023. |
| ZHANG Y Y.Role of BMPR-1B gene in apoptosis of ovarian granulosa cells in Tibetan sheep and analysis of its polymorphism in association with lambing traits[D].Xining:Qinghai University,2023.(in Chinese) | |
| [29] | 魏婧雅.日粮不同锌源对大肠杆菌感染犊牛肠道上皮屏障及空肠黏膜蛋白质组学的影响[D].北京:中国农业科学院,2019. |
| WEI J Y.Effects of Different zinc sources on the intestinal epithelial barrier and jejunal mucosal proteomics of newborn calves challenged with Escherichia Coli K88[D].Beijing:Chinese Academy of Agricultural Sciences,2019.(in Chinese) | |
| [30] | 赵 迪,康慧敏,谭晓冬,等.利用加权基因共表达网络分析筛选天农麻鸡胴体性状候选基因[J].畜牧兽医学报,2022,53(7):2130-2140. |
| ZHAO D,KANG H M,TAN X D,et al.Screening of candidate genes for carcass traits of Tiangong Partridge Chicken using weighted gene co-expression network analysis[J].Acta Veterinaria et Zootechnica Sinica,2022,53(7):2130-2140.(in Chinese) | |
| [31] | 杨 峥,郭占林,王宇飞.整合素αvβ3与肿瘤关系的研究进展[J].内蒙古医科大学学报,2022,44(6):660-663. |
| YANG Z,GUO Z L,WANG Y F.INTEGRIN αv β research progress in the relationship between tumor[J].Journal of Inner Mongolia Medical University,2022,44(6):660-663.(in Chinese) | |
| [32] | MENG Z,TANG D,CHENG Z,et al.GPR41 regulates the proliferation of BRECs via the PIK3-AKT-mTOR pathway[J].Int J Mol Sci,2023,24(4):4203. |
| [33] | 高 一,吕 阳,刘理想,等.牛PDGFRA基因克隆及过表达载体构建的研究[J].黑龙江畜牧兽医,2019(3):11-14. |
| GAO Y,LV Y,LIU L X,et al.Cloning and construction of over-expression vector of bovine PDGFRA gene[J].Heilongjiang Animal Science and Veterinary Medicine,2019(3):11-14.(in Chinese) | |
| [34] | HUANG R,CHENG J,DONG X et al.Transcriptome data revealed the circRNA-miRNA-mRNA regulatory network during the proliferation and differentiation of myoblasts in Shitou Goose[J].Animals,2024,4(14):576. |
| [35] | 张 军,卢立志,吕 佳,等.鸡CACNA1S基因SNPs及其与部分屠体性状的关联性研究[J].黑龙江畜牧兽医,2012(1):49-51. |
| ZHANG J,LU L Z,LV J,et al.Association between SNPs in the Chicken CACNA1S gene and part of carcass traits[J].Heilongjiang Animal Science and Veterinary Medicine,2012(1):49-51.(in Chinese) | |
| [36] | 施 安,孙文阳,陈志龙,等.不同品种肉牛肌内脂肪沉积相关基因比较研究[J].动物营养学报,2023,35(9):6013-6025. |
| SHI A,SUN W Y,CHEN Z L,et al.Comparative study on genes related to intramuscular fat deposition in different breeds of beef cattle[J].Chinese Journal of Animal Nutrition,2023,35(9):6013-6025 (in Chinese) | |
| [37] | 徐秋良,崔 锦,朱宽佑,等.不同TNNC2基因型滩羊骨骼肌中TNNC2的表达量分析[J].黑龙江畜牧兽医,2015(2):28-29. |
| XU Q L,CUI J,ZHU K Y,et al.Analysis of TNNC2expression in skeletal muscle of Tan sheep with different TNNC2 genotypes[J].Heilongjiang Animal Science and Veterinary Medicine,2015(2):28-29.(in Chinese) | |
| [38] | 中华医学会核医学分会,中国生物物理学会分子影像学分会.整合素RGD受体显像临床应用专家共识(2022版)[J].协和医学杂志,2022,13(2):227-234. |
| Chinese Society of Nuclear Medicine,Chinese Society of Molecular Imaging in Chinese Biophysical Society.Expert consensus on clinical application of integrin RGD receptor imaging[J].Medical Journal of Peking Union Medical College Hospital,2022,13(2):227-234.(in Chinese) | |
| [39] | 余书娟,冷梅钦.汕头市澄海狮头鹅产业高质量发展的路径研究[J].现代商业,2024(22):159-163. |
| YU S J,LENG M Q.Research on pathways for the high-quality development of the Chenghai Shitou Goose industry in Shantou City[J].Modern Business,2024(22):159-163.(in Chinese) | |
| [40] | 朱辰语,梁雅妍,陈益填,等.肉鸽骨骼肌生长发育调控机制的研究进展及展望[J].中国畜禽种业,2023,19(12):97-107. |
| ZHU C Y,LIANG Y Y,CHEN Y T,et al.Research progress and prospects on the regulatory mechanism of skeletal muscle growth and development in meat pigeons[J].The Chinese Livestock and Poultry Breeding,2023,19(12):97-107.(in Chinese) | |
| [41] | 秦小伟.Neddylation对绵羊卵泡颗粒细胞功能调控的作用机制[D].太谷:山西农业大学,2022. |
| QIN X W.Mechanism of Neddylation on the function regulation of follicular granulosa cells in sheep[D].Taigu:Shanxi Agricultural University,2022.(in Chinese) | |
| [42] | 李莉娟,宋少华,方晓琳,等.基于生物信息学检测PRKCD在肝细胞癌中的表达及意义[J].国际检验医学杂志,2021,42(16):1982-1986. |
| LI L J,SONG S S,FANG X L,et al.Expression and significance of PRKCD inhepatocellular carcinoma based on bioinformatics[J].International Journal of Laboratory Medicine,2021,42(16):1982-1986.(in Chinese) | |
| [43] | 马明杰,陈丽丽,马 毅.转录组测序技术在牦牛特性研究中的应用[J].中国畜禽种业,2024,20(11):51-58. |
| MA M J,CHEN L L,MA Y.Application of transcriptome sequencing technology inthe study of yak characteristics[J].The Chinese Livestock and Poultry Breeding,2024,20(11):51-58.(in Chinese) |
| [1] | LIN Xiao, LI Ruijie, LIU Long, GENG Tuoyu, GONG Daoqing. Research Progress on Sex Determining Genes and Their Methylation Regulation in Animals [J]. Acta Veterinaria et Zootechnica Sinica, 2025, 56(9): 4129-4142. |
| [2] | SU Meng, LIU Sha, SONG Danli, GAO Qianmei, ZHENG Maiqing, WEN Jie, ZHAO Guiping, LI Qinghe. Identification of Candidate Genes Associated with Ascites Syndrome in Broilers Based on Transcriptome Sequencing [J]. Acta Veterinaria et Zootechnica Sinica, 2025, 56(2): 559-570. |
| [3] | CHEN Shangchen, DONG Ningning, TAN Xiaomei, LI Na, ZHANG Qi, LUO Maoqing, DENG Yingkun, PANG Shuaisai, GAO Jiaxi, LIU Guangqing, MENG Chunchun. Differential Transcriptomic Analysis of Feline Kidney Cells Transfected with Feline Calicivirus NS2 Protein [J]. Acta Veterinaria et Zootechnica Sinica, 2025, 56(12): 6339-6350. |
| [4] | GAO Yawei, PENG Di, SUN Zhaoyang, YAN Ziyue, CUI Kai, MA Zefang. Mining the Molecular Mechanism of Exogenous Melatonin Affecting the Development of Mink Ovary Based on Transcriptome Data [J]. Acta Veterinaria et Zootechnica Sinica, 2024, 55(2): 607-618. |
| [5] | Yinliang ZHANG, Ran ZHANG, Wenjun WANG, Dehe WANG, Lanhui LI, Rongyan ZHOU. Mining of Key Candidate Genes Involved in Bone Metabolism Differences at Pre- and Post-laying Stage Based on Transcriptome Data in Laying Hens [J]. Acta Veterinaria et Zootechnica Sinica, 2024, 55(10): 4455-4465. |
| [6] | WANG Zixuan, WANG Qiao, ZHANG Jin, Astrid Lissette Barreto Sánchez, ZHENG Maiqing, LI Qinghe, CUI Huanxian, AN Bingxing, ZHAO Guiping, WEN Jie, LI Hegang. Transcriptome Based Screening of Functional Genes Related to Heat Stress Resistance in Beijing You Chickens and Guangming Broilers [J]. Acta Veterinaria et Zootechnica Sinica, 2023, 54(5): 1905-1914. |
| [7] | OU Zhengmiao, ZHOU Jiawen, LIU Lili, WU Yun, CHEN Fenfen. Screening and Expression Analysis of Genes Related to Lipid Metabolism in Liver Tissue of Wuliangshan Sooty Chicken Based on RNA-Seq [J]. Acta Veterinaria et Zootechnica Sinica, 2023, 54(3): 976-988. |
| [8] | HAN Haoyuan, LI Shikai, YANG Ruiqiao, LI Manman, LI Jun, HA Si, ZHAO Jinyan, WEI Hongfang, QUAN Kai. Mining Key Candidate Genes for High Reproduction Performance of Huai Goats Based on Transcriptome Sequencing [J]. Acta Veterinaria et Zootechnica Sinica, 2023, 54(12): 5077-5090. |
| [9] | CAI Jiawei, ZHANG Chen, JIN Rongshuai, BAO Zhiyuan, ZHANG Xiyu, WANG Fan, ZHAI Pin, ZHAO Bohao, CHEN Yang, TANG Xianwei, WU Xinsheng. Analysis of Testicular Tissue Morphology and Semen Transcriptome of Male Rabbits under Heat Stress [J]. Acta Veterinaria et Zootechnica Sinica, 2023, 54(11): 4653-4663. |
| [10] | ZHANG Yinliang, YUE Qiaoxian, HUANG Chenxuan, CHEN Hui, WANG Dehe, ZHOU Rongyan. Construction of Tibia Transcript Profile of Laying Hens at the Early and Late Laying Stages and Analysis of Genes Related to Bone Metabolism [J]. Acta Veterinaria et Zootechnica Sinica, 2023, 54(10): 4164-4173. |
| [11] | MAO Yanni, CHANG Jiawei, LI Na, WANG Xin, KANG Xinyun, MA Qiang, MA Liang, WANG Guiqin. Transcriptome Differential Expression Analysis of Staphylococcus aureus in Biofilm State and Planktonic State [J]. Acta Veterinaria et Zootechnica Sinica, 2022, 53(8): 2697-2707. |
| [12] | SUN Yanjin, XUE Ya’nan, ZHONG Tao, WANG Linjie, LI Li, ZHANG Hongping, ZHAN Siyuan. The Function of HuR and Its Regulation on Muscle Growth and Development [J]. Acta Veterinaria et Zootechnica Sinica, 2022, 53(5): 1345-1353. |
| [13] | WANG Chuanchuan, MU Tong, FENG Xiaofang, YU Baojun, ZHANG Juan, GU Yaling. Identification of Key Candidate Genes for Milk Fat Metabolism in Dairy Cows Based on Transcriptome Sequencing [J]. Acta Veterinaria et Zootechnica Sinica, 2022, 53(10): 3421-3433. |
| [14] | WANG Huifang, ZHOU Guangxian, SUN Yongfeng, CHEN Xinqi, LEI Xubin, ZHANG Ruiyi, JIA Rumin, ZHAO Zhihui. Analysis of Indel Markers of Shitou Goose Based on Whole Genome Resequencing Technology [J]. Acta Veterinaria et Zootechnica Sinica, 2021, 52(3): 662-675. |
| [15] | FANG Yan, ZHOU Junwen, GUAN Weijun, JIANG Lin, PU Yabin, ZHAO Qianjun, HE Xiaohong, MA Yuehui. Exploring the Molecular Mechanism of Bactrian Camel's Desert Adaptation Based on Rumen Transcriptome [J]. Acta Veterinaria et Zootechnica Sinica, 2021, 52(1): 77-87. |
| Viewed | ||||||
|
Full text |
|
|||||
|
Abstract |
|
|||||