畜牧兽医学报 ›› 2025, Vol. 56 ›› Issue (12): 6502-6512.doi: 10.11843/j.issn.0366-6964.2025.12.050

• 临床兽医 • 上一篇    

绿原酸通过抑制NF-κB/NLRP3通路介导的细胞焦亡改善慢性应激致大鼠肠道损伤

张鹤馨(), 曲悠扬, 陈若瑄, 何欢, 唐琦超, 尹柏双, 王奔, 冯秀晶*()   

  1. 吉林农业科技学院动物科技学院, 吉林 132101
  • 收稿日期:2025-07-01 出版日期:2025-12-23 发布日期:2025-12-24
  • 通讯作者: 冯秀晶 E-mail:2517442541@qq.com;fengxiujing888@jlnku.edu.cn
  • 作者简介:张鹤馨(2004-),女,吉林吉林人,本科生,主要从事动物医学研究,E-mail:2517442541@qq.com
  • 基金资助:
    吉林省科技发展计划项目(YDZJ202201ZYTS645)

Chlorogenic Acid Ameliorates Chronic Stress-Induced Intestinal Injury in Rats by Inhibiting NF-κB/NLRP3 Pathway-Mediated Pyroptosis

ZHANG Hexin(), QU Youyang, CHEN Ruoxuan, HE Huan, TANG Qichao, YIN Baishuang, WANG Ben, FENG Xiujing*()   

  1. College of Animal Science and Technology, Jilin Agricultural Science and Technology College, Jilin 132101, China
  • Received:2025-07-01 Online:2025-12-23 Published:2025-12-24
  • Contact: FENG Xiujing E-mail:2517442541@qq.com;fengxiujing888@jlnku.edu.cn

摘要:

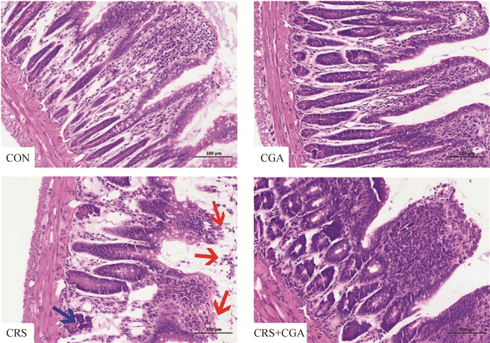
旨在探究绿原酸(CGA)对慢性应激致大鼠肠道损伤的保护作用及其对核因子-κB/NOD样受体蛋白3(NF-κB/NLRP3)通路介导的细胞焦亡的调控作用,为防治畜牧业应激性肠道疾病提供新策略。本试验选用32只初始体重为(200±20)g的SD大鼠,随机分为对照组(CON组)、绿原酸组(CGA组)、慢性束缚应激组(CRS组)和绿原酸组干预组(CRS+CGA组)。CON组未作干预。CGA组按100 mg·kg-1剂量灌胃CGA。CRS组每天束缚6 h,连续束缚21 d。CRS+CGA组先灌胃同等剂量CGA后实施与CRS组相同的束缚操作。第22天进行旷场试验以评估模型构建是否成功,第23天处死大鼠并采集血液和回肠样本。测定血清皮质酮(CORT)水平,苏木精-伊红(HE)染色观察回肠病理变化,酶联免疫吸附法(ELISA)测定回肠炎症因子水平,免疫组织化学法(IHC)和实时荧光定量PCR(RT-qPCR)检测紧密连接(TJs)相关蛋白及基因表达水平,蛋白免疫印迹法(Western blot)检测细胞焦亡相关蛋白表达情况。结果显示,慢性应激模型构建成功。CGA干预显著促进慢性应激大鼠的日均体重增长(P < 0.01),减轻回肠结构损伤,降低炎症因子水平(P < 0.01),上调TJs相关蛋白及基因咬合蛋白(Occludin)、闭合蛋白3(Claudin3)和闭锁小带蛋白-1(ZO-1)的表达(P < 0.01),抑制细胞焦亡相关蛋白核因子-κB p65(NF-κB p65)、NLRP3、胱天蛋白酶-1 p20(Caspase-1 p20)和N-消皮素D(N-GSDMD)的表达(P < 0.01)。综上表明,CGA缓解慢性应激诱导的大鼠回肠损伤,其机制可能与抑制NF-κB/NLRP3通路,减轻细胞焦亡,降低炎症因子水平,进而增强肠道屏障功能有关。

关键词: 绿原酸, 慢性应激, 回肠损伤, 肠道屏障功能, 细胞焦亡

Abstract:

The aim of this study was to investigate the protective effect of chlorogenic acid (CGA) against chronic stress-induced intestinal injury in rats and its regulatory role in the nuclear factor-kappa B/NOD-like receptor protein 3 (NF-κB/NLRP3) pathway-mediated pyroptosis, in order to provide new strategies for preventing stress-related intestinal diseases in livestock. Thirty-two Sprague-Dawley (SD) rats with an initial body weight of 200±20 g were randomly divided into four groups: control group (CON group), chlorogenic acid group (CGA group), chronic restraint stress group (CRS group), and chlorogenic acid intervention group (CRS+CGA group). The CON group received no intervention. The with CGA group was administered CGA via gavage at a dose of 100 mg·kg-1. The CRS group was subjected to 6 h of daily restraint for 21 d consecutively. The CRS+CGA group was gavaged with an equivalent dose of CGA and followed by the same restraint procedures as the CRS group. Open-field test was conducted on day 22 to evaluate the model establishment. Rats were euthanized on day 23 for blood and ileum collection. Serum corticosterone (CORT) levels were measured, ileum histopathology was observed by hematoxylin-eosin (HE) staining, inflammatory cytokine levels in the ileum were detected by enzyme-linked immunosorbent assay (ELISA), tight junction (TJs) proteins and gene expression were analyzed by immunohistochemistry (IHC) and real-time quantitative PCR (RT-qPCR), and pyroptosis-related proteins were assayed by Western blot. The results showed that the chronic stress model was successfully established. CGA intervention significantly promoted average daily body weight gain of rats under chronic stress (P < 0.01), alleviated ileum structural damage, reduced inflammatory cytokine levels (P < 0.01), upregulated TJs-related proteins and gene Occludin, Claudin3, Zonula occludens-1 (ZO-1) expression (P < 0.01), and inhibited pyroptosis-related proteins nuclear factor-kappa B p65 (NF-κB p65), NLRP3, cysteinyl aspartate specific proteinase-1 p20 (Caspase-1 p20), and N-gasdermin D (N-GSDMD) expression (P < 0.01). Collectively, CGA alleviates chronic stress-induced ileum injury in rats, possibly by inhibiting the NF-κB/NLRP3 pathway, attenuating pyroptosis, reducing inflammatory cytokine levels, and thereby enhancing intestinal barrier function.

Key words: chlorogenic acid, chronic stress, ileum injury, intestinal barrier function, pyroptosis

中图分类号: